Präzise Leberdiagnostik

Samsung hat das neue Ultraschallsystem RS85 Prestige für die Innere Medizin vorgestellt.
Neben bereits bewährten Technologien wie der Scherwellen-Elastographie (S-Shearwave und S-Shearwave Imaging), dem Kontrastmittelultraschall (CEUS+) und der Fusion von Echtzeit-Ultraschall mit MRT-/CT-Datensätzen (S-Fusion) erweitert die neue RS85 Prestige die diagnostischen Möglichkeiten um drei neue Messtechniken zur Quantifizierung von Lebersteatose. Damit komplettiert Samsung sein umfangreiches Leberdiagnostikpaket.
Die Prävalenz der nicht-alkoholischen Fettlebererkrankung (NAFLD) liegt global, als auch in Deutschland, bei 20-30% [1]. Das morphologische Spektrum der nicht-alkoholischen Fettlebererkrankung reicht von der Steatosis hepatis, über die nicht-alkoholische Steatohepatitis (NASH) zu Leberfibrose und Zirrhose und damit letztlich auch bis zum hepatozellulären Karzinom [2].
Dienlich ist hier eine sensitive Methode zur frühzeitigen Erkennung und Quantifizierung einer Lebersteatose zur Überwachung des Zustandes sowie der frühen Möglichkeit zur Entscheidung über eine effiziente Therapie für den Patienten zur Vermeidung der NASH-assoziierten Folgekrankheiten.
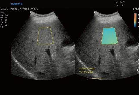
Dank der neu integrierten Tools erweitert Samsung seine wertvollen Anwendungen zur Leberdiagnostik auf dem Premium-Ultraschallsystem RS85 Prestige und ermöglicht eine schnelle, exakte sowie einfache Quantifizierung – auch im Rahmen der Routinediagnostik:
- Ein auf künstlicher Intelligenz basierender Algorithmus quantifiziert Lebersteatose durch Vergleich der Echogenität von Leberparenchym und Nierenkortex. EzHRI platziert hierzu zwei ROIs und stellt das Verhältnis, die HRI-Ratio (Hepato Renal Index), zur Verfügung.
- Mit TAI (Tissue Attenuation Imaging in dB/MHz/cm) erfolgt die Quantifizierung von Steatose anhand der Messung der Dämpfung des Ultraschalls im Lebergewebe.
- TSI (Tissue Scatter Distribution Imaging) ermöglicht die quantitative Messung der Gewebestreuungsverteilung zur Beurteilung steatotischer Leberveränderungen.
Tools für die Leberdifferentialdiagnostik
Neben den speziell auf die Diagnostik der Lebersteatose ausgerichteten Techniken, bietet die RS85 Prestige bewährte Tools für die Leberdifferentialdiagnostik:
S-Shearwave und S-Shearwave Imaging, Samsungs Scherwellen-Elastographie-Lösungen zur Quantifizierung der Lebersteifigkeit ermöglichen die schnelle nicht-invasive Bestimmung von Fibrose- und Zirrhose-Grad.
Die Technologie CEUS+ nutzt die einzigartigen Eigenschaften von Ultraschall-Kontrastmitteln und bietet die Möglichkeit der Beurteilung von Perfusion in Echtzeit zur Charakterisierung von fokalen Leberläsionen.
Bei besonders komplexen Fragestellungen und Interventionen bietet die Bildfusion durch Verknüpfung und gleichzeitige Darstellung von Real-Time-Ultraschall und MRT-/CT-Datensätzen mehr diagnostische Möglichkeiten. Die von Samsung entwickelte S-Fusion-Technologie zeichnet sich durch einfache, schnelle und präzise Fusion der Bilddatensätze aus, sodass S-Fusion auch für die klinische Routine geeignet ist.
„Mit dem Ultraschallsystem RS85 Prestige bauen wir unsere Position im diagnostischen Ultraschall-Markt weiter aus und bieten Medizinern in Krankenhaus und Praxis innovative Diagnosefunktionen, die frühzeitig wichtige Erkenntnisse über den Zustand der Leber ihrer Patienten aufzeigen", sagt Peter Eckert, Leiter Geschäftsbereich Health Medical Equipment bei Samsung.
Effizientes Arbeiten
Über die breite Palette an fortschrittlichen Quantifizierungstools hinaus, überzeugt und unterstützt die RS85 Prestige durch eine beeindruckende Synergie von Hard- und Software.
Das Premium-Ultraschallsystem ist mit der Crystal Architecture, die eine vierfach höhere Prozessorleistung und Datenübertragungsrate im Vergleich zum Vorgängermodell bietet, ausgestattet. Diese moderne Bildgebungsarchitektur kombiniert CrystalBeam, CrystalPure und S-Vue Transducer-Technologie von Samsung und liefert somit kristallklare Bilder in hervorragender Qualität.
Das moderne Design der RS85 Prestige und die zahlreichen Optionen zur Anpassung von System und Bedienung an die Vorlieben des Nutzers bieten ein hohes Maß an Anwenderkomfort und einen schnellen Workflow.
[1] Quelle: Global burden of NAFLD and NASH: trends, predictions, risk factors and prevention, Elisabetta Bugianesi, Nature Reviews Gastroenterology & Hepatology, Volume 15, S. 11–20 (2018)
[2] Quelle: Deutsche Gesellschaft für Gastroenterologie, Verdauungs- und Stoffwechselerkrankungen e. V. (DGVS): S2k-Leitlinie. Nicht-alkoholische Fettlebererkrankungen. AWMF-Register-Nr. 021–025, S. 12 (2015)















