Zwei Millionen Euro für die KI-Forschung der Technomathematik


Künstliche Intelligenz (KI) ist zurzeit einer der dynamischsten Forschungs- und Wirtschaftsbereiche.
Ob es um Sprachassistenzsysteme, Krebsdiagnose oder Autonomes Fahren geht – eine korrekte und leistungsfähige mathematische Basis ist stets die Voraussetzung für neue KI-Lösungen. Die Expertise dafür kommt auch aus der Universität Bremen: Das Zentrum für Technomathematik erhält jetzt zwei Millionen Euro, um in mehreren Projekten als wissenschaftlicher Partner neue KI-Anwendungen zu realisieren.
„Deep Learning“, was auf Deutsch etwa „tiefes Lernen“ oder „vielschichtiges Lernen“ bedeutet, ist ein hochinteressanter Teilbereich der Künstlichen Intelligenz. „Letztlich bezeichnet dieser Begriff eine Technik zum maschinellen Lernen, die durch das Netzwerk von Neuronen im menschlichen Gehirn inspiriert ist“, sagt Dr. Jens Behrmann, Leiter des Arbeitsbereichs Deep Learning der AG Technomathematik im gleichnamigen Zentrum an der Universität Bremen. Was die Forschung auf diesem Gebiet angeht, ist die Expertise der Bremer Uni-Mathematiker sehr gefragt: Das Bundesministerium für Bildung und Forschung (BMBF) und die Klaus-Tschira-Stiftung fördern das Zentrum für Technomathematik (ZeTeM) jetzt mit insgesamt zwei Millionen Euro. In sieben Projekten – angesiedelt in der ZeTeM-Arbeitsgruppe von Professor Peter Maaß – soll mathematische KI-Grundlagenforschung mit konkreter industrieller Anwendbarkeit verbunden werden.
Informationen erkennen und interpretieren
„Beim Deep Learning geht es darum, dass Maschinen Kompetenzen erlernen, und zwar in der gesamten Verarbeitungskette vom Erkennen der Rohinformationen bis zur Interpretation und dem Treffen einer Aussage“, erläutert Dr. Lena Hauberg-Lotte, die ebenfalls im Deep Learning-Bereich arbeitet. „Einfacher ausgedrückt: Die KI wird beispielsweise mit Bildern gefüttert – etwa von einem Verkehrsschild mit chinesischen Schriftzeichen – und liefert dann prompt die deutsche Übersetzung.“ Was heute mit Anwendungen wie dem Google Translator oder dem Übersetzungsprogramm DeepL praktisch reibungslos klappt, fußt auf jahrelangen intensiven KI-Forschungen, auch und gerade von Mathematikerinnen und Mathematikern.
Die Erfolge von Deep Learning sind seit einigen Jahren spürbar und in den Alltag eingezogen – neben der Sprach- und Bildererkennung auch bei der Navigation oder Übersetzungen. Doch die Entwicklung geht unaufhaltsam weiter, „und an einer entscheidenden Stelle mittendrin ist immer die Mathematik mit ihren Algorithmen. Die werden immer spezieller, je schwieriger die Fragestellungen und Anwendungen werden“, so Jens Behrmann. „Damit KI beispielsweise zuverlässig als Assistenz in der Medizin eingesetzt werden kann, müssen die Algorithmen zu 100 Prozent fehlerfrei funktionieren.“ Die Stärken und Schwächen von KI-Lösungen würden sich gerade mit der Sprache der Mathematik sehr gut beschreiben lassen – eine Spezialität des ZeTeM.
Sieben Projekte mit zahlreichen Partnern
Die Bandbreite möglicher KI-Anwendungen ist riesig und wird das menschliche Leben umfassend beeinflussen und verändern. Die Expertise der Bremer Technomathematiker fließt nun in sieben neue Projekte ein, die gemeinsam mit weiteren Partnern aus Wirtschaft und Wissenschaft bearbeitet werden. Zu den Industriepartnern gehören unter anderem EWE, Siemens, Engineering System International, die Deutsche Bahn, Bruker Daltonik, ProteoPath, ProCon X-Ray, atacama blooms und Volkswagen. Zwei Beispiele:
• Im Projekt AGENS („Analytisch-generative Netzwerke zur Systemidentifikation“) arbeitet das Technomathematik-Team gemeinsam mit den Industriepartnern EWE und Siemens sowie Wissenschaftspartnern aus Kaiserslautern und Aschaffenburg an der Voraussage von künftigen Strombedarfen. „Hintergrund ist, dass der regionale Stromanbieter EWE mit Sitz in Oldenburg täglich den voraussichtlichen Strombedarf seiner mittelständischen Kunden bei den Netzbetreibern anmelden muss“, erläutert Jens Behrmann. „Das sind mehrere tausend Unternehmen und mehrere Gigawatt, um die es geht.“ Aufgrund des immer größeren Anteils erneuerbarer Energie ist der Strommarkt sehr schwankend geworden, so dass für einen sicheren Betrieb möglichst genaue Hochrechnungen erforderlich sind. Dazu werden im Projekt AGENS neue KI-Modelle entwickelt, die unzählige Daten aus Vergangenheit und Zukunft (etwa bisheriger Verbrauch, Wettervorhersage, Lastspitzen) miteinander verknüpfen und daraus eine belastbare Prognose ableiten.
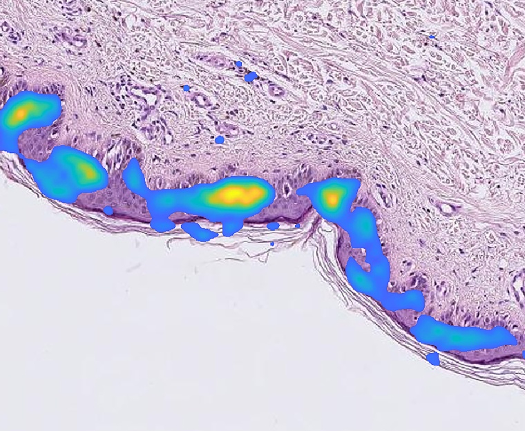
Wie KI Ärzte bei der Krebsdiagnose entlastet
• In einem Vorhaben mit dem Namen SPA+ („Small Data Probleme in der digitalen Pathologie und programmbegleitende Maßnahmen“) geht es um verschiedene Ansätze, bei der KI in der Krebsdiagnostik als Assistenzsystem für Ärztinnen und Ärzte in der digitalen Pathologie wirken soll. „Momentan beurteilen die Ärzte die hochaufgelösten digitalen Bilder von entnommenem Gewebe in der Regel auf sehr großen Bildschirmen oder direkt unter dem Mikroskop – eins nach dem anderen, den ganzen Tag“, so Lena Hauberg-Lotte. Eine aufwändige und ermüdende Arbeit. KI-Programme sollen dabei helfen, die für die Beurteilenden wichtigen Bereiche herauszufiltern. „Hier geht es darum, die Routine durch KI erledigen zu lassen. Die Expertinnen und Experten erhalten so mehr Zeit für die eigentliche Sichtung und Einschätzung der kritischen Erkrankungen.“ Projektpartner sind bei SPA+ das Bremer Unternehmen Bruker Daltonik, die Firma ProteoPath aus Trier und die Universitäten Oldenburg und Siegen.
Meist gelesen

