Kranke Herzmuskeln bestmöglich erkennen und behandeln
Eine Studie mit 26 europäischen Zentren liefert neue Erkenntnisse zu Verlauf und Prognose einer schweren Myokarditis.


Eine multizentrische Studie unter der Koordination des Universitätsklinikums Bonn (UKB) mit 26 europäischen Zentren liefert neue Erkenntnisse zum Krankheitsverlauf, zur Prognoseabschätzung und zu den Risikofaktoren einer schweren Myokarditis. Die Ergebnisse wurden nun im „European Heart Journal“ veröffentlicht.
Das menschliche Herz ist ein Hohlmuskel, der täglich etwa 8.000 Liter Blut durch den Körper pumpt. Ist der Herzmuskel, entzündet, spricht man von einer Myokarditis. Sie kann das Herz in seiner Funktion massiv beeinträchtigen, insbesondere die Fähigkeit, Blut effektiv durch den Körper zu pumpen. Ein schwerer klinischer Verlauf dieser komplexen Entzündung verläuft in circa 30 Prozent der Fälle tödlich. Diese schwere Form der Myokarditis wird auch "fulminante Myokarditis" genannt und ist durch eine reduzierte Pumpfunktion des Herzens und daraus resultierende lebensbedrohliche Kreislaufinsuffizienz gekennzeichnet, bei manchen Betroffenen sogar durch einen Herzkreislaufstillstand.
Für eine optimale Behandlung ist nicht nur eine kardiologisch-intensivmedizinische Unterstützung der Herzfunktion notwendig, sondern auch eine differenzierte Behandlung der auslösenden Faktoren. Die diagnostische Herangehensweise an eine fulminante Myokarditis und das optimale Zusammenspiel passender Therapien ist jedoch bisher nicht ausreichend erforscht. Auch über den langfristigen Verlauf und die Risikofaktoren für die Mortalität ist bisher wenig bekannt.
Kohorten für fulminante Myokarditis
Genau an diesem Punkt setzt die internationale multizentrische Studie unter der Koordination des UKB mit 26 europäischen Zentren an. Mit einer der bisher weltweit größten Kohorten für fulminante Myokarditis liefert die Studie unter der Leitung von Prof. Dr. Dr. med. Enzo Lüsebrink vom Herzzentrum des UKB neue Erkenntnisse zum Krankheitsverlauf, zur Prognoseabschätzung und zu den Risikofaktoren dieser schweren Erkrankung. Insgesamt wurden 271 Patientinnen und Patienten in der Studie berücksichtigt.
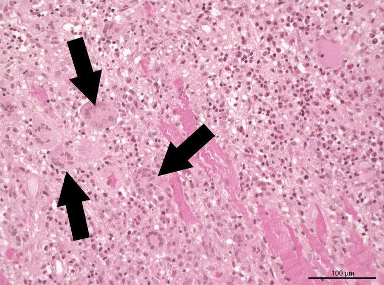
Eine erste wichtige Erkenntnis der Studie ist, dass Betroffene mit einer Riesenzellmyokarditis – eine Sonderform, die ihren Namen aufgrund sehr großer Zellen in den Gewebeproben trägt – eine deutlich höhere Sterblichkeit aufweisen (50 Prozent), als andere Untergruppen (circa 30 Prozent). Diese Daten weisen auf die große Bedeutung der frühen Gewebeentnahme zur Probengewinnung als einen zentralen Aspekt der Diagnostik der fulminanten Myokarditis hin.
Außerdem wurden das Alter und der anfangs gemessene pH-Wert als unabhängige Risikofaktoren für die Krankenhausmortalität identifiziert, welche wertvolle Informationen zur Prognose in der klinischen Praxis liefern können. Der Einsatz moderner aufwändiger Kreislauf-Unterstützungsverfahren könnte so noch zielgerichteter werden.
Eine dritte zentrale Information aus der Studie sind die Daten zum Langzeit-Verlauf. Bei den Betroffenen, die bis zur Entlassung überlebt haben, zeigten sich über die Folgejahre kaum weitere Todesfälle, und die anfangs stark reduzierte Herzleistung erholte sich. Auch die neurologische Funktion wurde bei der Mehrheit der Überlebenden als gut eingeschätzt. Insgesamt kann man somit von einer sehr guten Langzeit-Prognose nach Überleben der Akutphase sprechen.
Alter, pH-Wert und Gewebeentnahmen als prognostische Marker
Für die Autoren sind die Ableitungen aus der Studien eindeutig: „Die Langzeitergebnisse bei Betroffenen, die die Entlassung überleben, sind ausgezeichnet. Genau deswegen müssen wir Hochrisikopatientinnen und -patienten schnell identifizieren und die Behandlungsstrategien optimal steuern. Alter, pH-Wert und Gewebeentnahmen können uns dabei als prognostische Marker dienen“, erklärt Studienleiter Lüsebrink.
„Gerade die frühe Endomyokardbiopsie sollte bei klinisch vermuteter fulminanter Myokarditis angestrebt werden, da die histopathologischen Befunde eine entscheidende Rolle für das Management und die Prognose spielen“, ergänzt Prof. Dr. Georg Nickenig, Kardiologe und Direktor des Herzzentrums des UKB. „Denn so können wir therapeutische Konzepte und damit auch Behandlungsergebnisse bei allen Personen mit fulminanter Myokarditis perspektivisch verbessern.“
Meist gelesen

Neurochirurgie zieht vom Sana Klinikum Lichtenfels nach Coburg
Die Sana Kliniken Oberfranken bündeln ihre neuro-medizinischen Kompetenzen an einem Ort: Die Neurochirurgie des Sana Klinikums Lichtenfels hat in der vergangenen Woche ihren Umzug nach Coburg vollzogen und die Patientenversorgung aufgenommen.

Prof. Dr. Julia Heinzelbecker übernimmt die Direktion der Klinik für Urologie am Universitätsklinikum Marburg
Das Universitätsklinikum Marburg begrüßt Prof. Dr. Julia Heinzelbecker als neue Direktorin der Klinik für Urologie.

Dr. Rolf Glazinski wird Chefarzt der Neurologie an der Wicker Klinik
Zum 1. Januar 2026 übernimmt Dr. Rolf Glazinski (61) die chefärztliche Leitung der Neurologie an der Wicker Klinik.

Neuer Chefarzt am St. Marienhospital Vechta
Dr. Maximilian Knöner übernimmt die Leitung der Klinik für Gastroenterologie.

Pro Care 2026: Die Programm-Highlights
Die Messe zeigt, wie Pflege, Innovation und Praxis zusammenwirken. Zwei Tage Programm mit Impulsen für die Zukunft der Pflege.











