Aminosäure-PET: Perspektiven in der Hirntumordiagnostik




Zerebrale Gliome sind mit einer Inzidenz von 5-6 Neuerkrankungen pro 100.000 Einwohner/Jahr die häufigsten hirneigenen Tumoren. Die Therapie erfolgt in Abhängigkeit vom WHO-Grad und besteht in der Regel aus einer Abfolge von verschiedenen Therapieformen, z. B. operative Entfernung des Glioms und Nachbehandlung mittels einer Radiotherapie und/oder einer Chemotherapie. Trotz therapeutischer Fortschritte ist die Prognose bis heute zumeist ungünstig und Heilungen sind nur bei bestimmten niedriggradigen Gliomen möglich (z. B. pilozytisches Astrozytom, WHO-Grad I).
Die Magnetresonanztomografie (MRT) mit Kontrastmittelgabe ist heute das Verfahren der Wahl zur Hirntumordiagnostik. Die Beurteilung der Tumorausdehnung ist häufig nicht eindeutig, insbesondere dann, wenn keine Störung der Blut-Hirn-Schranke vorliegt. Posttherapeutisch können in der MRT unspezifische Kontrastmittelanreicherungen auftreten, die von einem Tumorrezidiv bzw. einer -progression nicht zu unterscheiden sind. In diesen Situationen ist die metabolische Bildgebung mit der Positronen-Emissions-Tomografie (PET) unter Verwendung von radioaktiv markierten Aminosäuren sehr hilfreich. Diese Methode war bisher aufgrund der sehr kurzen Halbwertszeit der verfügbaren PET-Tracer auf wenige Zentren beschränkt. Die Entwicklung von 18F-markierten Aminosäuren wie 18F-Fluorethyltyrosin (FET) mit einer Halbwertszeit von ca. zwei Stunden hat jedoch zu einer zunehmenden Verbreitung der Methode geführt. Im Folgenden werden die wichtigsten Anwendungen der FET PET in Anlehnung an die Leitlinien der DGN zur Diagnostik von Hirntumoren mit radioaktiv markierten Aminosäuren beschrieben.
Biopsieführung und Bestimmung der Tumorausdehnung
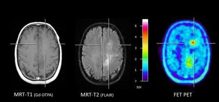
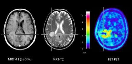
Einer der wichtigsten Aspekte bei der Diagnostik von zerebralen Gliomen ist die Erfassung der Tumorausdehnung und der Tumorareale mit der höchsten Proliferationsrate. Die Gewinnung repräsentativer
Gewebsproben ist für die Beurteilung des Tumortyps, der Prognose und die weitere Therapieplanung von entscheidender Bedeutung. Die konventionelle MRT bietet bei inhomogenen Gliomen oft nur eingeschränkte Hinweise auf die stärker proliferierenden Tumoranteile, insbesondere bei fehlender Kontrastmittelaufnahme. Die Aminosäure-PET kann bei etwa 90 % der Tumore Regionen mit erhöhter Stoffwechselaktivität nachweisen, was zu einer optimierten Planung der Biopsie beiträgt und Fehlbiopsien vermeidet (Abb. 1). Darüber hinaus bietet die Aminosäure-PET im Vergleich zur MRT in vielen Fällen eine verbesserte Darstellung der Tumorausdehnung, was z. B. zur Planung des chirurgischen Eingriffs oder der Strahlentherapie beitragen kann (Abb. 2).
Differenzierung von benignen und malignen Veränderungen
Obwohl die FET PET eine hohe Spezifität aufweist, um bei Gliomen zwischen Tumorgewebe und unspezifischen Gewebsreaktionen zu unterscheiden, konnten bei der Primärdiagnostik von unklaren Prozessen im Gehirn in einzelnen Fällen auch in benignen Läsionen erhöhte FET-Anreicherungen nachgewiesen werden, z. B. bei Abszessen, Entmarkungsherden und Ischämien. Eine Biopsie kann deshalb in der Regel nicht vermieden werden. Unklare Prozesse mit einer geringen oder fehlenden FET-Anreicherung haben jedoch eine günstige Prognose, so dass man bei diesen Läsionen eine abwartende Haltung vertreten kann, während bei Prozessen mit hoher Traceranreicherung eine Klärung der Histologie mittels Biopsie vorzuziehen ist. Des Weiteren kann durch Kombination von FET PET und Protonen-Spektroskopie eine bessere Differenzierung unklarer Hirnveränderungen erreicht werden als bei alleiniger Verwendung eines der beiden Verfahren.
Differenzierung des Tumorgrades und Prognose
Da sowohl hochgradige als auch die Mehrzahl der niedriggradigen Gliome eine hohe FET-Anreicherung in der PET aufweisen, ist die Aminosäureanreicherung zur Abschätzung des Malignitätsgrades nur wenig aussagekräftig. Möglicherweise bietet hier die Analyse der Tracerdynamik zusätzliche Informationen. So beobachtet man bei hochgradigen Gliomen häufig ein frühes Aktivitäts-Maximum nach 10-15 Min. gefolgt von einem Abfall der Aktivitätskonzentration, während niedriggradige Gliome oft einen kontinuierlichen Anstieg der Aktivitätskonzentration aufweisen. Die Aussagekraft der dynamischen FET PET zur Graduierung von Gliomen wird kontrovers diskutiert. Auch die prognostische Bedeutung der FET PET ist noch nicht abschließend geklärt. Allerdings haben einige Studien den Nutzen der Aminosäure-PET bei der Beurteilung der Prognose von Patienten mit niedriggradigen Gliomen nachgewiesen. In der MRT gut abgrenzbare niedriggradige Gliome (WHO-Grad II) mit fehlender FET-Anreicherung weisen eine deutlich bessere Prognose auf als unscharf abgegrenzte Tumore in der MRT mit hoher Aminosäureanreicherung.
Differenzierung zwischen strahlenbedingten Veränderungen und Rezidivtumor
Ein weiteres Problem für die MRT-Diagnostik stellt die Unterscheidung eines Tumorrezidivs von unspezifischen posttherapeutischen Veränderungen dar. Eine posttherapeutisch auftretende pathologische Kontrastmittelaufnahme in der Tumorregion erlaubt keine Unterscheidung zwischen einem Tumorrezidiv und unspezifischen Veränderungen. In dieser Situation kann die FET PET mit einer Sensitivität und Spezifität von ca. 90 % ein Tumorrezidiv von einer Radionekrose differenzieren. Auch zur Unterscheidung einer Rezidivmetastase von einer strahlenbedingten Veränderung nach vorheriger Bestrahlung von Hirnmetastasen (z. B. einzeitige Radiochirurgie) hat sich die FET PET bewährt.
Therapiemonitoring
Die Beurteilung des Therapieansprechens mittels konventioneller MRT basiert hauptsächlich auf der Beobachtung von Veränderungen in der Kontrastmittelanreicherung. Dies erlaubt jedoch oft keine eindeutigen Rückschlüsse auf das Ansprechen eines Tumors. Die FET PET hat sich in einigen Studien im Vergleich zur konventionellen MRT als sehr aussagekräftig erwiesen, das Ansprechen der Gliome auf eine Radio- oder Chemotherapie früher zu erfassen. Somit kann die FET PET einen wichtigen Betrag liefern, die individuelle Therapieplanung zu optimieren. Hierdurch können belastende und ineffektive Therapien vermieden und alternative Verfahren frühzeitig eingesetzt werden.
Schlussfolgerungen
Die FET PET hat sich bei Patienten mit zerebralen Gliomen als wichtige ergänzende Untersuchung zur konventionellen MRT erwiesen. Diagnostische Vorteile ergeben sich insbesondere bei der Biopsie-Planung, Erfassung der Tumorausdehnung für die Therapieplanung, Rezidiverkennung und beim Therapiemonitoring. Aufgrund der überzeugenden klinischen Ergebnisse ist das Verfahren inzwischen in mehr als 20 neuroonkologischen Zentren in Deutschland etabliert. Die Anwendung der FET PET ist nach der Verordnung über radioaktive Arzneimittel unter bestimmten Voraussetzungen in spezialisierten Zentren möglich sowie im Rahmen von klinischen Studien. Die arzneimittelrechtliche Zulassung befindet sich in Vorbereitung. Die Kosten sind mit der FDG PET vergleichbar und werden nach vorheriger Genehmigung von gesetzlichen und privaten Krankenkassen bereits teilweise übernommen.
Meist gelesen

