Von der Fettleber zur lebensbedrohlichen Erkrankung: Gründe für einen dramatischen Krankheitsverlauf
Forschende haben herausgefunden, wie sich die nichtalkoholische Fettlebererkrankung zu einer lebensbedrohlichen Komplikation entwickeln kann. Ihre Erkenntnisse werden die Suche nach Therapiemöglichkeiten beschleunigen. Die Studie wurde vom Helmholtz Zentrum München in Zusammenarbeit mit dem Universitätsklinikum Heidelberg und dem Deutschen Zentrum für Diabetesforschung geleitet.

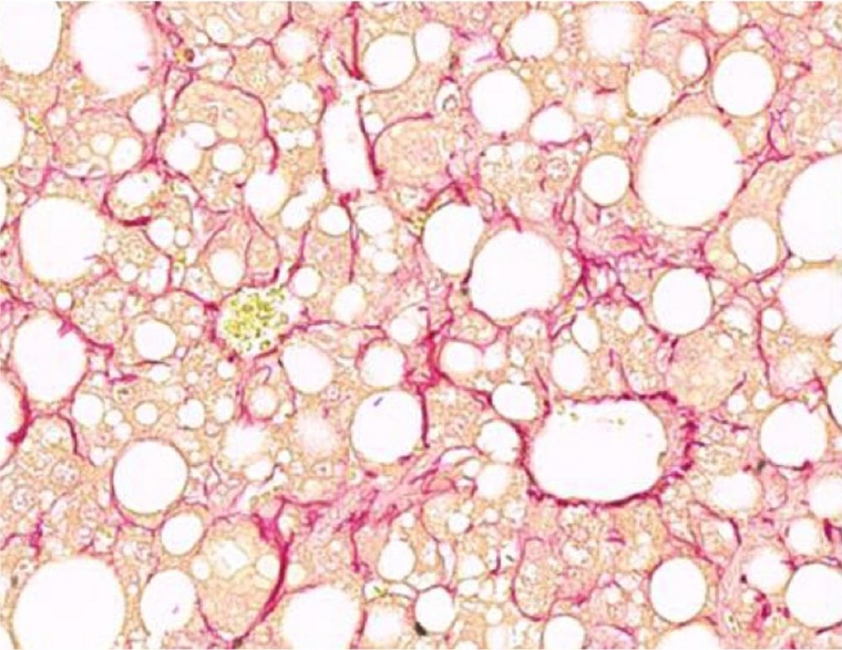
Die nichtalkoholische Fettlebererkrankung ist die häufigste Lebererkrankung weltweit und tritt bei etwa 25 Prozent der Weltbevölkerung auf. Mehr als 90 Prozent der Übergewichtigen, 60 Prozent der Personen mit Diabetes und bis zu 20 Prozent der Normalgewichtigen entwickeln die Krankheit. Ihr Hauptmerkmal ist die Ansammlung von Fett in der Leber. Eine Leber kann verfetten und dennoch normal funktionieren. Allerdings können die Fettansammlungen auch zu einer nichtalkoholischen Steatohepatitis führen – einer aggressiven Form der nichtalkoholischen Fettlebererkrankung, die mit Entzündungen und mitunter Fibrose einhergeht. Die nichtalkoholische Steatohepatitis wiederum kann zu weiteren Komplikationen wie Leberzirrhose und primärem Leberkrebs führen und lebensbedrohlich sein.
Erkranken Menschen mit einer nichtalkoholischen Fettleber zusätzlich an einer Leberfibrose, so ist dies ein starkes Anzeichen für ein erhöhtes Langzeit-Sterberisiko. Die Mechanismen, die zur Verschlechterung des vergleichsweise guten Zustands einer Fettleber hin zur fortgeschrittenen nichtalkoholischen Steatohepatitis mit Fibrose führen, sind noch nicht vollständig bekannt. „Wenn wir verstehen, welche Mechanismen eine Fettleber zur lebensbedrohlichen Erkrankung machen, dann haben wir auch den Schlüssel gefunden, um nach besseren Therapiemöglichkeiten und präventiven Maßnahmen zu suchen“, sagt Stephan Herzig.
Identitätsverlust führt zu Fehlfunktion
Mithilfe von Genomanalysen untersuchten die Forschenden Mechanismen, die die Entwicklung und Funktion der Hepatozyten steuern, dem am häufigsten vorkommenden Zelltyp in der Leber. „Unsere Ergebnisse zeigen, dass Hepatozyten während der Weiterentwicklung zur nichtalkoholischen Steatohepatitis einen teilweisen Identitätsverlust erleiden, sie werden umprogrammiert“, erklärt Anne Loft, Erstautorin der Studie.
Die Umprogrammierung der Hepatozyten wird durch ein Netzwerk von Proteinen, die als molekulare Schalter fungieren (sogenannte „Transkriptionsfaktoren“) streng kontrolliert. Die Aktivität der Proteine führt zur Dysfunktion der Hepatozyten. Das Proteinnetzwerk spielt auch eine wesentliche Rolle bei der Entwicklung einer Fibrose. „Diese Erkenntnisse sind wichtig, weil sie die zellulären Mechanismen entschlüsseln, die der nichtalkoholischen Steatohepatitis zugrunde liegen. Das Wissen um die Rolle der Proteinnetzwerke und den Identitätsverlust der Hepatozyten liefert uns potenzielle Zielstrukturen und Interventionsmöglichkeiten für die Entwicklung wirksamer Therapien“, sagt Ana Alfaro, ebenfalls Erstautorin der Studie.
Ausblick
Basierend auf diesen Erkenntnissen können Forschende nun neue Ansätze entwickeln, um bestimmte Knotenpunkte im Proteinnetzwerk gezielt anzugreifen und so das Fortschreiten der Krankheit zu verhindern oder sogar eine bestehende Fibrose rückgängig zu machen, was bisher noch nicht möglich ist.
Anbieter
















