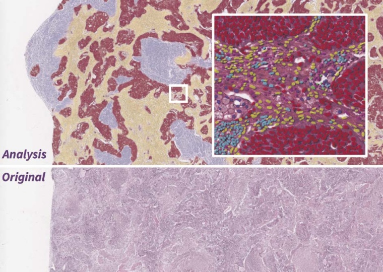
Künstliche Intelligenz in der pathologischen Diagnostik
Aufgrund der großen Mengen diagnostischer Bilddaten in Form von histologischen Schnitten weckt KI insbesondere in der Pathologie hohe Erwartungen.

Welches Potenzial für KI-Entwicklungen in der Pathologie besteht und welche Herausforderungen die Einführung von KI in die klinische Routine in diesem Bereich bedeuten, lesen Sie in unserem Whitepaper zum Download.















