
Hightech-Medizin im Klinikum Fulda
Das neue Kardio-CT kann Herzkranzgefäße sicher untersuchen.

Das neue Kardio-CT kann Herzkranzgefäße sicher untersuchen.

Eine neue Angiografieanlage ermöglicht Eingriffe auch an kleinen Hirngefäßen, dank modernster Vergrößerungstechnik.

An der Uniklinik Augsburg wurde heute der erste Hybrid-Angio-Computertomograph der Firma Canon Medical eingeweiht. Damit wird die Patientenversorgung, insbesondere bei Tumorerkrankungen, auf ein neues Niveau gehoben.

Die Sonographie ist von allen bildgebenden Modalitäten die am weitesten verbreitete und fester Bestandteil im Operationssaal.

Ein Hybrid-Angio-Computertomograph der Firma Canon sorgt künftig für eine noch bessere Patientenversorgung, insbesondere bei Tumorerkrankungen.

Canon Medical stärkt seine Partnerschaft mit der European Society of Radiology für den ECR 2023.

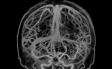
„Die Kombination aus UHR und KI bringt uns auf ein neues diagnostisches Level“, fassen Prof. Dr. Marc Brockmann und Prof. Dr. Ahmed Othman zusammen.

Die Radiologie im Klinikum Fürth arbeitet seit Mitte 2020 mit zwei volldigitalen Adora-DRi-Systemen und drei mobilen X-Ray Units von Canon Medical Systems.

Seit Mitte 2020 nutzt die Klinik für Radiologie der Charité – Universitätsmedizin Berlin einen Volumen-CT Aquilion PRISM mit der neuen KI-Technologie „AiCE“ (Advanced intelligent Clear Image Quality Engine).

Vaginal- und Rektalsonden sind im Sinne der Hygiene semikritische Medizinprodukte und bedürfen daher bei der Aufbereitung nach jeder Untersuchung besonderer Beachtung.
