Siemens Healthineers

Henkestr. 127
91052 Erlangen
Deutschland

Kontakt WebSite

Beiträge

Siemens Healthineers fördert Forschung am Uniklinikum Erlangen
AnzeigeNewsUnternehmen

Siemens Healthineers fördert Forschung am Uniklinikum Erlangen

Siemens Healthineers wird über die nächsten fünf Jahre mit der neuen Namensstiftung „Foundation for Sustainable Healthcare“ die Forschung am Uniklinikum Erlangen mit einer Zuwendung von 250.000 Euro unterstützen.

Siemens Healthineers präsentiert neue Angiographiesysteme mit KI
AnzeigeProdukteMedizintechnik

Siemens Healthineers präsentiert neue Angiographiesysteme mit KI

Auf dem diesjährigen Europäischen Radiologiekongress stellt Siemens Healthineers seine neueste Innovation im Bereich der interventionellen Radiologie vor.

Neues Analysesystem vereinfacht Drogentests

Neues Analysesystem vereinfacht Drogentests

Das neue Atellica DT 250 Analysesystem von Siemens Healthineers erleichtert die Durchführung von Drogentests und die Bestimmung von Medikamentenspiegeln.

Rollout des Infection Control System im KRH Klinikum Siloah

Rollout des Infection Control System im KRH Klinikum Siloah

Der nächste Meilenstein des Projekts ist erreicht.

Partnerschaft im Bereich robotergestützter neurovaskulärer Eingriffe

Partnerschaft im Bereich robotergestützter neurovaskulärer Eingriffe

Siemens Healthineers und Stryker haben eine strategische Partnerschaft auf dem Gebiet der neurovaskulären Robotik abgeschlossen.

Cook Medical und Siemens Healthineers schließen strategische Partnerschaft

Cook Medical und Siemens Healthineers schließen strategische Partnerschaft

Cook Medical und Siemens Healthineers geben eine strategische Partnerschaft bekannt, die darauf abzielt, einen neuen Standard in der interventionellen Medizin zu etablieren.

Siemens Healthineers modernisiert gesamten Ultraschall-Gerätepark im Klinikum Erding

Siemens Healthineers modernisiert gesamten Ultraschall-Gerätepark im Klinikum Erding

Siemens Healthineers hat mit dem Klinikum Landkreis Erding eine Technologiepartnerschaft im Bereich Ultraschallgeräte abgeschlossen.

Siemens Healthineers und Prisma Health erweitern Partnerschaft

Siemens Healthineers und Prisma Health erweitern Partnerschaft

Siemens Healthineers und Prisma Health, mit Sitz in Greenville, USA, erweitern ihre bestehende Zusammenarbeit in Form einer Value Partnership, um den Standard von Krebsversorgung in South Carolina und Tennessee anzuheben.

Hightech in Höhenlage: Erlanger MRT erreicht die Anden

Hightech in Höhenlage: Erlanger MRT erreicht die Anden

Von Gewinnern des Deutschen Zukunftspreises gespendetes Gerät in peruanischem Krankenhaus angekommen – drei Teams des Uniklinikums helfen in Südamerika.

Gebündelte Kräfte

Gebündelte Kräfte

Siemens Healthineers und die European Society of Radiology treten gemeinsam für eine nachhaltige Radiologie ein.

Siemens Healthineers präsentiert Lösungen für mobile Schlaganfalleinheiten

Siemens Healthineers präsentiert Lösungen für mobile Schlaganfalleinheiten

Siemens Healthineers stellt seine neue mobile Lösung für die Schlaganfalldiagnose vor, die zeitkritische Therapieentscheidungen beschleunigt und Patientinnen und Patienten schnellstmöglich die richtige Behandlung zukommen lässt.

Siemens Healthineers und die ASRT weiten globale Ausbildungspartnerschaft aus

Siemens Healthineers und die ASRT weiten globale Ausbildungspartnerschaft aus

Siemens Healthineers und die American Society of Radiologic Technologists (ASRT) werden eine bestehende Partnerschaft ausweiten, um erstmals weltweit ein qualitativ hochwertiges Training für Radiologieassistentinnen- und assistenten in unterversorgten Ländern anbieten zu können.

