Kardiale MRT – Goldstandard bei fokalen Narben





Entzündliche Herzmuskelerkrankungen sind häufig und können mit CMR-Methoden besonders gut diagnostiziert werden. Derzeit werden vielversprechende Methoden entwickelt und erprobt, mit denen es erstmals gelingen kann, eine diffuse Fibrosebildung im Herzmuskel zu erkennen und zu quantifizieren.
Entzündlich veränderter Herzmuskel
Die häufigste entzündliche Herzmuskelerkrankung ist die Myokarditis, die mit ganz unterschiedlichen klinischen Erscheinungsbildern einhergehen kann. Deshalb kann sie mit anderen Ursachen einer Herzschwäche (Herzinsuffizienz) oder mit Herzrhythmusstörungen verwechselt werden. Die Erkrankung kann sehr unterschiedliche Verläufe haben: von einer vollständigen Genesung über eine dauerhafte Herzmuskelschwäche bis hin zum plötzlichen Herztod. Die richtige Diagnosestellung und die Abschätzung des Verlaufs sind daher sehr wichtig. Mit den üblichen Verfahren wie klinische Untersuchung, Laboruntersuchung, EKG und Echokardiografie sind beide Ziele nur eingeschränkt zu erreichen. Hier kann die kardiale MRT (CMR) mit ihrer genauen Darstellung von kardialer Morphologie und Funktion in Kombination mit exzellenter Gewebecharakterisierung weiterhelfen.
CMR-Methoden zur Erkennung einer Herzmuskelentzündung
T2 ist die Relaxationszeit der transversalen Magnetisierung, die in ödematösen, entzündlich veränderten Myokardregionen verlängert ist. Mit diesen T2-gewichteten Sequenzen lassen sich CMR-Bilder anfertigen, auf denen die Signalintensität eine Proportionalität zu den lokalen T2-Werten aufweist. Ödematös, entzündlich verändertes Myokard erscheint heller als ein nicht entzündlich veränderter Muskel. Leider sind diese Bilder anfällig für Artefakte und werden daher nicht an allen Zentren routinemäßig eingesetzt.
Man kann sogenannte T2-Landkarten (T2 Maps) erstellen, auf denen jedem Bildpunkt (Pixel) ein T2-Wert zugeordnet werden kann. Die entsprechenden Messungen werden gemacht, indem man mehrere CMR-Bilder mit verschiedenen Echo-Zeiten erstellt. Aus der Serie von Signalintensitäten ergibt sich dann für jeden Bildpunkt eine Kurve, aus deren Abfallssteilheit für jeden Bildpunkt der zugehörige T2-Wert errechnet werden kann. Entzündlich verändertes Myokard erkennt man dann anhand erhöhter T2-Werte. Derzeit ist auch diese Methode noch anfällig für Artefakte, jedoch ist sie Gegenstand intensiver Forschung, und man erwartet, damit eine akute Myokarditis künftig noch besser erkennen zu können.
Außer dem T2-Mapping kann man auch mit dem T1-Mapping entzündlich verändertes Gewebe erkennen. Unter T1 versteht man die Zeit, die die Längsmagnetisierung (longitudinale Magnetisierung) benötigt, um ihr Gleichgewicht wieder zu erreichen. Das T1-Mapping erfolgt durch Erhebung multipler Inversions-Erholungs-Bilder mit wachsenden Inversionszeiten, um die T1-Erholungskurve (longitudinale Relaxation) abzubilden. Die T1-Zeit des Myokards wird dann für jedes Pixel aus den Erholungskurven für jeden Bildpunkt durch geeignete Kurvenglättungsverfahren bestimmt.
Die resultierenden T1-Wertestellen stellen ein zusammengesetztes Signal des lokalen Gewebes dar - bestehend aus Zellen und Zwischenzellraum, sodass die Ursache einer T1-Verlängerung (Ödem, diffuse Fibrose oder infiltrative Prozesse) nicht weiter unterschieden werden kann. Die erhaltenen T1-Werte müssen also im klinischen Zusammenhang gesehen werden. Diese Methode erfordert keine Gabe von Kontrastmitteln, was wiederum vorteilhaft für Untersuchungsdauer, Kostenersparnis und Einsatzmöglichkeiten bei Patienten mit stark eingeschränkter Nierenfunktion ist.
Keine Narben - positiver Verlauf
