Behandlung von dentalen und skelettalen Fehlstellungen
Durch innovative OP-Methoden ergeben sich neue Perspektiven der Korrektur angeborener Fehlbildungen.




Tumoren, Traumata und Fehlbildungen im Gesicht? Moderne Mund-, Kiefer- und Gesichtschirurgie ermöglicht erfolgreiche Behandlung und Wiederherstellung.
Redner: Prof. Dr. Dr. Gellrich, Nils-Claudius, Direktor der Klinik und Poliklinik für Mund-, Kiefer- und Gesichtschirurgie, Medizinische Hochschule Hannover
Fokussierte sich klassisch die Behandlung von dentalen und skelettalen Fehlstellungen im Rahmen der Behandlung der Patienten mit Goldenhar-Symptomkomplex auf das Wiederherstellen z. B. des betroffenen aufsteigenden Unterkieferastes, der Okklusion oder der Auffüllung des Mittelgesichtes, so kann anhand des vorzustellenden Fallbeispiels das modernste Zusammenspiel von virtueller OP-Planung, CAD/CAM-Implantaterstellung und zielgenauer einzeitiger Umsetzung dargestellt werden, d. h. einzeitiger Ausgleich der schrägstehenden Okklusionsebene, der ausgeprägten Gesichtsskoliose (konvex zur Gegenseite der bestehenden Deformität), Retrogenie, Fehlen der Untergesichtsweite und – höhe auf der betroffenen Seite.
Virtuelle Planung und Computerassistierte Behandlung
Anhand einer virtuellen Planung und Computerassistierten Behandlung werden bei einer jungen Erwachsenen mit Goldenhar-Symptomenkomplex die Elemente von moderner computerassistierter Planung mit virtueller Blaupausenerstellung für das Operationsergebnis in Verbindung mit der digitalen Dysgnathieplanung als Planungsgrundlage für eine Wiederherstellungsoperation bei angeborener Gesichtsschädeldeformität dargestellt; verknüpft wird dieses Rekonstruktionsbeispiel zudem mit erweiterten Total Joint Replacement, das digital geplant und gefertigt wurde.
Der planerische Ansatz besteht darin, zunächst den klinischen Blick der fünf Perspektiven, d. h. en face, Ansicht von oben, Ansicht von unten, linke und rechte Seitenansicht in demselben Koordinatensystem vorzunehmen, wie z. B. der klinische Betrachter die Mittellinieneinschätzung und Ausrichtung anhand von Bezugsebenen des Patienten am 3D-Datensatz vornimmt.
Diese Übertragung der Ansicht findet für diesen Abgleichungsprozess am Weichteilbild des 3D-Datensatzes statt. Hat diese Ausrichtung stattgefunden, dann wird durch Grauwertveränderung die Hartgewebeeinstellung am Volumendatensatz vorgenommen. Nunmehr lassen sich die metrischen Informationen für die Abweichungen, von einer durch den Behandler festzulegenden medianen Symmetrieebene, quantitativ festhalten. Ebenso werden die skelettalen Defizite im Hinblick auf die hintere Gesichtshöhe und Gesichtsweite analysiert und definiert. Virtuell wird nunmehr die knöcherne Kinnvor- und Kinnseitbewegung so durchgeführt wird, bis eine mittige Einstellung der Kinnregion erzielt wird.
Hierbei befindet sich der Rotationspunkt im zentrischen Kondylenpunkt des nicht von der Deformität betroffenen Kiefergelenkfortsatzes. Diese symmetriesierende Mittellinienausrichtung führt unabdingbar zu einem Antagonisieren der Gesichtsskoliose, zu einem Projektionsgewinn des Kinnbereiches und damit des Untergesichtes und zu einer Definition und Positionierung des wachstumsgehemmten Unterkieferkörpers der betroffenen Seite.
Selbstverständlich wird diese massive skelettale Veränderung chirurgisch später so umgesetzt, dass eine kontralaterale ausgleichende Osteotomie durchgeführt wird, um eben nicht eine überstrapazierte Zwangsposition für das Kiefergelenk der nicht betroffenen Seite herbeizuführen. Nunmehr wird der segmentierte Oberkiefer in die durch die Zahnreihe des Unterkiefers vorgegebene neue Position gestellt.
Dies gilt natürlich nur für die Fälle, wo die Okklusion zuvor schlüssig war. Ist keine stabile Verzahnung gegeben, so muss selbstverständlich entweder diese entsprechend kieferorthopädisch zuvor erstellt werden oder muss die Splintposition die Kieferposition eindeutig vorgeben.
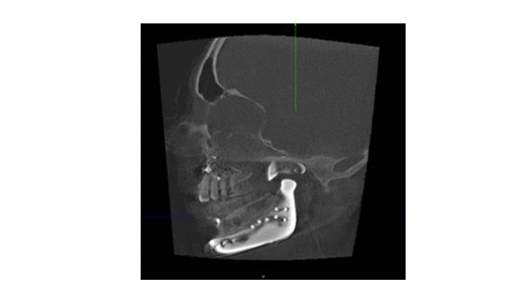
Wichtige anatomische Strukturen schonen
Aus der jetzigen Konturbetrachtung der Hartgewebestrukturen von Corpus mandibulae, Kinnprojektion, Kieferwinkel und Anteilen des aufsteigenden Astes kann ggf. die Notwendigkeit eines Ersatzes, der betroffenen Kiefergelenkregion durch ein Total Joint Replacement notwendig werden. Es bedarf einer Gelenkpfannen-Komponente, die im Hinblick auf die deformierte Schädelbasissituation individuell angepasst sein muss und ggf. auch fehlende Jochbogenanteile – wie in diesem Fall - simultan mit ersetzt. Für die spätere Verankerung sind sowohl die chirurgisch vorbereitenden Maßnahmen zur Schädelbasis und auch die Bohrvorgänge und Schraubeninsertionen zu Verankerungen der Pfannen-Komponente durch Real-Time-Navigation unbedingt zu unterstützen. So lassen sich bei den deformierten Weich- und Hartgewebesituationen sicher die knöchernen Verankerungsmöglichkeiten nachvollziehen und chirurgisch umsetzen, und auch wichtige anatomische Strukturen, wie z. B. die großen Gefäße an der Schädelbasis, können geschont werden. Das skelettale Delta zur Schädelbasis im Bereich des aufsteigenden Astes, im Bereich des Kieferwinkels und des betroffenen Unterkieferkörpers mit insbesondere der Projektion nach unten und seitlich bis einschließlich zur Kinnregion, lässt sich nunmehr in das Design des Implantates für den patientenspezifischen Gelenkersatz integrieren. Hier wird durch biomedizintechnische Innovationen aufgrund von Computer-Assistenz und modernsten digitalen Planungs- und Fertigungstechniken deutlich, wie sich für die Patienten mit schweren angeborenen Fehlbildungen aus einer sonst langdauernden und viele Operationen umfassenden Behandlung eine drastische Therapieverbesserung erzielen lässt.
Quelle: Pressekonferenz der Deutschen Gesellschaft für Mund-, Kiefer- und Gesichtschirurgie (DGMKG) „Tumoren, Traumata und Fehlbildungen im Gesicht? Moderne Mund-, Kiefer- und Gesichtschirurgie ermöglicht erfolgreiche Behandlung und Wiederherstellung“, 30. Juni 2022.
Anbieter
Deutsche Gesellschaft für Mund-, Kiefer- und GesichtschirurgieSchoppastrasse 4
65719 Hofheim
Deutschland
Meist gelesen