Assistance Publique-Hôpitaux de Paris und Siemens Healthineers unterzeichnen Kooperationsvereinbarung

Assistance Publique-Hôpitaux de Paris und Siemens Healthineers unterzeichnen Kooperationsvereinbarung

Siemens Healthineers und Assistance Publique - Hôpitaux de Paris (AP-HP) haben einen globalen Rahmenvertrag unterzeichnet und damit einen Meilenstein in ihrer Zusammenarbeit gesetzt.

Zukunftspreis-Gewinner 2023 spenden MRT-System an Klinik in Peru

Zukunftspreis-Gewinner 2023 spenden MRT-System an Klinik in Peru

Die Gewinner des Zukunftspreises 2023 werden ihr Preisgeld dafür einsetzen, den von ihnen entwickelten Magnetom Free.Star Scanner an ein gemeinnütziges Krankenhaus in Apurímac im Süden Perus zu spenden, um die Gesundheitsversorgung dort zu verbessern.

Siemens Healthineers erweitert Alzheimer-Software um zwei neue Analysefunktionen

Siemens Healthineers erweitert Alzheimer-Software um zwei neue Analysefunktionen

Siemens Healthineers hat die CE-Kennzeichnung für zwei neue Funktionen der syngo.PET Cortical Analysis Software erhalten. Mittels Positronen-Emissions-Tomographie (PET) können Proteinablagerungen im Gehirn gemessen werden, die im Zusammenhang mit der Alzheimer-Krankheit stehen.

Mit technischer Innovation zu einer „frühen Gewissheit“

Mit technischer Innovation zu einer „frühen Gewissheit“

Als eine der ersten Praxen in Deutschland setzt die Radiologie Brüderweg das neue Mammographie-Gerät MAMMOMAT B.brilliant in der Brust-Diagnostik ein.

CE-Zertifizierung für Neurofilament-Leichtketten-Bluttests bei Multipler Sklerose

CE-Zertifizierung für Neurofilament-Leichtketten-Bluttests bei Multipler Sklerose

Siemens Healthineers ist ein wichtiger Schritt gelungen, um einen Bluttest für die Behandlung von Multipler Sklerose (MS) auf den Markt zu bringen.

Leistungsstarkes, energieeffizientes PET/CT-System

Leistungsstarkes, energieeffizientes PET/CT-System

Siemens Healthineers stellt mit dem Biograph Trinion ein leistungsstarkes, energieeffizientes PET/CT-System (Positronenemissionstomographie/Computertomographie) vor.

Siemens Healthineers und World Stroke Organization arbeiten zusammen

Siemens Healthineers und World Stroke Organization arbeiten zusammen

Siemens Healthineers und die World Stroke Organization (WSO) haben eine zweijährige Partnerschaft bekannt gegeben, um Fachkräfte im Bereich der Akutversorgung von Schlaganfällen weiterzubilden und die Behandlung von Schlaganfällen insgesamt zu verbessern.

Siemens Healthineers stellt neue kardiologische Anwendungen für Ultraschallsystem Acuson Sequoia vor

Siemens Healthineers stellt neue kardiologische Anwendungen für Ultraschallsystem Acuson Sequoia vor

Siemens Healthineers hat neue, durch künstliche Intelligenz (KI) gestützte kardiologische Anwendungen für sein Ultraschallsystem Acuson Sequoia sowie einen neuen transösophagealen (TEE) 4D-Schallkopf für kardiologische Untersuchungen entwickelt.

Selbstfahrender C-Bogen Ciartic Move für schnellere Bildgebung im Operationssaal

Selbstfahrender C-Bogen Ciartic Move für schnellere Bildgebung im Operationssaal

Siemens Healthineers hat ein automatisiertes, selbstfahrendes C-Bogen-System für die intraoperative Bildgebung in der Chirurgie entwickelt.

Einsatz von generativer KI in der Radiologie

Einsatz von generativer KI in der Radiologie

In einer wachsenden Zahl medizinischer Bereiche hat KI bereits Einzug gehalten und unterstützt Mediziner bei der Datenanalyse und bei Diagnosen.