Mit der sog. Late Gadolinium Enhancement (LGE) lässt sich der Entzündungsprozess nicht direkt sichtbar machen. Hingegen wird die oft vorhandene, assoziierte, umschriebene Narbe genau abgebildet. Gadoliniumhaltiges, extrazellulär bleibendes Kontrastmittel hat in Geweben mit einem vergrößerten Extrazellulärraum (so etwa in fibrotischem Gewebe, wo die Myokardzellen zugrunde gegangen sind und durch Kollagenfasern und nicht so dicht gepackte Fibrozyten ersetzt wurden) einen größeren Verteilungsraum. Im Vergleich zu gesundem Myokard, wo das Kontrastmittel rasch an- und abflutet, verbleibt das Kontrastmittel in diesem vergrößertem Extrazellulärraum länger, sodass es auch noch nach ca. 10-15 Minuten als helles Signal nachweisbar ist, wohingegen gesundes Myokard dunkel erscheint.
Ähnliche Verhältnisse wie in fibrotischem Gewebe liegen hinsichtlich der Größe des Extrazellularraums auch in akut nekrotischem Gewebe vor. Bei schwerer verlaufenden Herzmuskelentzündungen kommt es meist zur Ausbildung fokaler Narben, die dann in der CMR sichtbar sind und im Zusammenhang mit dem klinischen Bild die Diagnose einer Herzmuskelentzündung erlauben. Wenn solche Narben nicht vorhanden sind, ist der Verlauf der Herzmuskelentzündung als sehr günstig einzustufen - eine wichtige Information, die es erlaubt, solche Patienten früh wieder in den Arbeitsprozess einzugliedern und ihnen wieder sportliche Aktivitäten zu erlauben.
Fibrotische Veränderungen des Herzmuskels
Bei einer Fibrose vermehren sich Bindegewebszellen krankhaft, was zu einer Veränderung des Gewebes führt. Im Herzmuskel ist etwa die Narbe eines Herzinfarktes gut bekannt. Hierbei handelt es sich um einen fokalen Umbauvorgang, bei dem gesundes Myokard fast vollständig durch fibrotisches Gewebe ersetzt wird. Die mindestens genauso häufige diffusemyokardiale Fibrose, bei der es zu einer Vergrößerung des interstitiellen Raums durch Vermehrung von Kollagen und Fibrozyten zwischen einer mehr oder weniger erhaltenen Myozytenstruktur kommt, ist bei häufigen und wichtigen Erkrankungen wie der diastolischen Herzinsuffizienz, der dilatativen Kardiomyopathie und der Aortenklappenstenose von hoher Bedeutung. Das Vorhandensein einer Fibrose ist assoziiert mit dem Auftreten von Herzrhythmusstörungen und Herzinsuffizienz und ist daher wichtig für die Prognose der Erkrankung.
Mittels LGE lassen sich fokale Fibrosen auch bei nicht-ischämischen Myokarderkrankungen mit hoher Zuverlässigkeit nachweisen. Nachteil der ausschließlichen LGE-Bildgebung ist, dass ein diffuser Fibroseprozess nicht erkannt wird.
Diese diagnostische Lücke wird sich in Zukunft durch das T1-Mapping (mit oder ohne Kontrastmittelgabe) schließen lassen. Es ermöglicht nach Gabe von gadoliniumhaltigem Kontrastmittel schon heute, die Größe des Extrazellulärraumes zu bestimmen, indem der Herzmuskel in seine zellulären und interstitiellen Bestandteile aufgeteilt wird. Wenn die T1-Werte sowohl nativ als auch nach Kontrastmittelgabe im Blut sowie Myokard gemessen werden, lässt sich ein Koeffizient berechnen, der nach Korrektur durch den gemessenen Hämatokritwert das myokardiale Extrazellulärvolumen widerspiegelt. In der praktischen Anwendung kann man sowohl vor als auch nach der gabe des Kontrastmittels zwischen normalem Herzmuskel und durch Kardiomyopathien diffus geschädigtem Herzmuskel durch die T1-Messung unterscheiden. Vor Kontrastmittelgabe ist der T1-Wert in Gewebe mit diffuser interstitieller Fibrose erhöht, während er nach Kontrastmittelgabe erniedrigt ist. Vorteil der Methode ist die rasche Datenakquisition. Zudem können die farbigen „Maps" einen anschaulichen Eindruck des Fibrosegehalts vermitteln. Aktuell mangelt es aber noch an standardisierten Untersuchungsprotokollen. Nachteilig ist zudem, dass die T1-Werte von der individuellen Verstoffwechselung von Gadolinium, den genauen Messzeitpunkten, der verabreichten Kontrastmittelmenge und dem Hämatokrit des Patienten abhängen.::
