Endoskopische Bildgebung: Bessere Sicht aufs Gewebe


Anlässlich des 14. Internationale Endoskopie Symposiums in Düsseldorf präsentierte Olympus eine Reihe von Neuheiten: Neben der Narrow-Band-Imaging-Technik zeigt sich auch ein neuer Clip zur Stillung von Blutungen vielversprechend.
Die endoskopische Bildgebung entwickelt sich immer weiter und ermöglicht eine noch bessere und zuverlässigere Krebsfrüherkennung. Dabei liegen die diagnostischen Fortschritte insbesondere in der Weiterentwicklung der eingesetzten Videosysteme. „Mit den neuen Endoskopiesystemen können Ärzte besser entscheiden, ob eine lokale organerhaltende Therapie, oder aber ein operativer Eingriff nötig ist", berichtet PD. Dr. Brigitte Schumacher, leitende Oberärztin der Endoskopie der Medizinischen Klinik am Evangelischen Krankenhaus (EVK) in Düsseldorf.
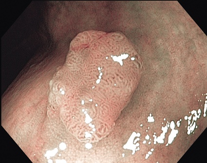
Verfahren wie High Definition Television (HDTV) oder Narrow Band Imaging (NBI) ermöglichen mittlerweile eine derart aussagekräftige Bildgebung, dass die Beurteilung von Krebsfrühformen im Gastrointestinaltrakt immer präziser wird. Dabei sei das Ziel nach wie vor, mit einer schärferen und kontrastreicheren Bildauflösung die Differenzierung in gut- oder bösartig zuverlässig treffen zu können, so Schumacher. Ein Beispiel aus dem oberen Gastrointestinaltrakt ist die Diagnose der Barrett-Speiseröhre, auch Barrett-Ösophagus genannt, die durch langjährigen Reflux entsteht und als Hauptrisikofaktor für einen Tumor oder dessen Vorstufe gilt.
Die aufgenommenen Bilder der bildgebenden Verfahren sind so vielversprechend, dass sie eine gute Behandlung eines Patienten auch dann sicherstellen, wenn dieser beispielsweise von einem Krankenhaus in ein anderes verlegt wird. „Die technischen Entwicklungen haben sich so weit verbessert, dass Arzt und Patient davon profitieren", sagt Prof. Paul Fockens vom Academic Medical Center an der Universität in Amsterdam. Mithilfe von NBI kann der Arzt nun in den untersuchenden Bereich hereinzoomen und mögliche Befunde besser charakterisieren. Die oberflächlichen Gefäße der Schleimhaut können durch einen speziellen Filter deutlich besser visualisiert werden.
Während bei konventionellen endoskopischen Verfahren das Licht reflektiert, absorbiert und gestreut wird, sobald es auf das Gewebe trifft, lässt der NBI-Filter nur die Spektralanteile des sichtbaren Lichts passieren, die durch die in der Schleimhaut befindlichen Blutgefäße absorbiert werden. Das Ergebnis: Kapillargefäße an der Oberfläche werden braun, tief gelegene venöse Gefäße türkis dargestellt. Weitere Vorteile des Verfahrens: Der Arzt führt die Untersuchung per Knopfdruck direkt an seinem Endoskop durch und kann diesen Vorgang so oft wiederholen, wie es für einen sicheren Befund nötig ist.
„Von diesen Fortschritten profitiert der Patient direkt, da jetzt während einer Endoskopie weniger Biopsien entnommen werden müssen. Außerdem können die Bilder und Videos auch anderen Referenzzentren zur Verfügung gestellt werden. Insgesamt gesehen können Patienten dank dieser Entwicklungen eine besser auf sie zugeschnittene, weniger invasive und präzisere Behandlung erwarten", berichtet Fockens.
Neben Untersuchungen der Speiseröhre kann die NBI-Technik zum Beispiel auch für eine bessere Diagnostik bei Erkrankungen im Magen eingesetzt werden. Insbesondere profitieren aber Patienten mit Barrett-Ösophagus von der Technik, da die Erkrankung wegen der gut dargestellten Gefäßstrukturen im Vergleich zur konventionellen Endoskopie besser erkannt werden kann. Wegen des erhöhten Krebsrisikos eines Barrett-Ösophagus müssen Patienten regelmäßig endoskopisch untersucht werden. Und auch hier kommt ihnen NBI zugute, da die Abstände zwischen den Untersuchungen dank der präziseren Technik verlängert werden können, wenn keine bösartigen Veränderungen vorliegen.
Dr. Douglas K. Rex von der University Hospital in Indianapolis sieht den Einsatz der NBI-Technik auch bei der Untersuchung von Darmpolypen und der damit verbundenen Frage, ob es sich um einen adenomatösen Polypen handelt, der entarten kann, oder aber um einen hyperplastischen Polypen, der in der Regel harmlos ist.
„Erfolgt die Unterscheidung zwischen adenomatösen und hyperplastischen Polypen schon während der Koloskopie, lässt sich der Polyp möglicherweise einfach entfernen und entsorgen, anstatt ihn pathologisch zu untersuchen", sagt Rex. Dadurch werden nicht nur Patienten geschont, sondern auch die Kosten der Kliniken erheblich gesenkt. Zu den überzeugendsten Techniken, mit denen eine solche Unterscheidung in Echtzeit während der Untersuchung erfolgen kann, gehören seiner Ansicht nach eben unter anderem das NBI von Olympus.
Ein weiteres neues endoskopisches Verfahren ist die Perorale ösophageale endoskopische Myotomie (POEM), die bei der Achalasie - einer ungenügenden Entleerung der Speiseröhre - zum Einsatz kommt. Die Methode wurde in Japan entwickelt und wird derzeit am Evangelischen Krankenhaus in Düsseldorf sowie anderen deutschen Endoskopie-Zentren evaluiert.
Dabei wird in der Speiseröhre unterhalb der Schleimhaut endoskopisch ein etwa 10 bis 13 Zentimeter langer Tunnel präpariert, „der es ermöglicht, die zirkuläre Muskulatur von der mittleren Speiseröhre bis zum ösophagocardialem Übergang zu durchtrennen", sagt Schumacher. Die ersten Studienergebnisse lassen hoffen. „Den Patienten, bei denen diese Methode angewendet wurde, geht es deutlich besser."
Ist ein endoskopischer Eingriff mit einer Resektion verbunden, besteht immer ein gewisses Komplikationsrisiko. Zu den häufigsten Komplikationen gehören nach Angaben von Priv.-Doz. Dr. Brigitte Schumacher Perforationen und Blutungen, die normalerweise durch implantierte Metallclips versorgt werden.
Zwar verschließen solche Clips die Perforation oder gar ein blutendes Gefäß, jedoch ist die Clipgröße begrenzt, was bei größeren Perforationen zum Problem werden kann. Das neue Clipsystem OTSC (Over the scope clip) soll dieses Problem lösen: Dieser Clip wird über die Spitze des Endoskops auf das blutende Gewebe angebracht und hält die Wunde dauerhaft zusammen. Schumacher: „Es handelt sich um eine effektive Behandlungsmöglichkeit bei größeren Blutungen, die weitere Operationen verhindern kann. Die Ergebnisse in bisherigen Untersuchungen sind hervorragend."
Vielversprechend ist auch ein Hämospray, das ebenfalls zur Stillung von Blutungen eingesetzt wird. Es wird auf die Schleimhaut aufgetragen und verbindet sich mit dem Gefäß, sodass es sich verkleben kann. Die Technik sei leicht zu erlernen und äußerst effektiv, so Schumacher. Weitere Ergebnisse stehen jedoch noch aus.
x
Meist gelesen