Klare Antworten beim Brustkrebs Screening

Klare Antworten beim Brustkrebs Screening

Das Mammographie Zentrum Hannover war eine der ersten Praxen, die das neue Mammographie-System Mammomat B.brilliant installiert und getestet hat.

Cinematic Reality-App für Apple Vision Pro

Cinematic Reality-App für Apple Vision Pro

Siemens Healthineers hat eine App für Apple Vision Pro auf den Markt gebracht, die es Nutzern ermöglicht, immersive, interaktive Hologramme des menschlichen Körpers, die durch medizinische Scans erfasst wurden, in der realen Umgebung zu betrachten.

Mehr Nachhaltigkeit und Effizienz in der Magnetresonanztomographie

Mehr Nachhaltigkeit und Effizienz in der Magnetresonanztomographie

Siemens Healthineers präsentiert in Wien Magnetom Flow, seine erste 1,5-Tesla-Plattform für die Magnetresonanztomographie mit geschlossenem Heliumkreislauf und ohne Quenchrohr.

Siemens Healthineers baut Partnerschaft mit City Cancer Challenge aus

Siemens Healthineers baut Partnerschaft mit City Cancer Challenge aus

Siemens Healthineers und City Cancer Challenge (C/Can) erweitern langfristig den geografischen und technologischen Umfang ihrer Partnerschaft.

Mit Photon-Counting-Technologie 1 Milliarde Patienten erreichen

Mit Photon-Counting-Technologie 1 Milliarde Patienten erreichen

Siemens Healthineers will innerhalb des nächsten Jahrzehnts 1 Milliarde Patienten mit Photon-Counting Computertomographen scannen und damit seine hochmoderne Bildgebung für immer mehr Menschen zugänglich machen.

KI-gestützte Anwendungen optimieren Effizienz von Allround-Ultraschallgerät

KI-gestützte Anwendungen optimieren Effizienz von Allround-Ultraschallgerät

Siemens Healthineers stellt mit dem Acuson Maple ein leistungsstarkes, vielseitiges und kostengünstiges Ultraschallsystem vor, das schnelle Diagnose und Beurteilung in allen klinischen Umgebungen ermöglicht.

Hochautomatisiertes interdisziplinäres Diagnostik- und Analysezentrum

Hochautomatisiertes interdisziplinäres Diagnostik- und Analysezentrum

Siemens Healthineers und das Städtische Klinikum Braunschweig haben einen Vertrag über eine zehnjährige Partnerschaft für das neue interdisziplinäre Diagnostik- und Analysezentrum (IDA) unterzeichnet.

Belfast Health and Social Care Trust und Siemens Healthineers verkünden 20-jährige Value Partnership

Belfast Health and Social Care Trust und Siemens Healthineers verkünden 20-jährige Value Partnership

Das Royal Victoria Hospital (RVH), Teil des Belfast Health and Social Care Trust, und Siemens Healthineers haben eine 20-jährige Vereinbarung über mehrere Millionen Euro angekündigt, die klinische Arbeitsabläufe optimieren und die Patientenversorgung in Belfast, Nordirland, und Umgebung verbessern soll.

Mammographiesystem mit grundlegend neuer Aufnahmetechnik

Mammographiesystem mit grundlegend neuer Aufnahmetechnik

Auf dem jährlichen Kongress der European Society of Breast Imaging vom 28. bis 30. September 2023 in Valencia, stellt Siemens Healthineers mit Mammomat B.brilliant ein neues Mammographiesystem mit Weitwinkel-Tomosynthese vor.

SSM Health und Siemens Healthineers fördern Zugang zur Gesundheitsversorgung und Ausbildung

SSM Health und Siemens Healthineers fördern Zugang zur Gesundheitsversorgung und Ausbildung

SSM Health und Siemens Healthineers geben eine strategische Partnerschaft mit einer Laufzeit von 10 Jahren bekannt. Ziel ist, den Zugang zu hochwertiger Gesundheitsversorgung zu verbessern und die nächste Generation von Mitarbeitern im Gesundheitswesen auszubilden.

