Ultraschnelle Herzbildgebung mit dem Low-Dose-Volumen-CT





Im Krankenhaus Bethanien Moers kooperiert der Kardiologe Prof. Dr. Stefan Möhlenkamp eng mit dem Radiologen Dr. Hans Bender, um den Patienten eine bestmögliche kardiovaskuläre Bildgebung mittels Computertomografie zu ermöglichen.
Mit dem Low-Dose-Volumen-CT Aquilion ONE kann nun die Zahl unnötiger Herzkatheter-Untersuchungen reduziert und die Prävention von Herzinfarkten verbessert werden. Seit Juli 2011 bringt Prof. Möhlenkamp seine umfassende Expertise aus Forschung und Praxis als Chefarzt der Kardiologie im Krankenhaus Bethanien in Moers ein. Dabei setzt er sich insbesondere fur die schonende, nicht-invasive Diagnostik von Herzerkrankungen und die moderne Prävention von Herzinfarkten ein. Seit September 2013 steht dem Spezialisten mit dem Aquilion ONE ein High-End-Low-Dose-CT zur Verfügung, das ihn dabei unterstützt, seine anspruchsvollen Ziele zu erreichen und so die Patientenversorgung zwischen Ruhrgebiet, Düsseldorf und den Niederlanden zu optimieren. Für Dr. Bender ist wichtig: „dass der Aquillion ONE das isophasische Herz abbilden kann, - in nur einem Herzschlag, was zu einer deutlichen Dosisreduktion beiträgt. Auch Patienten mit Vorhofflimmern, Extrasystolen oder hohen Herzfrequenzen können ergebnissicher untersucht werden. Dabei bietet das Toshiba System eine ausgezeichnete Bildqualität, mit der wir Veränderungen der Herzkranzgefäße am schlagenden Herzen detailliert erfassen können, ohne Herzkatheter-Untersuchung."
„So kann auch ein Krankenhaus der Schwerpunktversorgung wie unseres eine diagnostische Qualität anbieten, die bis vor Kurzem noch den Universitätskliniken vorbehalten war", erläutert Prof. Möhlenkamp die Entscheidung für den neuen CT. Der Volumenscanner mit 320 ultrahochauflösenden 0,5-mm-Detektorreihen und 16-cm-Abdeckung kann mit nur einer Rotation 640 Schichten erzeugen und so ganze Organe in einem Durchgang scannen. Dies ist ohne Tischbewegung möglich, mit einer Strahlendosis so niedrig wie bei einer Herzkatheter-Untersuchung. Dabei konnen Differenzialdiagnosen wie Lungenembolie oder Aortendissektion in einer Untersuchung abgeklärt werden. Umfassende Studien belegen, dass die diagnostische Sicherheit der einer Herzkatheter-Untersuchung entspricht. So hilft das neue CT-System, stationare Krankenhausaufenthalte zu vermeiden oder zumindest zu verkürzen. „Mit dem Aquilion ONE können wir wesentlich effizienter handeln, ganz im Sinne des Patienten. Oft werden Patienten mit Verdacht auf eine akute Herzinfarktgefährdung vom Hausarzt zu uns geschickt. Dann beginnt normalerweise die zeitaufwendige Routinediagnostik. Mit dem Volumen-CT können selbst Patienten, die am Freitagnachmittag zu uns kommen, noch eine schnelle, zuverlässige Diagnostik erhalten - und im besten Fall wieder nach Hause gehen."
Dr. Bender ergänzt: „ Die CT-Untersuchung lässt sich in drei bis fünf Minuten auswerten, je nach Komplexität der Untersuchung. Vor einer Herzkatheter-Untersuchung müssen wir dagegen ausführlich aufklären und eventuell auf den Platz im Herzkatheter-Labor warten. Und das, obwohl sich vielleicht später herausstellt, dass die invasive Untersuchung gar nicht notwendig ist. Gleichzeitig wird das Herzkatheter-Labor entlastet, ein entscheidender Vorteil für Patienten, bei denen tatsächlich eine Intervention notwendig ist." Die Behandlung von Aortenklappenstenosen ist eine weitere Indikation, die aufgrund der Bevölkerungsentwicklung stetig zunimmt und mit modernen Herzklappenersatzverfahren schonend und mit wenig Aufwand behandelt werden kann. Voraussetzung ist eine Diagnostik, die die großen herznahen Gefäße präzise abbildet.