Legenden zu den Abbildungen
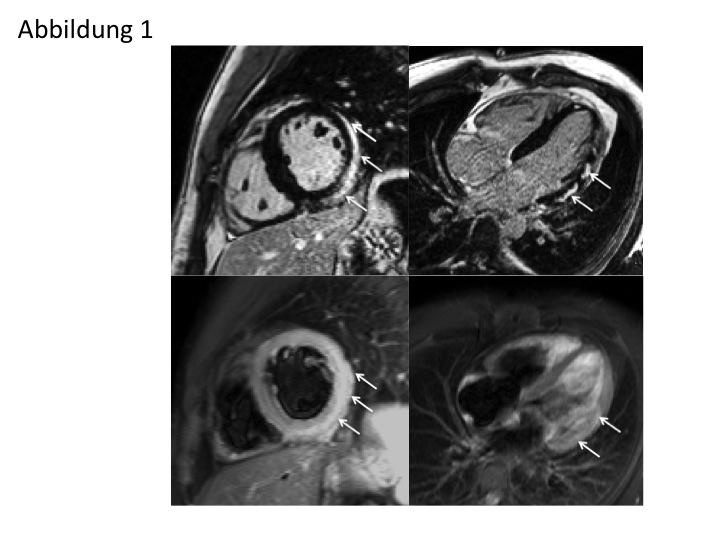
Abb. 1: 29-jähriger Patient mit Infekt der oberen Atemwege. Im Verlauf akute Brustschmerzen, ST-Hebungen im EKG und deutlich erhöhte Herzenzyme, in der Herzkatheteruntersuchung Ausschluss KHK. Jetzt CMR mit der Frage nach Myokarditis. Im LGE (obere Reihe) Nachweis von teils fleckigem, von epikardial ausgehendem LGE (hell, s. Pfeile) ohne Beteiligung der subendokardialen Schichten, Befund typisch für Myokarditis. Darstellung in der kurzen Herzachse (SAX), im Vierkammerblick (4CV). Korrespondierende T2-Sequenzen in der unteren Reihe: Die signalreichen Areale (verlängerten T2-Werten entsprechend) zeigen eine gewisse Übereinstimmung zu den Signalanreicherungen der LGE-Sequenzen in der oberen Reihe, s. Pfeile, lassen sich aber insgesamt deutlich schlechter abgrenzen als in den LGE-Bildern (Foto: Robert-Bosch-Krankenhaus Stuttgart).
Abb. 2: 56-jähriger Patient nach grippalem Infekt, im Verlauf im EKG T-Negativierungen über der Hinterwand und steigende Herzenzyme, keine Angabe von thorakalen Schmerzen oder Luftnot. Zusätzlich deutlich erhöhte Entzündungswerte, jetzt CMR mit Frage nach Myokarditis. In den T2-Sequenzen (Mitte) Signalanhebung im Bereich der Hinterwand bis zur Hinterseitenwand als möglicher Hinweis auf ein Ödem (s. Pfeile), was sich sich bei genauer Betrachtung auch schon in den Cine-Aufnahmen vermuten lässt. Im T1-Mapping vor Kontrastmittelgabe zeigt sich in gelb-orange (Pfeile) ein Gebiet mit verlängerten T1-Werten (s. Skala) welches deutlich über dieses Areal hinausgeht, repräsentativ für ödematöses oder vermehrt durchblutetes Gewebe (Hyperämie) bei akuter Entzündungsreaktion. Im Bereich des Septums grünlich-gelbliche Farbwerte, welche die T1-Werte von gesundem Myokard darstellen. (Abb. mit freundlicher Genehmigung des Springer Verlags, aus Schumm et al. „T1 mapping as new diagnostic technique in a case of acute onset of biopsy-proven viral myocarditis, Clin Res Cardiol DOI 10.1007/s00392-013-0658-y).
Abb. 3: Gleicher Patient wie in Abb. 2. Links dargestellt LGE mit von subepikardial ausgehender Kontrastmittelanreicherung als Zeichen der fokalen Fibrose. Rechts T1-Mapping nach Kontrastmittelgabe, deutlich erkennbar sind die blauen Areale (s. Pfeile), welche gut mit den LGE-Sequenzen korrelieren. Anhand der Skala rechts lässt sich ablesen, dass diese blauen Areale niedrigere T1-Werte repräsentieren als die gesunden (grünen) Areale im Septum. (Abb.mit freundlicher Genehmigung des Springer Verlags, aus Schumm et al. „T1 mapping as new diagnostic technique in a case of acute onset of biopsy-proven viral myocarditis, Clin Res Cardiol DOI 10.1007/s00392-013-0658-y).
Meist gelesen

IT-Infrastruktur: Richtig investieren unter Druck
In vielen Gesundheitseinrichtungen stehen die IT-Verantwortlichen unter Druck.

Pro Care 2026 zeigt innovative Versorgungslösungen aus der Hauswirtschaft
Pflegequalität entsteht nicht nur am Pflegebett, sondern in allen Bereichen des Alltags, die das Leben in einer Einrichtung prägen.

Von der Planung in die Praxis: IS-H-Ablöse in sicheren Händen
Meierhofer zeigt, wie moderne Lösungen für Patientenmanagement und Abrechnung technologisch überzeugen und im Krankenhausalltag funktionieren.

Richtiges Händewaschen: Die Temperatur ist nicht entscheidend
Welchen Einfluss hat die Wassertemperatur, die Waschdauer und die Wassermenge auf das Händewaschen? Zwei Studien der Medizinischen Universität Wien zeigen überraschende Ergebnisse.

Neues Sequenzier-Labor am Krankenhaus Merheim eröffnet
Das Krankenhaus Merheim der Kliniken der Stadt Köln hat am 7. Oktober 2025 offiziell sein neues Sequenzier-Labor in Betrieb genommen – ein bedeutender Schritt in Richtung moderner, personalisierter Krebsmedizin.