Siemens Healthineers eröffnet Innovation Center in Erlangen

Siemens Healthineers eröffnet Innovation Center in Erlangen

Siemens Healthineers hat sein neues Innovationszentrum am Standort Erlangen im Herzen des Medizintechnik-Clusters Medical Valley eröffnet.

Cybersecurity: Medigate by Claroty und Siemens Healthineers schließen strategische Partnerschaft

Cybersecurity: Medigate by Claroty und Siemens Healthineers schließen strategische Partnerschaft

Ziel ist es, Einrichtungen des Gesundheitswesens durch eine Kombination aus Software, Managed Services und dem Austausch von Sicherheitsdaten medizinischer Geräte vor Cyberangriffen zu schützen und so die Zuverlässigkeit der Patientenversorgung zu erhöhen.

Siemens Healthineers eröffnet in Erlangen modernes Aus- und Weiterbildungszentrum

Siemens Healthineers eröffnet in Erlangen modernes Aus- und Weiterbildungszentrum

Siemens Healthineers eröffnet sein neues Aus- und Weiterbildungszentrum in Erlangen. Das offen gestaltete Gebäude bietet Platz für die derzeit 240 Auszubildenden und dual Studierenden in Erlangen und Forchheim. Zusätzlich finden hier Schulungen von Kunden und eigenen Fachkräften statt, etwa 150 Teilnehmer und Anwender können täglich an medizintechnischen Geräten trainiert werden.

Energie-, Kosten- und Emissionsreduzierung beim Betrieb von MRT-Systemen

Energie-, Kosten- und Emissionsreduzierung beim Betrieb von MRT-Systemen

Die Forschungspartnerschaft von Siemens, Siemens Healthineers und der University of California, San Francisco, hat nachgewiesen, dass medizinische Zentren erhebliche Einsparungen bei den Emissionen und Kosten erzielen können, wenn sie nicht in Betrieb befindliche MRT-Systeme ausschalten oder den Modus mit dem geringsten Energieverbrauch einschalten.

OEM-Vertrag für Hämostase-Instrumente und -Reagenzien

OEM-Vertrag für Hämostase-Instrumente und -Reagenzien

Aufbauend auf einer mehr als 25-jährigen Partnerschaft wollen Siemens Healthineers und Sysmex jeweils eines der größten Portfolios an Hämostase-Analysesystemen und -Reagenzien für Labore anbieten.

Innovationen in den Bereichen Workflow, Eindringtiefe und quantitativer Ultraschall

Innovationen in den Bereichen Workflow, Eindringtiefe und quantitativer Ultraschall

Siemens Healthineers stellt die Weiterentwicklung seiner Acuson Sequoia Flaggschiff-Serie auf dem diesjährigen European Congress of Radiology (ECR) in Wien vor.

Siemens Healthineers und Unilabs starten strategische Partnerschaft

Siemens Healthineers und Unilabs starten strategische Partnerschaft

Siemens Healthineers und Unilabs haben einen mehrjährigen Vertrag im Wert von über 200 Millionen Euro bekanntgegeben. Unilabs hat in Spitzentechnologie von Siemens Healthineers investiert und erwirbt mehr als 400 Laboranalysegeräte, um seine Laborinfrastruktur weiter zu verbessern und seinen Kundinnen und Kunden hochqualitativen Service zu bieten.

Gleichberechtigter Zugang zu besseren Gesundheitsleistungen

Gleichberechtigter Zugang zu besseren Gesundheitsleistungen

Siemens Healthineers und Atrium Health wollen die Personalentwicklung stärken sowie den Zugang zu Gesundheitsversorgung in ländlichen und unterversorgten Gebieten verbessern.

High-End-MRTs für Forschung und klinische Routine

High-End-MRTs für Forschung und klinische Routine

Siemens Healthineers präsentiert auf der Siemens Healthineers Shape 23 Keynote seine beiden neuesten Magnetresonanztomographen für den klinischen und Forschungseinsatz: Magnetom Cima.X mit 3T Feldstärke und Magnetom Terra.X1 mit 7T.