Neues Sequenzier-Labor am Krankenhaus Merheim eröffnet
Das Krankenhaus Merheim der Kliniken der Stadt Köln hat am 7. Oktober 2025 offiziell sein neues Sequenzier-Labor in Betrieb genommen – ein bedeutender Schritt in Richtung moderner, personalisierter Krebsmedizin.

"Die Quellensuche war eine Herausforderung“
Am Universitätsklinikum Frankfurt am Main trat 2023 eine systemische P. aeruginosa Trinkwasserkontamination auf. Als wahrscheinliche Kontaminationsquelle wurde ein Wasserzähler identifiziert.

Richtiges Händewaschen: Die Temperatur ist nicht entscheidend
Welchen Einfluss hat die Wassertemperatur, die Waschdauer und die Wassermenge auf das Händewaschen? Zwei Studien der Medizinischen Universität Wien zeigen überraschende Ergebnisse.

Pro Care 2026 - Die Fachmesse für Kliniken und Pflegeeinrichtungen
Pro Care: vom 10.–11. Februar 2026 auf dem Messegelände Hannover: Erleben Sie Digitalisierung, Lösungsansätze zur Entlastung und für die Zukunft der Pflege.

So hilft KI im OP-Management
Forscher wollten herausfinden, wie KI das OP-Management optimieren kann.










