Digitale Pathologie – Ein Innovationspool für die moderne Medizin
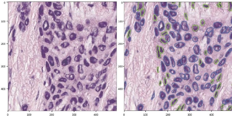
Ein wichtiger Aspekt der Anwendung digitaler Methoden und der Automation ist es, vielfältige, medizinische Informationen zur Entscheidungsfindung zu bündeln und zu vernetzen.

Die medizinische Versorgung und Forschung sind durchdrungen vom Trend der Digitalisierung. Wie komplexe Prozesse und Vernetzung in der Pathologie ablaufen, lesen Sie in unserem Whitepaper zum Download.