Technologiepartnerschaft mit kommunalem Gesundheitsdienstleister

Technologiepartnerschaft mit kommunalem Gesundheitsdienstleister

Siemens Healthineers wird Anregiomed im Rahmen der Technologiepartnerschaft über die kommenden zehn Jahre an allen Standorten mit notwendigen medizintechnischen Geräten und Systemen für die bildgebende Diagnostik und die bildgestützte Intervention ausstatten, warten und über die Laufzeit auf dem neusten Stand der Technik halten.

Digitale Plattformen im Gesundheitswesen

Digitale Plattformen im Gesundheitswesen

Best Practices aus Deutschland, Österreich, Liechtenstein und der Schweiz

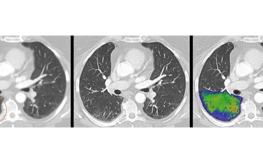
Lungenkrebs: Früh erkennen, Leben retten

Lungenkrebs: Früh erkennen, Leben retten

Lungenkrebs ist häufig, und Lungenkrebs ist tödlich. Wer die Erkrankung früh erkennt, kann viele Leben retten und viel Leid verhindern. Worauf warten wir noch?

Multi-Center Studie Spinners vergleicht diagnostische Genauigkeit von Flachdetektor- und Mehrschicht-CT

Multi-Center Studie Spinners vergleicht diagnostische Genauigkeit von Flachdetektor- und Mehrschicht-CT

Bei Spinners handelt es sich um eine Multi-Center Studie, die von Prof. Marios-Nikos Psychogios vom Universitätsspital Basel, Schweiz, und Dr. Adam S. Arthur, University of Tennessee Health Sciences Center and Semmes-Murphey Clinic, Memphis, USA, ins Leben gerufen wurde.

Einstieg in die volldigitale Röntgenbildgebung

Einstieg in die volldigitale Röntgenbildgebung

Im Rahmen des diesjährigen European Congress of Radiology (ECR) in Wien stellt Siemens Healthineers sein bisher preisgünstigstes Röntgensystem vor, das entwickelt wurde, um einen breiteren Zugang zur Versorgung zu ermöglichen.

Deep-Resolve-Technologien verkürzen MRT-Untersuchung

Deep-Resolve-Technologien verkürzen MRT-Untersuchung

Siemens Healthineers beschleunigt und verbessert die Magnetresonanztomographie durch künstliche Intelligenz.

Kompletter Workflow direkt am Patientenbett

Kompletter Workflow direkt am Patientenbett

Siemens Healthineers präsentiert auf dem diesjährigen European Congress of Radiology (ECR) in Wien sein neuestes mobiles Röntgensystem: Mobilett Impact [1].

Einzelphotonen-Emissions-Computertomographie

Einzelphotonen-Emissions-Computertomographie

Siemens Healthineers bietet mit dem neuen Symbia Pro.specta ein System für Einzelphotonen-Emissions-Computertomographie/ Computertomographie (SPECT/CT) mit fortschrittlichen SPECT- und CT-Bildgebungsfunktionen.

Tumor-Embolisation mit größtmöglicher Präzision

Tumor-Embolisation mit größtmöglicher Präzision

Siemens Healthineers stellt das deckengehängte Angiographie-System Artis icono ceiling für präzise Tumor-Embolisation vor.

Siemens Healthineers auf dem Hauptstadtkongress 2022

Siemens Healthineers auf dem Hauptstadtkongress 2022

Als eines der führenden Unternehmen der Medizintechnik unterstützt Siemens Healthineers mit den Regionalgesellschaften Gesundheitsversorger weltweit dabei, auf ihrem Weg hin zum Ausbau der Präzisionsmedizin, der Neugestaltung der Gesundheitsversorgung, der Verbesserung der Patientenerfahrung und der Digitalisierung des Gesundheitswesens mehr zu erreichen.

Wie können Prozesse in der Gesundheitsversorgung optimiert werden?

Wie können Prozesse in der Gesundheitsversorgung optimiert werden?

Digitale Tools wie RealTime Location Solutions (RTLS) gewinnen während der Pandemie verstärkt an Bedeutung.

Für eine vernetzte Versorgung. Gemeinsam.

Für eine vernetzte Versorgung. Gemeinsam.

Siemens Healthineers zeigt auf der diesjährigen DMEA verschiedene Perspektiven zu den Herausforderungen und Lösungsansätzen für die digitale Transformation des Gesundheitswesens.

