Wenn zwei sich streiten …



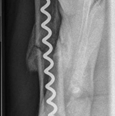
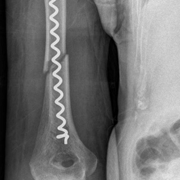
Dr. Senat Krasnici, Chefarzt der Klinik für Unfall- und Wiederherstellungschirurgie des Johanniter-Krankenhauses Genthin-Stendal, berichtet über seine Erfahrungen mit der Bonehelix als limitiertflexibler Markraumstabilisator.
Anbieter
Laub & Partner GmbHKedenburgstr. 44
22041 Hamburg
Deutschland
Meist gelesen

Trinkwassererwärmung im Durchflusssystem mit Strahlpumpentechnik und Photovoltaik noch nachhaltiger
Die Kompaktstation Baelz-Moduline mit integrierter geregelter Strahlpumpe erwärmt Trinkwasser in Gebäuden entsprechend dem Durchlauferhitzerprinzip (Bild 1) und macht Speicher überflüssig. Die Legionellengefahr wird geringer und eine Menge Energie gespart. Photovoltaik (PV) in Verbindung mit einer elektrischen Wärmequelle reduziert nachhaltig den Verbrauch von Fernwärme.

Vollautomatisierter Proteinnachweis mit Lab-on-Chip-System
Eine Analyseplattform zur automatisierten und effizienten Antigenmessung eignet sich für vielseitige Anwendungen – von der Lebensmittelanalytik bis zur klinischen Diagnostik.

Krankenhaushaftpflicht auf Claims-made-Basis: Sicher. Flexibel. Zeitgemäß.
Optimaler Schutz und proaktives Risikomanagement – Ihr Krankenhaus verdient ein Versicherungskonzept, das Sicherheit bietet und Risiken proaktiv steuert.

Lingoda Healthcare qualifiziert internationale Ärztinnen und Ärzte für die deutsche Approbation
Mit dem Programm Match Doctors bietet Lingoda Healthcare internationalen Ärzt*innen eine strukturierte Möglichkeit, die deutsche Approbation zu erlangen.

Multiple Sklerose und Myelin
Die Messung des Myelinwasseranteils in Kombination mit biophysikalischer Modellierung stellt einen entscheidenden Fortschritt in der MS-Diagnostik dar.










