Brustkrebs: Neuer Subtyp erweitert Behandlungsmöglichkeiten
Eine neue Unterform von Brustkrebs zeigt eine verbesserte Überlebenswahrscheinlichkeit der Betroffenen, außerdem hat sie Auswirkungen auf zukünftige Behandlungsmöglichkeiten.

Das hat ein bundesweites Forschungsteam unter Leitung der Universitätsmedizin in Marburg und Frankfurt herausgefunden, indem es Proben von Krebsgewebe molekular untersuchte.
Brustkrebs ist diejenige Krebsart, die bei Frauen in den westlichen Industrienationen am häufigsten vorkommt – oft mit tödlicher Folge: An Brustkrebs sterben mehr Frauen als an irgendeiner anderen Krebserkrankung. „Bei Brustkrebs handelt es sich nicht um eine einheitliche Erkrankung, sondern um eine Kombination verschiedener Subtypen“, sagt der Pathologe Prof. Dr. Carsten Denkert von der Philipps-Universität Marburg, einer der federführenden Autoren der Studie. „Diese Subtypen sind von zentraler Bedeutung für die Entwicklung personalisierter Therapiestrategien.“
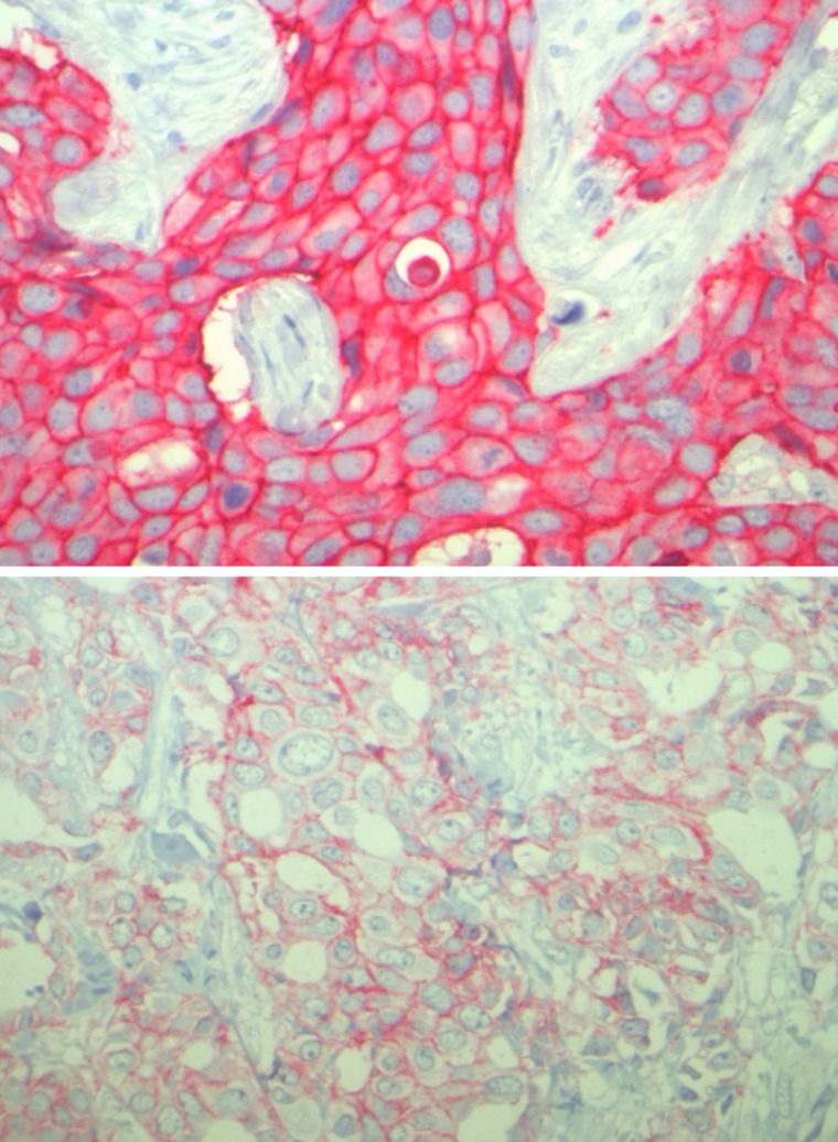
Bei einem Teil der Patientinnen liegt das Rezeptormolekül HER2 im Tumorgewebe stark vervielfältigt vor; HER2 ist ein wichtiges Krebsgen bei Brustkrebs. „Behandlungsansätze mit speziellen Antikörpern gegen HER2 haben neue therapeutische Optionen eröffnet“, ergänzt Prof. Dr. Sibylle Loibl von der Goethe-Universität Frankfurt.
Bislang galt eine zielgerichtete Therapie nur dann als erfolgversprechend, wenn der Tumor eine sehr stark erhöhte Konzentration von HER2 aufweist. Das Forschungsteam um Denkert und Loibl untersuchte Brustkrebsgewebe von 2.310 Patientinnen, die eine Kombinationschemotherapie erhalten hatten.
„In 48 % dieser Gewebeproben zeigen eine schwach-positive Konzentration von HER2“, berichtet Denkert. „Wie wir herausfanden, lässt sich Tumorgewebe mit schwacher Positivität für das HER2-Protein als eigener Brustkrebs-Subtyp charakterisieren, der sich von Tumoren unterscheidet, die gar kein HER2-Protein aufweisen.“ Das wirkt sich insbesondere auf das Überleben der Betroffenen aus: „Wenn im Tumor das HER2-Protein in geringer Konzentration vorliegt, ist die Überlebenswahrscheinlichkeit der Betroffenen größer, als wenn das Gewebe gar kein HER2 enthält“, legt Loibl dar.
Künftige, personalisierte Behandlungsansätze
Zugleich zeigen die Daten, dass Krebsformen mit wenig HER2 schlechter auf eine Chemotherapie ansprechen als Subtypen ohne HER2-Protein. „Offenbar ist Brustkrebs komplexer, als bislang angenommen wurde“, schlussfolgert Denkert; „dies eröffnet neue Möglichkeiten für künftige, personalisierte Behandlungsansätze. In der Zukunft könnten neue Therapien, die sich speziell gegen niedrig-HER2-positive Tumoren richten, das Überleben in dieser Subgruppe noch weiter verbessern.“
Nationale und internationale Vernetzung
Prof. Dr. Carsten Denkert leitet das Institut für Pathologie der Philipps-Universität Marburg. Prof. Dr. Sibylle Loibl lehrt Medizin an der Goethe-Universität Frankfurt und leitet die „German Breast Group“. Neben den Arbeitsgruppen aus Marburg und Frankfurt beteiligten sich zahlreiche Kliniken aus dem ganzen Bundesgebiet an der Studie. Die beteiligten Wissenschaftler griffen dabei auf Proben zurück, die aus vier klinischen Studien der „German Breast Group“ stammen. Die Deutsche Krebshilfe unterstützte die Forschungsarbeit auf mehreren Wegen: Über das gemeinsame onkologische Spitzenzentrum „Universitäres Centrum für Tumorerkrankungen Frankfurt-Marburg“ sowie durch ihren Förderschwerpunkt „Translationale Onkologie“.
„Eine nationale und internationale Vernetzung ist für die Durchführung klinischer Studien heute essentiell“, sagt Sibylle Loibl. „Denn nur, wenn wir gemeinsam an neuen Projekten arbeiten und die Ressourcen aus verschiedenen Zentren optimal nutzen, können wir gemeinsam neue Tumortypen identifizieren, klinisch charakterisieren und die neuen Therapien hierfür in klinischen Studien untersuchen.“