Dr. Rolf Glazinski wird Chefarzt der Neurologie an der Wicker Klinik
Zum 1. Januar 2026 übernimmt Dr. Rolf Glazinski (61) die chefärztliche Leitung der Neurologie an der Wicker Klinik.

Gemeinschaftsklinikum Mittelrhein: Prof. Dr. Karsten Wrede ist neuer Chefarzt
Die Neurochirurgie an den Koblenzer Standorten erhält eine neue Führung

Neuer Chefarzt für Allgemein- und Viszeralchirurgie am Diakonie-Klinikum Stuttgart
Prof. Dr. med. Hannes Neeff (50) hat seit Anfang November die Leitung der Allgemein- und Viszeralchirurgie am Diakonie-Klinikum Stuttgart übernommen.

Prof. Dr. iur. Christian Höftberger ist neues KfH-Vorstandsmitglied
Das Präsidium des gemeinnützigen KfH Kuratorium für Dialyse und Nierentransplantation e.V. hat Prof. Dr. iur. Christian Höftberger mit Wirkung zum 1. Oktober 2025 in den Vorstand berufen. Zum 1. April 2026 wird er die Position des Vorstandsvorsitzenden von Prof. Dr. med. Dieter Bach übernehmen, der nach 13 Jahren in den Ruhestand tritt und sich neuen Aufgaben widmen wird.

Asklepios Schildautal Singers: Neuer internationaler Chor mit Pflege-Azubis
Manchmal braucht es nur einen einzelnen Moment, um zu spüren, was Zusammenhalt wirklich bedeutet - so wie der Aufritt eines neuen Chors einiger Pflege-Auszubildenden aus aller Welt, sie haben sich im Asklepios Bildungszentrum Harz in Seesen zusammengefunden.










