Mikrowellenablation zur Therapie von malignen Tumoren der Lunge



Das neue Gebiet der interventionellen Onkologie fasst Therapieverfahren zusammen, die auf dem interventionell bildgebend gesteuerten Einsatz moderner Therapieverfahren beruhen.
Die Behandlung von malignen Lungentumoren, sowohl dem primären Lungenkarzinom wie auch von Lungenmetastasen, stellt eine große Herausforderung an die Onkologie dar. Auch erweisen sich die herkömmlichen Therapieverfahren wie operative Resektion, die Radiatio und verschiedene Verfahren der Chemotherapie sowie Immuntherapie häufig als limitiert.
Das neue Gebiet der interventionellen Onkologie fasst Therapieverfahren zusammen, die auf dem interventionell bildgebend gesteuerten Einsatz modernen Therapieverfahren beruhen. Darunter gehören Thermoablationsverfahren wie die Lasertherapie (LITT), die Mikrowellenablation (MWA) und die Radiofrequenzablation (RFA). Ergänzt wird das Teilgebiet der interventionellen Onkologie durch Therapieverfahren wie regionale Chemotherapie und Embolisation, dies erfolgt einmal über das Lungengefäßsystem der Vasa privata, über die Bronchialarterien als Bronchialarterienembolisation und auch als Chemoembolisation über das Versorgungsgebiet der pulmonalen Arterien in Form einer pulmonalarteriellen Chemotherapie mit Perfusion, Okklusion und Embolisation (TPCE).
Die Frage der Effizienz minimalinvasiver Therapieverfahren zur Therapie von isolierten Lungenläsionen muss folgende Punkte berücksichtigen:
- Optimiertes technisches Verfahren
- Vergleichende Bewertung Radiofrequenzverfahren versus Mikrowellen-ablation, versus Laserablation
- Optimierte lokale Therapiekontrolle: Vollständige Ablation (A0-Ablation)
- Möglichst geringe Komplikations- und Nebenwirkungsrate
- Einbindung des interventionellen Therapieverfahrens in ein onkologisches Tumorkonzept
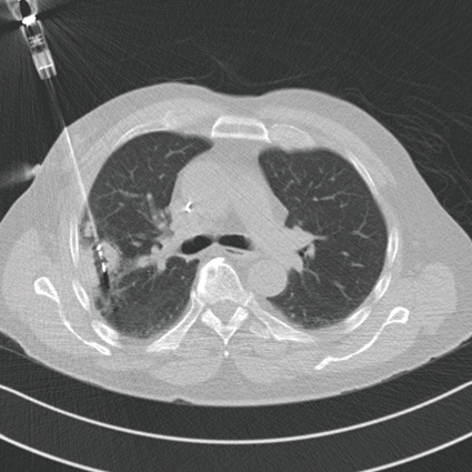
Das neue Verfahren der Mikrowellenablation stellt insgesamt eine Weiterführung der bisherigen Therapiestrategien basierend auf der monopolaren oder bipolaren Radiofrequenztherapie (RFA) dar. Der Vorteil der Mikrowellenablation liegt dabei in der schnelleren Durchführbarkeit, der höheren Effizienz und den fehlenden Limitationen der physikalischen Energieausbreitung wie bei der RFA. Daraus resultiert ein insgesamt höheres Ablationsvolumen und eine verbesserte Therapiekontrolle.
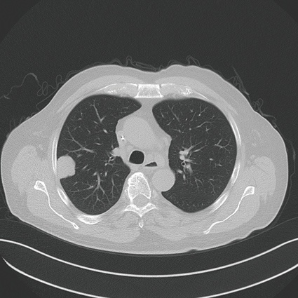
Die Indikationsstellung umfasst derzeit für die percutane Thermoablation mittels Mikrowellenablation Patienten, die nicht mehr resektabel sind, Patienten, die durch die Intervention in eine resektable Situation überführt werden können, die Anzahl der Herde sollte dabei eine Zahl von ≤ 3 nicht überschreiten, die Größe der Herde ≤ 3 max. 4 cm.
Zielsetzung der Mikrowellenablation (und weiteren Ablationstechniken) ist die komplette Destruktion aller vitalen Tumorzellen im Zielvolumen mit einem Sicherheitssaum, Minimierung der Schädigung von Umgebungsstrukturen. Die möglichen Vorteile gegenüber einem chirurgischen Verfahren liegen in der hohen Ortspräzision und dem selektiven Zugangsweg und einer minimal-invasiven Behandlungsstrategie mit tagesstationärer Durchführbarkeit und einer geringeren Belastung des umgebenden normalen Lungenparenchyms. Die Grundlage der Therapie ist dabei die Erzielung einer Temperaturerhöhung intratumoral und in den Sicherheitszonen zwischen 80 und 100 Grad Celsius und geht in der Regel einher mit einer kompletten Destruktion von Zellanteilen wie den Mitrochondrien im Zytoplasma und weiteren Leitstrukturen.
Die Ergebnisse der Lungenablation mittels Mikrowelle können dabei basierend in drei wesentlichen Arbeiten nachgewiesen werden.
Die Arbeit von Wolf 2008 beinhaltete 50 Patienten mit primärem Bronchialkarzinom, 20 mit Metastasen, die lokale Tumorkontrollrate lag bei 74 % bei 10 Monaten follow-up, die Überlebensraten von 1 Jahr bei 65 %, 2 Jahre bei 50 %, 3 Jahre bei 45 %.
In unserer Untersuchungsreihe wurden 80 Patienten therapiert mit 130 Metastasen, die lokale Tumorkontrollrate lag bei einem mittleren Follow-up von 16 Monaten bei 71,1 %, die 2-Jahre-Überlebensdaten waren bei 91,3 % und 75 %.
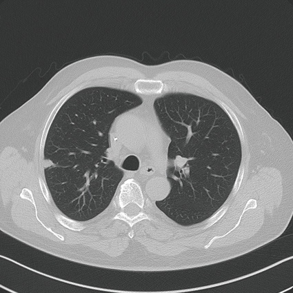
Die besten Daten bezüglich der Ortskontrolle zeigten Lungenmetastasen ≤ 3 cm mit einer möglichst peripheren Lage der Herde.
Zusammenfassend stellt die Mikrowellenablation von primären Lungentumoren (NSCLC) und Lungenmetastasen eine vielversprechende neue Therapietechnik dar bei hoher Effizienz und guten lokalen Ortskontrolldaten im Vergleich zu den bisherigen Verfahren der Radiofrequenzablation und der laserinduzierten Thermotherapie. Insbesondere die Lage eines Herdes und die Größe vor der Ablation bestimmen dabei die lokalen Tumorkontrollergebnisse. Eine Tumorgröße von mehr als 3 cm erweist sich für die thermische Ablation als problematisch. Weitere prospektive Arbeiten müssen sich mit dem Thema der Thermoablation und Korrelation zu chirurgischen Strategien, aber auch anderen Ablationsverfahren auseinandersetzen.
Meist gelesen