Hier ist das Volumen-CT die Methode der Wahl, auch zur Nachkontrolle. Patienten, die mit einer Erkrankung der Hauptschlagader zu uns kommen, können mit dem Aquilion ONE optimal diagnostiziert werden." Als Vorreiter in Sachen Herzdiagnostik misst Prof. Stefan Möhlenkamp der Risikostratifikation große Bedeutung bei, insbesondere bei Menschen mit - auf den ersten Blick - mittlerer oder geringer Herzinfarktgefahr. „Zum einen können wir stark gefährdete Patienten anhand von kardiovaskulären Risikofaktoren wie Rauchen, erhöhten Cholesterinwerten, Bluthochdruck, Diabetes, Körpergewicht, Familienanamnese, aber auch psychosozialen Faktoren erkennen und die Patienten entsprechend behandeln. Zum anderen überleben heute 90 % der Patienten, die rechtzeitig ins Krankenhaus kommen, dank moderner Therapien und technischer Fortschritte das Ereignis. Doch die meisten Herzinfarkte entstehen aus vermeintlicher Gesundheit heraus. Die Konsequenz: Wir müssen das Herzinfarktrisiko beschwerdefreier Personen kennen, wenn wir die Sterblichkeit insgesamt senken wollen." Zudem gibt es eine große Gruppe von Personen mit mittlerem Risiko, bei denen die Gefährdung schwer einzuschätzen ist. Zahlreiche internationale Studien konnten zeigen, dass in diesen Fällen das Koronar-CT den Biomarkern und anderen serologischen und bildgebenden Verfahren überlegen ist.
„Typisches Beispiel ist ein Mann Anfang 60, bei dem Cholesterinwerte und Blutdruck leicht erhöht sind. Er hat lange keinen Sport mehr getrieben und macht sich Sorgen, weil sein Vater mit 65 am Herzinfarkt gestorben ist. Vielleicht zwickt oder sticht es bei Bewegung auch mal im Oberkörper. Das ist zunächst keine alarmierende Situation, die zwingend auf eine Erkrankung der Herzkranzgefäße schließen lässt. Aber wirklich sicher kann ich auch nicht sein. Mit dem kardialen Volumen CT-Scanner habe ich nun eine zusätzliche Möglichkeit, dem Patienten Sicherheit zu geben." Sowohl bei asymptomatischen als auch bei symptomatischen Patienten stellt sich immer die Frage, wie wahrscheinlich es ist, dass eine Einengung der Herzkranzgefäße besteht, die durch eine Intervention mittels Herzkatheter behandelt werden sollte. Bisher erfolgte die Diagnostik meist durch eine Herzkatheter-Untersuchung. „Bevor ein solcher Eingriff erfolgt, sollte jedoch möglichst mithilfe schonender, nicht-invasiver Verfahren abgeklärt werden, ob tatsächlich eine stenosierende KHK vorliegt. Mit dem High-End-CT Aquilion ONE ist dies möglich. Es ergänzt unsere Testverfahren, sodass wir in dieser Region eine einzigartige Diagnostik auf dem neuesten Stand von Forschung und Technik anbieten können." Bei 30-50 % der Herzkatheter-Untersuchungen in Deutschland zeigt sich, dass keine Stent-Implantation nötig ist. Dank des konsequenten Qualitätsmanagements liegt die Quote im Krankenhaus Bethanien bei 35 % der jährlich durchgeführten 1.600 Eingriffe.