Siemens Healthineers investiert in den Fertigungsstandort Kemnath

Siemens Healthineers investiert in den Fertigungsstandort Kemnath

Siemens Healthineers wird bis 2025 für insgesamt rund 60 Mio. Euro den bayerischen Standort Kemnath ausbauen und modernisieren. Dadurch werden auch bis zu 50 neue Arbeitsplätze entstehen.

Spezielle Detektoren für kardiovaskuläre Eingriffe

Spezielle Detektoren für kardiovaskuläre Eingriffe

Herz-Kreislauf-Erkrankungen sind die weitaus häufigste Todesursache weltweit. Daher baut Siemens Healthineers sein Portfolio im Bereich der Kardiologie weiter aus. Die neueste Innovation ist Artis icono biplane, ein Angiografie-System mit in der Größe für kardiologische Interventionen optimierte Detektoren.

Siemens Healthineers und UNICEF starten Partnerschaft für Subsahara-Afrika

Siemens Healthineers und UNICEF starten Partnerschaft für Subsahara-Afrika

Siemens Healthineers und das Kinderhilfswerk der Vereinten Nationen UNICEF haben eine Partnerschaft zur Stärkung fragiler Gesundheitssysteme in Subsahara-Afrika bekannt gegeben, um den Zugang zu medizinischer Diagnostik und die Verknüpfung mit entsprechenden Behandlungen zu verbessern.

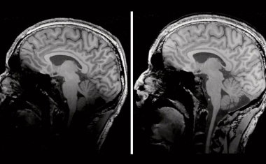
Jens Frahm mit Werner-von-Siemens-Ring ausgezeichnet

Jens Frahm mit Werner-von-Siemens-Ring ausgezeichnet

Der Physiker Prof. Dr. Jens Frahm erhält den 39. Werner-von-Siemens-Ring für sein herausragendes Lebenswerk in der medizintechnischen Forschung. Seine Arbeit zur Magnetresonanztomografie, kurz MRT, hat die diagnostische Bildgebung entscheidend vereinfacht.

SARS-CoV-2-Testportfolio erkennt die Omikron-Variante

SARS-CoV-2-Testportfolio erkennt die Omikron-Variante

Die SARS-CoV-2 Tests von Siemens Healthineers sind gut dafür geeignet, Infektionen durch die SARS-CoV-2 Omikron-Variante nachzuweisen. Das Unternehmen hat kürzlich die Zuverlässigkeit des Clinitest Rapid COVID-19 Antigen Tests, des FTD SARS-CoV-2 PCR Assays und des Atellica IM/ADVIA Centaur SARS-CoV-2 Antigen (CoV2Ag) Assays gegen die Omikron-Variante bewertet.

CT-Scanner mit  Photonenzählung

CT-Scanner mit Photonenzählung

Siemens Healthineers bringt weltweit den ersten CT-Scanner mit Photonenzählung auf den Markt.

MRT-Bildgebung mit kosteneffizientem Ganzkörper-Scanner

MRT-Bildgebung mit kosteneffizientem Ganzkörper-Scanner

Siemens Healthineers stellt mit Magnetom Free.Star einen kosteneffizienten Ganzkörper-MRT-Scanner vor, der weltweit einen deutlich besseren Zugang zur Magnetresonanztomographie ermöglichen soll. Gemeinsam mit Magnetom Free.Max gehört Magnetom Free.Star zu einer neuen Generation von Scannern, die mit digitalen Technologien eine exzellente Bildqualität erzielen.

CT-Scanner mit Photonenzählung

CT-Scanner mit Photonenzählung

Mit Naeotom Alpha präsentiert Siemens Healthineers den weltweit ersten quantenzählenden CT-Scanner. Das System ist in den USA und Europa für den klinischen Einsatz zugelassen.

Photon-Counting-Computertomograph erhält FDA 510(k)-Zulassung

Photon-Counting-Computertomograph erhält FDA 510(k)-Zulassung

Siemens Healthineers gibt bekannt, dass Naeotom Alpha, der weltweit erste Photon-Counting-Computertomograph (CT), die 510(k)-Zulassung durch die US-amerikanische Food and Drug Administration (FDA) erhalten hat.

