Optimierte CT-Bildgebung




Dank künstlicher Intelligenz und neuer 3D-Rendering-Technik ist ein fotorealistischer Blick auf die Anatomie möglich.
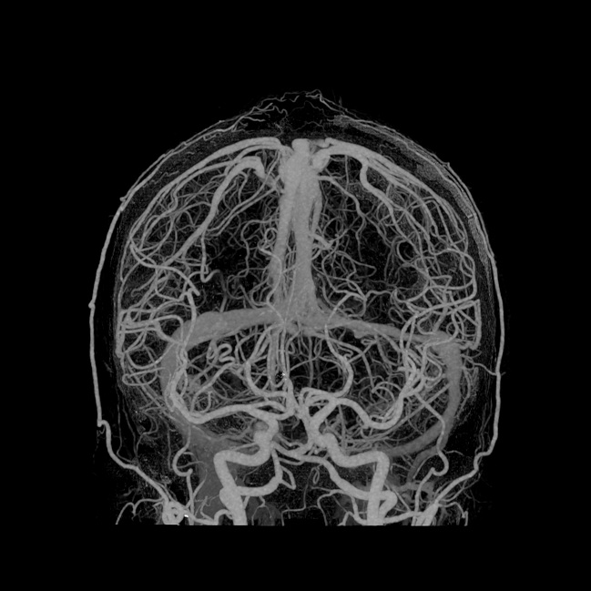
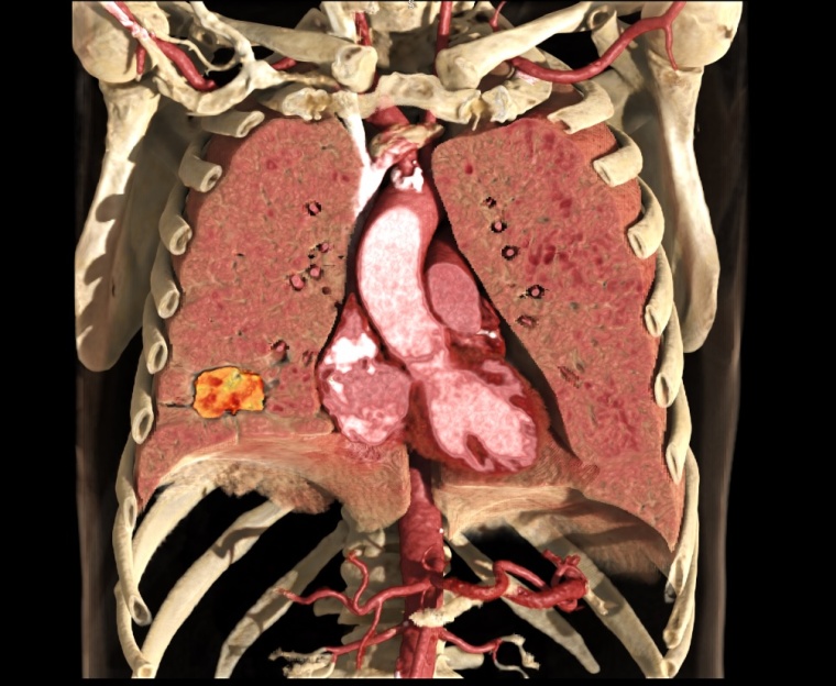
Global Illumination von Canon Medical ist eine neue innovative 3D-Rendering-Technik, die einen präzisen und fotorealistischen Blick auf die Anatomie ermöglicht. Mittels dieses hochqualitativen alternativen Blickeindruckes wird die Diskussion unter Ärzten, mit Patienten und weiteren Gesprächspartnern (z. B. der Gerichtsmedizin) einfacher und effizienter, da die Befunde plastischer erscheinen und leichter verständlich sind. Die einfach zu bedienende Software erzeugt fotorealistische Bilder und Videos, sie wurde kürzlich erstmals der Weltöffentlichkeit im Detail vorgestellt und ist für die Vitrea-Software von Canon Medical erhältlich.
Die künstliche Intelligenz und Deep-Learning sind in aller Munde. Canon Medical hat AiCE (Advanced Intelligent Clear-IQ Engine), den Deep Learning Rekonstruktionsalgorithmus für die CT-Rekonstruktion kürzlich erstmals der Weltöffentlichkeit präsentiert. AiCE beinhaltet ein neuronales Netz, welches in der Lage ist, das Bild-Rauschen in CT-Bildern von den eigentlichen Signalen zu differenzieren bzw. zu bereinigen. Damit werden CT-Bilder von außerordentlich hoher Qualität bei minimalem Rauschen und somit minimaler Dosis erzeugt.
Die Einführung des Ultra-High-Resolution-CT Aquilion Precision durch Canon Medical, der eine doppelte Auflösung von 150 µm bietet, war ein besonderer Anlass, die CT-Bild-Rekonstruktion der nächsten Generation zu entwickeln. Für eine ultrahochauflösende Bildgebung braucht man einen Algorithmus, der in der Lage ist, sehr schnell zu sein und zudem eine außerordentliche Detailgenauigkeit zu liefern. AiCE bietet nicht nur eine besonders hohe räumliche Auflösung, AiCE optimiert gleichzeitig die Niedrigkontrastauflösung der Bilder des Aquilion Precision CTs – und das bei vergleichbar niedriger Dosis. Die Kombination aus AiCE und dem UHR-CT Aquilion Precision definiert ein neues Kapitel in der CT.
AiCE: Deep-Learning-Rekonstruktion
Die AiCE Deep-Learning-Rekonstruktion verfügt über ein hochausgebildetes mehrschichtiges neuronales Netz, um das Rauschen in hochauflösenden Bildern zu reduzieren und gleichzeitig die doppelte Detailgenauigkeit zu gewährleisten. Die Kombination des UHR-CT Aquilion Precision und der AiCE Deep-Learning-Rekonstruktion ermöglicht schon bei der ersten Anwendung einen ultrahochauflösenden Scan mit wenig Dosis.
Potential der UHR-CT mit künstlicher Intelligenz: Radionomics
Das ultrahochauflösende Scannen in Verbindung mit der Deep-Learning-Rekonstruktion wird die Bedeutung der CT in der Diagnostik bei einer Vielzahl von Fragestellungen weiter ausbauen. Klinische Anwendungen wie Darstellungen von z. B. Lunge, Gefäßsystem, Stentstruktur oder auch die Darstellung kleiner Tumoren und Veränderungen können allesamt von der neuen Qualität profitieren.
Zukunft der CT
Die integrierte, effiziente und benutzerfreundliche AiCE Deep-Learning-Rekonstruktion sorgt dafür, dass die Welt der ultrahochauflösenden Computertomographie von den Fähigkeiten des Deep-Learning besonders profitiert. Neue Rendering-Tools für die Visualisierung erleichtern den Umgang mit der Vielzahl radiologischer Daten wie die Kommunikation mit allen Beteiligten. Die Kombination des Aquilion Precision und der AiCE DLR bietet signifikante Fortschritte bei der Diagnostik, den klinischen Anwendungen, wie auch der Radionomics und definiert die Zukunft der Computertomographie.
Meist gelesen

