Mikroskopie im klinischen Bereich: Immer im rechten Licht

Für die Mikroskopie im klinischen Bereich, besonders für die Analyse und Diagnostik im Bereich Pathologie und Zytologie, präsentiert Olympus die vielseitigen, leistungsstarken Mikroskopsysteme der Serie BX3.
Die Systeme sind mit der neuen True-Colour-LED-Beleuchtungstechnologie von Olympus und einem eingebauten Light Intensity Manager (LIM) ausgestattet, wodurch Bilder in hervorragender Farbtreue erzeugt werden können. Histologische und zytologische Proben erscheinen mit der True-Colour-LED-Beleuchtung genau wie unter Halogenbeleuchtung mit Tageslichtfilter. Dadurch wird die nahtlose Umstellung auf die neue, effizientere LED-Technologie wesentlich erleichtert. True-Colour-LED bieten gegenüber herkömmlichen Halogenglühlampen eine längere Lebensdauer, konstante Farbtemperatur auf allen Helligkeitsstufen und einen geringeren Energieverbrauch.
Der Light Intensity Manager bewirkt eine Optimierung der Arbeitsabläufe und sorgt durch automatische Anpassung der Helligkeit beim Vergrößerungswechsel für höchstmögliche Konsistenz. Aufgrund dieser Merkmale sind die BX3-Systeme mit True-Colour-LED-Beleuchtung die erste Wahl für komfortables und effizientes Mikroskopieren im klinischen Bereich.
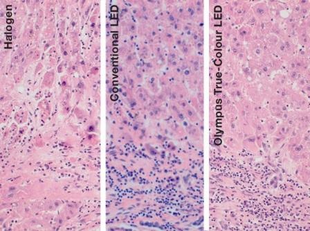
Entscheidend für eine aufschlussreiche Analyse auf dem Gebiet der Pathologie und Zytologie ist die Erfahrung der Histologen, die sich diese über Jahre unter Verwendung herkömmlicher Halogenglühlampen in Kombination mit Tageslichtfiltern erarbeitet haben. Leuchtdioden (LED) ermöglichen im Vergleich zu Halogenglühlampen eine deutliche Energieeinsparung, konnten in Bezug auf die hervorragende Farbwiedergabe bisher jedoch nicht mit diesen konkurrieren.
Die True-Colour-LED-Beleuchtung von Olympus löst dieses Dilemma durch Nutzung der modernsten Mixed-Matrix-Hellfeld-LED-Technologie, deren Farbwiedergabeindex dem einer herkömmlichen Halogenbeleuchtung sehr ähnlich ist. Färbungen wie Hämatoxylin und Eosin oder Papanicolaou sehen unter der LED-Beleuchtung von Olympus genau so aus wie unter einer Halogen-Lichtquelle, wobei ähnliche Farben problemlos unterschieden werden können. Diese Faktoren tragen dazu bei, dass Diagnosen mit einer True-Colour-LED-Beleuchtungseinrichtung von Olympus in höchster Präzision und Zuverlässigkeit erstellt werden können.
Durch eine Optimierung der Arbeitsabläufe wird die Effizienz pathologischer Analysen in Fällen, in denen eine große Zahl klinischer Proben untersucht werden muss, erheblich gesteigert. Zu diesem Zweck passt das True-Colour-Beleuchtungssystem mit LIM die Helligkeit nach einem Objektivwechsel automatisch an. Somit bleibt ohne manuelles Nachjustieren die Helligkeit gleich.
Auf diese Weise kann das Untersuchen der Probe bei deutlicher Zeitersparnis erheblich vereinfacht und verbessert werden. Die Automatisierung wird durch Sensoren im Objektivrevolver erreicht, die das in Gebrauch befindliche Objektiv erkennen und die Helligkeit der LED den vom Anwender festgelegten Präferenzen entsprechend anpassen.
Die flexiblen BX3-Mikroskopsysteme von Olympus mit True-Colour-LED-Beleuchtung und LIM wurden speziell für den Mikroskopiebedarf im klinischen Bereich entwickelt und gewährleisten eine zuverlässige Diagnose bei höchstmöglicher Effizienz der Arbeitsabläufe.