Fluoroskopiesystem mit vielen High-End-Funktionen

Fluoroskopiesystem mit vielen High-End-Funktionen

Mit Luminos Impulse präsentiert Siemens Healthineers ein Fluoroskopiesystem mit einem neuen Design, das zahlreiche Funktionen umfasst, die von High-End-Systemen bekannt sind – etwa eine nahtlose Bildgebungskette, umfassende Dosisoptimierung, Cybersicherheitsfunktionen und Detektor-Sharing für Radiographie.

SARS-CoV-2-Varianten: Siemens Healthineers und A1 Life Science unterstützen Nachverfolgung

SARS-CoV-2-Varianten: Siemens Healthineers und A1 Life Science unterstützen Nachverfolgung

Siemens Healthineers gab heute eine Zusammenarbeit mit A1 Life Sciences bekannt, um die globalen Bemühungen zur Nachverfolgung von SARS-CoV-2-Varianten voranzubringen.

Vertrieb der Sysmex Hämostase-Systeme CN-3000 und CN-6000 gestartet

Vertrieb der Sysmex Hämostase-Systeme CN-3000 und CN-6000 gestartet

Für Labore in Deutschland mit mittlerem und hohem Probenvolumen bietet Siemens Healthineers ab sofort die Hämostase-Systeme Sysmex CN-3000 und CN-6000 an.

Siemens Healthineers erweitert KI-basierte Software für klinische Entscheidungen im Bereich Lungenkrebs

Siemens Healthineers erweitert KI-basierte Software für klinische Entscheidungen im Bereich Lungenkrebs

Auf der Healthcare Information and Management Systems Society Global Health Conference 2021 wurde ein zweiter Pathway für den AI-Pathway Companion präsentiert.

Partnerschaft von TeamViewer und Siemens Healthineers

Partnerschaft von TeamViewer und Siemens Healthineers

Die Partnerschaft von TeamViewer und Siemens Healthineers ermöglicht neuen Remote-Scanning-Service WeScan für diagnostische Bildgebung.

Protis IT-Software für Windows 10 verfügbar

Protis IT-Software für Windows 10 verfügbar

Die Protis Software zur Unterstützung der klinischen Entscheidungsfindung dient der Erstellung konsolidierter Befunde und leistet Hilfestellung bei klinischen Entscheidungen durch die Zusammenführung der Ergebnisse verschiedener Analysesysteme in einem Bericht.

Siemens Healthineers baut digitale Gesundheitsplattform aus

Siemens Healthineers baut digitale Gesundheitsplattform aus

Siemens Healthineers zeigt auf der DMEA, der Leitmesse für die digitale Gesundheitsversorgung in Europa, neue, digitale Angebote auf der Gesundheitsplattform Teamplay Digital Health Platform Connect.

Neuer CT-Scanner für schnelle Diagnose und präzise Interventionen

Neuer CT-Scanner für schnelle Diagnose und präzise Interventionen

Siemens Healthineers stellt mit Somatom X.ceed einen neuen, hochauflösenden Hochgeschwindigkeits-CT-Scanner vor. Dieser ist speziell für besonders anspruchsvolle klinische Einsätze konzipiert, bei denen Zeit und Präzision essenziell sind.

Befundinformationen mit bildbasierten Informationen verknüpfen

Befundinformationen mit bildbasierten Informationen verknüpfen

Die Befundungsoftware SmartReports des HealthTech-Unternehmens Smart Reporting wird Bestandteil von Syngo Carbon, einer modularen, abteilungsübergreifenden Softwareumgebung von Siemens Healthineers, die alle Arten von Bild- und Befunddaten patientenzentriert verwaltet sowie darstellt und im Klinikalltag für mehr diagnostische Sicherheit, weniger Redundanz und mehr Effizienz sorgt.

Beschleunigte Herzinfarktdiagnose mit Atellica VTLi

Beschleunigte Herzinfarktdiagnose mit Atellica VTLi

Kürzere Triage-Zeiten für Patienten mit Herzinfarktsymptomen tragen zu verbesserter Behandlung bei und reduzieren die Belastung von Notaufnahmen.