Doppeltes Risiko: Kombination zweier Genvarianten begünstigt Entzündung und Krebs
Kieler Forschungsteam hat zwei Genveränderungen identifiziert, die im Zusammenspiel bei Menschen mit chronischen Darmentzündungen das Risiko für Darmkrebs erhöhen könnten.

Krebsmedikamente: Wie sich Nebenwirkungen am Auge behandeln lassen
Moderne Krebsmedikamente wie Antikörper-Wirkstoff-Konjugate (ADCs) und Immuntherapien können schwerwiegende Nebenwirkungen am Auge bis hin zur Erblindung verursachen.

Ein Brief an die Zukunft: Stefan Drägers Vision vom Krankenhaus der Zukunft
Stefan Drägers Brief an das Krankenhaus der Zukunft und über die Vision seiner Familie.

Richtiges Händewaschen: Die Temperatur ist nicht entscheidend
Welchen Einfluss hat die Wassertemperatur, die Waschdauer und die Wassermenge auf das Händewaschen? Zwei Studien der Medizinischen Universität Wien zeigen überraschende Ergebnisse.

ATOS Wiesbaden setzt bei Anästhesie auf besonders schonende und sichere Narkose-Dreifachkombi
Wenn es um das Thema Anästhesie für operative Eingriffe geht, stehen Ärzten unterschiedliche Methoden zur Verfügung. Ein besonders innovatives Verfahren setzt die ATOS Klinik Wiesbaden als eine von wenigen Kliniken seit Jahren standardmäßig ein.