Neues Sequenzier-Labor am Krankenhaus Merheim eröffnet
Das Krankenhaus Merheim der Kliniken der Stadt Köln hat am 7. Oktober 2025 offiziell sein neues Sequenzier-Labor in Betrieb genommen – ein bedeutender Schritt in Richtung moderner, personalisierter Krebsmedizin.

Pro Care 2026 - Die Fachmesse für Kliniken und Pflegeeinrichtungen
Pro Care: vom 10.–11. Februar 2026 auf dem Messegelände Hannover: Erleben Sie Digitalisierung, Lösungsansätze zur Entlastung und für die Zukunft der Pflege.

Von der Planung in die Praxis: IS-H-Ablöse in sicheren Händen
Meierhofer zeigt, wie moderne Lösungen für Patientenmanagement und Abrechnung technologisch überzeugen und im Krankenhausalltag funktionieren.

Richtiges Händewaschen: Die Temperatur ist nicht entscheidend
Welchen Einfluss hat die Wassertemperatur, die Waschdauer und die Wassermenge auf das Händewaschen? Zwei Studien der Medizinischen Universität Wien zeigen überraschende Ergebnisse.

IT-Infrastruktur: Richtig investieren unter Druck
In vielen Gesundheitseinrichtungen stehen die IT-Verantwortlichen unter Druck.










