Tumoren-Früherkennung: Pap-Test gegen Molekulare Marker bei Gebärmutterhalskrebs


Tumoren-Früherkennung: Pap-Test gegen Molekulare Marker bei Gebärmutterhalskrebs. Der Gebärmutterhalskrebs ist mit weltweit mehr als 500.000 neuen Fällen jedes Jahr die zweithäufigste Krebserkrankung bei Frauen. In den 70er Jahren wurden in vielen westlichen Industrienationen das von George Papanicolaou entwickelte zytologische Färbeverfahren – auch bekannt als Pap-Test – als Früherkennungstest in bevölkerungsweiten Vorsorgeuntersuchungen eingeführt. Mit Hilfe dieses Verfahrens konnten schon Vorstufen des Gebärmutterhalskrebses erkannt und rechtzeitig durch einen operativen Eingriff entfernt werden. Dies führte zu einer deutlichen Senkung der Erkrankungsraten in den Ländern, die dieses Programm einführten. Heute können mit Hilfe dieses Früherkennungsprogramms etwa 70 % der normalerweise zu erwartenden Fälle an Gebärmutterhalskrebs verhindert werden.
Dieses Vorsorgeprogramm setzt allerdings eine aufwändige logistische Infrastruktur voraus, die insbesondere in den Entwicklungs- und Schwellenländern nicht darstellbar ist. Aus diesem Grund treten etwa 80 % aller Fälle an Gebärmutterhalskrebs in diesen Ländern auf. Ferner hat sich gezeigt, dass die Sensitivität des Pap-Testes relativgering ist und oft fraglich positive Befunde berichtet werden, die dann aufwändige, teure und für die Patientinnen oft belastende Abklärungsuntersuchungen erforderlich machen. Eine technische Verbesserung der Screeningassays mit Hilfe moderner Verfahren erscheint daher als dringend geboten.
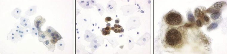
Die Grundlagenforschung hat gezeigt, dass bestimmte Typen der humanen Papillomviren (HPVs), die sogenannten high risk oder HR-HPVs, eine zentrale Rolle bei der Entstehung des Gebärmutterhalskrebses spielen. Infektionen mit diesen Viren sind in der Bevölkerung sehr weitverbreitet. Je nach Alter lassen sich bei etwa 5 bis 25 % aller Frauen HR-HPV-Infektionen im Genitaltrakt nachweisen. Mehr als 70 % aller Menschen machen im Laufe des Lebens mindestens einmal eine HR-HPV-Infektion durch. Dennoch spielen diese Viren für die Pathogenese des Gebärmutterhalskrebses ein zentrale Rolle: So lassen sich 1.) in de facto allen Gewebeproben bzw. einzelnen Tumorzellen Genfragmente der HR-HPVs nachweisen. 2.) Zwei bestimmte virale Gene, die als E6 und E7 bezeichnet werden, sind in allen Tumorzellen aktiv. 3.) Werden diese beiden Gene in normale Hautzellen des Menschen eingeschleust und aktiviert, können diese Hautzellen in Tumorzellen verwandelt werden. 4.) Schaltet man diese Gene mit speziellen Tricks gezielt in den Tumorzellen aus, verlieren diese ihre neoplastischen Wachstumseigenschaften und sterben ab. Nachdem der Zusammenhang zwischen HR-HPV-Infektion und der Entstehung des Zervixkarzinoms entdeckt worden war, glaubte man zunächst, dass durch den alleinigen Nachweis einer HR-HPV-Infektion schon ein geeigneter Weg gefunden sei, das Sensitivitätsproblem des Pap-Testes lösen zu können. Es zeigte sich jedoch schnell, dass aufgrund der sehr hohen Inzidenz der HR-HPV-Infektionen dieser Ansatz eine zu geringe Spezifität für einen alleinigen Screeningansatz hat.
Damit sich aus HPV-infizierten Zellen Tumorzellen entwickeln können, ist neben der HPV-Infektion eine Veränderung des viralen Genexpressionsmusters erforderlich. Dies führt zu einer drastischen Überexpression des zyklinabhängigen Kinaseinhibitors p16INK4a. Insofern lassen sich HPV-infizierte Zellen, die schon den Weg in die Krebsentstehung eingeschlagen haben, durch diesen Biomarker sehr spezifisch nachweisen. Die Firma mtm-laboratories hat aufgrund dieser wissenschaftlichen Forschungsergebnisse Verfahren und Testkits entwickelt, durch die Zellen, die p16IN-K4a als Folge einer „transformierenden“ HPV-Infektion verstärkt exprimieren, einfach und eindeutig nachgewiesen werden können. Dieses Verfahren kann an Gewebeschnitten, an zytologischen Präparaten aber auch in Form eines einfachen ELISA-Nachweises angewendet werden. Die Ergebnisse der bisher mit diesen Verfahren durchgeführten klinischen Studien zeigen eindeutig, dass diese Verfahren den konventionellen Ansätzen aber auch den Nachweis der HPV-Infektionen als Früherkennungstest deutlich überlegen sind.
Meist gelesen

DFG bewilligt neuartigen MPI-Scanner für Lübeck
Die Deutsche Forschungsgemeinschaft (DFG) hat den Antrag der Universität zu Lübeck zur Erforschung eines neuartigen Scanners für das Magnetic Particle Imaging (MPI) in Kombination mit Computertomographie (CT) und Hyperthermie in Höhe von etwa 4,3 Millionen Euro bewilligt.

Pro Care 2026 - Die Fachmesse für Kliniken und Pflegeeinrichtungen
Pro Care: vom 10.–11. Februar 2026 auf dem Messegelände Hannover: Erleben Sie Digitalisierung, Lösungsansätze zur Entlastung und für die Zukunft der Pflege.

Klinikum Nürnberg verbessert die Patientenversorgung
Das Klinikum Nürnberg hat mit Beginn des Monats Oktober erfolgreich sein neues Krankenhausinformationssystem ORBIS in Betrieb genommen.

Stilvolle Oberflächen für moderne Pflegebäder
Hewi präsentiert neue Oberflächen im umweltschonenden PVD-Verfahren – ideal für anspruchsvolle Pflegeumgebungen.

Von der Planung in die Praxis: IS-H-Ablöse in sicheren Händen
Meierhofer zeigt, wie moderne Lösungen für Patientenmanagement und Abrechnung technologisch überzeugen und im Krankenhausalltag funktionieren.