Neues Sequenzier-Labor am Krankenhaus Merheim eröffnet
Das Krankenhaus Merheim der Kliniken der Stadt Köln hat am 7. Oktober 2025 offiziell sein neues Sequenzier-Labor in Betrieb genommen – ein bedeutender Schritt in Richtung moderner, personalisierter Krebsmedizin.

Pro Care 2026 - Die Fachmesse für Kliniken und Pflegeeinrichtungen
Pro Care: vom 10.–11. Februar 2026 auf dem Messegelände Hannover: Erleben Sie Digitalisierung, Lösungsansätze zur Entlastung und für die Zukunft der Pflege.

Krebsmedikamente: Wie sich Nebenwirkungen am Auge behandeln lassen
Moderne Krebsmedikamente wie Antikörper-Wirkstoff-Konjugate (ADCs) und Immuntherapien können schwerwiegende Nebenwirkungen am Auge bis hin zur Erblindung verursachen.

ATOS Wiesbaden setzt bei Anästhesie auf besonders schonende und sichere Narkose-Dreifachkombi
Wenn es um das Thema Anästhesie für operative Eingriffe geht, stehen Ärzten unterschiedliche Methoden zur Verfügung. Ein besonders innovatives Verfahren setzt die ATOS Klinik Wiesbaden als eine von wenigen Kliniken seit Jahren standardmäßig ein.

Doppeltes Risiko: Kombination zweier Genvarianten begünstigt Entzündung und Krebs
Kieler Forschungsteam hat zwei Genveränderungen identifiziert, die im Zusammenspiel bei Menschen mit chronischen Darmentzündungen das Risiko für Darmkrebs erhöhen könnten.