„Unser Ziel ist es, durch eine exakte, aber schonende Vor-Diagnostik die Zahl unnötiger Herzkatheter-Untersuchungen weiter zu reduzieren. Natürlich lassen sich Untersuchungen ohne Notwendigkeit einer Koronarintervention nicht völlig vermeiden, aber ich gehe davon aus, dass wir diese bei geeigneten Patienten mit dem Aquilion ONE um etwa die Hälfte reduzieren können." Langfristig möchte Prof. Möhlenkamp im Rahmen eines Netzwerkes Herz-CT-Untersuchungen zur Infarkt-Früherkennung möglichst vielen Patienten ermöglichen. Gemeinsames Ziel ist es, wegweisende kardiovaskuläre Präventionsstrategien zu etablieren. Prof. Möhlenkamp ist überzeugt, dass der Bedarf und die medizinische Notwendigkeit bestehen. „Wir würden uns freuen, wenn wir hier im Krankenhaus Bethanien eine Vorreiterrolle in der Region übernehmen dürften, um gemeinsam mit den Hausärzten, den niedergelassenen Kardiologen, aber auch den Krankenkassen die Patienten effizient mit Diagnostik und Therapie nach modernsten Qualitätskriterien versorgen zu können."
Einzelheiten und Legenden zu den Anbbildungen
Fall 1
Anamnese:
77-jährige Dame, Aufnahme wg. paroxysmalem Vorhofflimmern, Herzfrequenz (HF): 141 bpm. Spontankardioversion in einen normfrequenten Sinusrhythmus (HF: 65 bpm). Atypische Angina Pectoris. In der Fahrrad-Ergometrie Schwindel, Übelkeit und Blutdruckabfall.
Kardiovaskuläre Risikofaktoren:
arterielle Hypertonie, unter Therapie (Diuretikum, ACE-Hemmer, Beta-Blocker) Blutdruck in Ruhe: 115/60 mmHg, prä-Diabetes, Nichtraucherin, LDL-Cholesterin: < 70 mg/dl, negative Familienanamnese. Framingham Risiko Score (FRS) = 5 % Herzinfarktrisiko in den nächsten 10 Jahren (= niedriges Risiko).
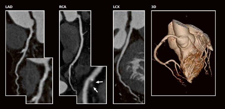
CT -Angiographie:
in der multiplanaren Rekonstruktion (Curved MPR) diskrete kalzifizierte und nicht-kalzifizierte Plaquebildung im proximalen RIVA (links), Ramus Diagonalis 1 (links) und in der mittleren RCA (Mitte, weiße Pfeile). Unauffällige LCX (rechts). Gesamt-Agatston-Score = 290 (mittleres Risiko). Keine relevanten Stenosen (3D-Bild). Strahlendosis CTA = 0,7 mSv.
Therapie:
Optimierung der kardiovaskulären Risikofaktoren, insbesondere der prä-diabetischen Stoffwechsellage.
Fall 2
Anamnese:
40-jähriger Mann, Architekt. Bei Stress auf den Baustellen deutlich körperliches Unwohlsein. Postprandial oft „Herzbeschwerden“ (DD: Roemheld-Syndrom). 182 cm, 80 kg, 1x/Woche Badminton, Patient möchte gerne wieder joggen, sorgt sich aber um das Herzinfarktrisiko.
Kardiovaskuläre Risikofaktoren:
bekannte arterielle Hypertonie, kein Nikotin, kein Diabetes, positive Familienanamnese: Großvater mütterlicherseits 2x Myokardinfarkt mit < 60 Jahren, Cousin mütterlicherseits Myokardinfarkt mit 45 Jahren, keine bekannte Fettstoffwechselstörung! Blutdruck in Ruhe: 120/80 mmHg (mit ACE-Hemmer), schwere (familiäre) Dyslipoproteinämie: Gesamt-Cholesterin: 320 mg/dl, LDL-Cholesterin: 201 mg/dl, HDL-Cholesterin: 63 mg/dl, Triglyzeride: 281 mg/dl, Harnsäure: 7,3 mg/dl.
