Auge liefert Hinweise auf schleichende Gefäßerkrankung
Forschende der Universität und des Universitätsklinikums Bonn haben eine Methode entwickelt, die sich zur Diagnose der Atherosklerose eignen könnte.

Mit einer selbstlernenden Software konnten sie bei Patienten mit peripherer arterieller Verschlusskrankheit (paVK) Gefäßveränderungen oft schon im Frühstadium identifizieren. Obwohl sie dann noch keine Symptome verursachen, gehen sie dennoch schon mit erhöhter Sterblichkeit einher. Der Algorithmus nutzte dazu Fotos aus einem Organ, das normalerweise nicht mit der paVK in Verbindung gebracht wird: dem Auge.
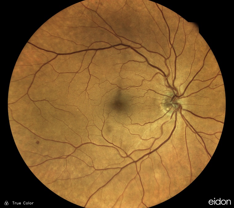
Die Augen gelten Poeten als Fenster zur Seele. Prosaischer könnte man sie aber auch als Fenster zu unseren Gefäßen bezeichnen. Denn der Augenhintergrund - fachsprachlich: Fundus - ist sehr gut durchblutet. Das muss er auch sein, damit die mehr als 100 Mio. Fotorezeptoren in der Netzhaut sowie die mit ihnen verschalteten Nervenzellen ihre Arbeit verrichten können. Gleichzeitig lassen sich die Arterien und Venen ohne viel Aufwand durch die Pupille beobachten und fotografieren.
Eventuell lassen sich mit einer solchen Untersuchung künftig Frühzeichen einer Atherosklerose erkennen. Bei dieser kommt es durch chronische Umbauvorgänge zur Verengung der Gefäße sowie zur Verhärtung der betroffenen Arterien. Sie ist Hauptursache von Herzinfarkt und Schlaganfall, den häufigsten Todesursachen in den westlichen Industrienationen, sowie der peripheren arteriellen Verschlusskrankheit (paVK).
Mehr als vier Mio. Menschen hierzulande leiden unter einer paVK. „Weil sie in den ersten Jahren meist keinerlei Beschwerden verursacht, erfolgt die Diagnose oft erst, wenn schon Folgeschäden eingetreten sind“, erklärt Priv.-Doz. Dr. Nadjib Schahab, Leiter der Sektion Angiologie und einer der Autoren der Studie. „Die Konsequenzen können dramatisch sein. Langfristig können die fortschreitenden Durchblutungsstörungen in den Beinen und Armen sogar eine Amputation nach sich ziehen. Zudem ist das Risiko für einen tödlichen Herzinfarkt oder Schlaganfall deutlich erhöht - und das schon in frühen Stadien der Erkrankung.“
Eine frühe Diagnose ist daher sehr wichtig, um die Betroffenen rechtzeitig therapieren zu können. Das interdisziplinäre Projekt der Informatik der Universität Bonn sowie der Augenklinik und des Herzzentrums des Universitätsklinikums Bonn setzt genau dort an. „Wir haben 97 Augen von Frauen und Männern fotografiert, die unter einer paVK litten“, erklärt Dr. Maximilian Wintergerst von der Universitäts-Augenklinik Bonn. „Bei mehr als der Hälfte von ihnen war die Krankheit noch in einem Stadium, in dem sie keine Beschwerden verursachte.“ Zusätzlich nahm das Team den Hintergrund von 34 Augen gesunder Kontrollpersonen mit der Kamera auf.
Neuronales Netz erkennt frühe Gefäßveränderungen
Mit den Bildern fütterten sie dann ein künstliches neuronales Netzwerk (KNN). Dabei handelt es sich um eine Software, die in ihrer Funktionsweise dem menschlichen Gehirn nachempfunden ist. Wenn man ein solches KNN mit Fotos trainiert, deren Inhalt dem Rechner bekannt ist, dann kann dieser später den Inhalt unbekannter Aufnahmen erkennen. Damit das mit ausreichender Sicherheit klappt, benötigt man jedoch im Normalfall mehrere zehntausend Trainings-Fotos - weitaus mehr, als in der Studie zur Verfügung standen.
„Wir haben daher zunächst ein Vortraining mit einer anderen Erkrankung durchgeführt, die die Gefäße im Auge angreift“, erklärt Prof. Dr. Thomas Schultz vom Bonn-Aachen International Center for Information Technology (b-it) und dem Institut für Informatik II der Universität Bonn. Dazu nutzten die Forschenden einen Datensatz von mehr als 80.000 zusätzlichen Fotos. „Der Algorithmus lernt aus ihnen gewissermaßen, worauf er besonders achten muss“, sagt Schultz, der auch Mitglied in den Transdisziplinären Forschungsbereichen „Modellierung“ und „Leben und Gesundheit“ der Universität Bonn ist. „Wir sprechen daher auch von Transfer-Lernen.“
Das so trainierte KNN konnte anhand der Augenfotos mit bemerkenswerter Genauigkeit diagnostizieren, ob sie von einem paVK-Patienten oder einem Gesunden stammten. „Gut 80 % aller Betroffenen wurden korrekt identifiziert, wenn wir 20 % falsch-positive Fälle in Kauf nahmen - also Gesunde, die der Algorithmus fälschlicherweise als krank klassifizierte“, erklärt Schultz. „Das ist erstaunlich, denn selbst für geschulte Augenärzte ist eine paVK anhand von Fundus-Bildern nicht zu erkennen.“
In weiteren Analysen konnten die Forschenden zeigen, dass das neuronale Netz bei seiner Beurteilung vor allem auf die großen Gefäße im Augenhintergrund achtet. Für ein möglichst gutes Ergebnis benötigte das Verfahren allerdings digitale Aufnahmen mit einer ausreichend hohen Auflösung. „Viele KNNs arbeiten mit sehr gering aufgelösten Fotos“, sagt Schultz. „Das reicht aus, um größere Veränderungen zu erkennen. Für unsere paVK-Klassifikation benötigen wir dagegen eine Auflösung, bei der Details der Gefäßstrukturen erkennbar bleiben.“
Die Forschenden hoffen, in Zukunft die Leistung ihres Verfahrens weiter zu verbessern. Sie wollen dazu weltweit mit Augenheilkunde- und Gefäßmedizin-Zentren kooperieren, die ihnen weitere Fundus-Aufnahmen von Betroffenen zur Verfügung stellen. Langfristiges Ziel ist es, eine einfache, schnelle und zuverlässige Diagnosemethode zu entwickeln, die keine begleitenden Eingriffe wie die Verabreichung von Augentropfen erfordert.
