Pro Care 2026 - Die Fachmesse für Kliniken und Pflegeeinrichtungen
Pro Care: vom 10.–11. Februar 2026 auf dem Messegelände Hannover: Erleben Sie Digitalisierung, Lösungsansätze zur Entlastung und für die Zukunft der Pflege.

Elektronische Zutrittskontrolle von Winkhaus erleichtert NIS-2-Konformität
Die NIS-2-Richtlinie fordert eine zuverlässige Zutrittskontrolle für kritische Infrastrukturen. Das Schließsystem blueEvo erfüllt diese Anforderungen.

Klinikum Nürnberg verbessert die Patientenversorgung
Das Klinikum Nürnberg hat mit Beginn des Monats Oktober erfolgreich sein neues Krankenhausinformationssystem ORBIS in Betrieb genommen.

Stilvolle Oberflächen für moderne Pflegebäder
Hewi präsentiert neue Oberflächen im umweltschonenden PVD-Verfahren – ideal für anspruchsvolle Pflegeumgebungen.

DFG bewilligt neuartigen MPI-Scanner für Lübeck
Die Deutsche Forschungsgemeinschaft (DFG) hat den Antrag der Universität zu Lübeck zur Erforschung eines neuartigen Scanners für das Magnetic Particle Imaging (MPI) in Kombination mit Computertomographie (CT) und Hyperthermie in Höhe von etwa 4,3 Millionen Euro bewilligt.