Wie entwickelt sich die Pflege in Deutschland, was sind aktuelle Themen und was sind die Lösungen von morgen?

Wie entwickelt sich die Pflege in Deutschland, was sind aktuelle Themen und was sind die Lösungen von morgen?

Gerade im Bereich der Pflege, zeichnet sich seit vielen Jahren ein Fachkräftemangel ab.

Siemens Healthineers stellt neue Lösungen für die Optimierung von Mammographie-Workflows vor

Siemens Healthineers stellt neue Lösungen für die Optimierung von Mammographie-Workflows vor

Mit Mammovista B.smart stellt Siemens Healthineers eine neue Softwarelösung vor, die den gesamten Workflow für die Befundung von Brustbildern beschleunigt.

Siemens Healthineers bietet Antigentest für Hochdurchsatz-Laborsysteme an

Siemens Healthineers bietet Antigentest für Hochdurchsatz-Laborsysteme an

Wie Siemens Healthineers bekannt gab, hat der SARS-CoV-2-Antigentest (CoV2Ag) für den Laborgebrauch jetzt die CE-Zertifizierung erhalten und steht für die Analysesysteme Atellica Solution und ADVIA Centaur zur Verfügung, die in zahlreichen Laboren weltweit im Einsatz sind.

Partnerschaft für bessere Gesundheitsversorgung: Manchester University NHS Foundation Trust und Siemens Healthineers

Partnerschaft für bessere Gesundheitsversorgung: Manchester University NHS Foundation Trust und Siemens Healthineers

Value Partnership soll die Gesundheitsversorgung im Großraum Manchester ausbauen und verbessern

Digitalisierung des deutschen Gesundheitswesens

Digitalisierung des deutschen Gesundheitswesens

Siemens Healthineers und IBM kooperieren bei der digitalen Vernetzung für das Gesundheitssystem in Deutschland.

Neuer mobiler C-Bogen Cios Flow von Siemens Healthineers

Neuer mobiler C-Bogen Cios Flow von Siemens Healthineers

Anlässlich der diesjährigen Jahrestagung der Radiological Society of North America (RSNA 2020) stellt Siemens Healthineers Cios Flow vor. Der mobile C-Bogen wurde entwickelt, um speziell die alltäglichen Abläufe in der Bildgebung für chirurgische Eingriffe einfacher und effizienter zu gestalten.

Unternehmensweite Softwareumgebung für die klinische Bild- und Befunderstellung

Unternehmensweite Softwareumgebung für die klinische Bild- und Befunderstellung

Siemens Healthineers stellt mit Syngo Carbon den einfachen Zugang zu allen relevanten Daten sicher, die im Rahmen der Bild- und Befunderstellung entstehen.

Siemens Healthineers: Kleinstes und leichtestes Ganzkörper-MRT

Siemens Healthineers: Kleinstes und leichtestes Ganzkörper-MRT

Siemens Healthineers stellt mit Magnetom Free.Max1 eine neue Klasse von Magnetresonanztomographen (MRT) vor, die das Unternehmen als „High-V MRI“ bezeichnet.

Bessere Behandlungsergebnisse

Bessere Behandlungsergebnisse

Siemens Healthineers präsentiert das PET/CT-System Biograph Vision Quadra mit größerem axialen Gesichtsfeld.

Antigen-Schnelltest zum Nachweis von SARS-CoV-2

Antigen-Schnelltest zum Nachweis von SARS-CoV-2

Siemens Healthineers bringt einen Antigen-Schnelltest zum Nachweis von SARS-CoV-2 auf den Markt.

Ihr Zugang zu radiologischer Expertise

Ihr Zugang zu radiologischer Expertise

Qualitativ hochwertige Befundung 24/7 trotz steigender Arbeitsbelastung in der Radiologie? Wie das geht, lesen Sie hier.

Aufnahmevorbereitung mit KI unterstützt

Aufnahmevorbereitung mit KI unterstützt

Siemens Healthineers stellt mit Ysio X.pree das weltweit erste intelligente Röntgensystem vor, das mit integrierter KI die Erstellung von Röntgenaufnahmen und damit die tägliche Routine optimiert.