CT -Angiographie:
Linksversorgungstyp mit sehr klein angelegter RCA (3D-Bild). In der multiplanaren Rekonstruktion (Curved MPR) Ausschluss von kalzifizierten und nicht-kalzifizierten arteriosklerotischen Plaques. Aber diskrete Kalzifikation in der Aortenwurzel (Vergrößerung Mitte, Pfeil) als Beweis einer beginnenden Arteriosklerose in sehr jungem Alter. Strahlendosis CTA = 1,8 mSv.
Therapie:
Beruhigung hinsichtlich eines akuten oder mittelfristigen Herzinfarktrisikos bei jedoch erhöhtem Lebenszeitrisiko! Intensive Senkung des LDL-Cholesterins mit einem Statin. Gesunde Ernährung, regelmäßig Sport, regelmäßige Blutdruckkontrolle, Stress-Bewältigung.
Fall 3
Anamnese:
76-jähriger Mann, in letzter Zeit zunehmend retrosternales „Krampfgefühl“ beim strammen Spazierengehen oder bei psychischem Stress.
Kardiovaskuläre Risikofaktoren:
arterielle Hypertonie, unter Therapie Ruhe-Blutdruck: 139/72 mmHg, Diabetes mellitus Typ II, positive Familienanamnese, Lipidprofil: Gesamt-Cholesterin: 174 mg/dl, LDL-Cholesterin: 100 mg/dl, HDL-Cholesterin: 46 mg/dl, Triglyzeride: 140 mg/dl.
CT -Angiographie:
in der Curved MPR (oben links) schwere kalzifizierte und nicht-kalzifizierte Plaquebildung (Gesamt-Agatston-Score = 884, d. h. hohes Risiko). In der 3D-Rekonstruktion (Mitte und Vergrößerung unten links) und in der Curved MPR (oben links) dringender V. a. hochgradige serielle LAD-Stenosen (weiße Pfeile) vor und nach dem RD1-Abgang. In der invasiven Koronarangiographie (rechts schon mit liegendem Führungsdraht, schwarzer Pfeil) ebenfalls Darstellung dieser Stenosen im proximalen und mittleren RIVA (weiße Pfeile). Strahlendosis CTA = 1,6 mSv.
Therapie:
Revaskularisation des RIVA mit PTCA und Stent-Implantation in den proximalen RIVA. Optimierung des kardiovaskulären Risikoprofils.
Mehr Informationen finden Sie auf der Microsite
Innovation in der Medizintechnik.
Anbieter
Toshiba Medical Systems GmbH DeutschlandHellersbergstr. 4
41460 Neuss
Deutschland
Meist gelesen

ATOS Wiesbaden setzt bei Anästhesie auf besonders schonende und sichere Narkose-Dreifachkombi
Wenn es um das Thema Anästhesie für operative Eingriffe geht, stehen Ärzten unterschiedliche Methoden zur Verfügung. Ein besonders innovatives Verfahren setzt die ATOS Klinik Wiesbaden als eine von wenigen Kliniken seit Jahren standardmäßig ein.

Ein Brief an die Zukunft: Stefan Drägers Vision vom Krankenhaus der Zukunft
Stefan Drägers Brief an das Krankenhaus der Zukunft und über die Vision seiner Familie.

Zukunftsfähig: Neuausrichtung des TAVI-Programms im Asklepios St. Georg
Mit der Prozessoptimierung des TAVI-Programms gelang es dem Team für strukturelle Herzerkrankungen, wirtschaftliche Effizienz und Mitarbeiterzufriedenheit zu steigern – ein Gewinn für alle Seiten.

Neues Sequenzier-Labor am Krankenhaus Merheim eröffnet
Das Krankenhaus Merheim der Kliniken der Stadt Köln hat am 7. Oktober 2025 offiziell sein neues Sequenzier-Labor in Betrieb genommen – ein bedeutender Schritt in Richtung moderner, personalisierter Krebsmedizin.

Doppeltes Risiko: Kombination zweier Genvarianten begünstigt Entzündung und Krebs
Kieler Forschungsteam hat zwei Genveränderungen identifiziert, die im Zusammenspiel bei Menschen mit chronischen Darmentzündungen das Risiko für Darmkrebs erhöhen könnten.








