SEMAR in der Computertomografie





Selbst in der modernen Radiologie sind Metallartefakte, wie sie z. B. nach neuroradiologischen oder neurochirurgischen Interventionen durch Clips oder Coilings verursacht werden, eine besondere Herausforderung der Schnittbildgebung.
Bei der MR-Angiografie können Metalle komplett zur Auslöschung des umliegenden Bereiches führen – die Befundung mittels Computertomografie wird durch die teils erhebliche Aufhärtung der Röntgenstrahlen durch das Fremdmaterial, durch sog. Aufhärtungsartefakte, empfindlich gestört. Nicht nur die Darstellung und Kontrolle der eingebrachten Fremdmaterialien selbst, sondern insbesondere die Beurteilung der unmittelbar angrenzenden Bereiche kann unter Metallartefakten leiden und die Diagnose erschweren. Vor allem in der Neuroradiologie, wo Dichteunterschiede von wenigen Hounsfieldeinheiten entscheidend sind, um z. B. eine beginnende Ischämie zu erkennen, ist dies ein wichtiges Thema, der vermehrte Einsatz von Stents und Coils erschwert diesen Umstand noch einmal. Postinterventionelle Kontrolluntersuchungen der meist intensivpflichtigen Patienten nach Subarachnoidalblutung (SAB), insbesondere zur Früherkennung vasospastisch bedingter Ischämien, sind die hier typischen Fragestellungen und Herausforderungen der Bildgebung.
Toshiba verstärkte daher in den letzten Jahren sein Engagement, die Reduktion dieser Metallartefakte zu verbessern und die Diagnose leichter, schneller und somit sicherer zu machen. Bereits vor Jahren entwickelte Toshiba die Boost-3-D-Technologie, die Streifenartefakte, die an angrenzenden Strukturen großer Dichteunterschiede, z. B. bei Metallimplantaten, entstehen können, reduziert. Mit der Entwicklung und Einführung der iterativen Dosisreduktion wurde die bewährte Boost-3-D-Funktionalität in AIDR 3D, der Adaptiven Iterativen Dosis-Reduktion in 3-D, integriert. AIDR 3D arbeitet sowohl mit den Rohdaten wie mit den Bilddaten und führt bereits zu einer Verbesserung der Bildqualität. SEMAR, die Single-Energy-Metall-Artefakt-Reduktion ist ein neuer Algorithmus zur signifikanten Reduktion von Metallartefakten in CT-Bildern.
SEMAR 1. Beispiel – Nach Subarachnoidalblutung mit Coiling eines gebluteten T-Gabelaneurysmas
In der neuroradiologischen Versorgung von Aneurysmata werden spezielle Coils eingesetzt, die aus Platin mit Seidenanteilen bestehen – hierdurch entstehen mit herkömmlichen CTs in den Nachkontrollen massive Metallartefakte, die eine Beurteilung des Gewebes und der an das Aneurysma angrenzenden Gefäße in unmittelbarer Umgebung unmöglich machen bzw. sehr erschweren (Bild 1 a). Deutlich verbessert wird die Befundbarkeit mit SEMAR (Bild 1 b). In der postinterventionellen Kontrolle der meist intensivpflichtigen Patienten will der Kliniker in möglichst einem Untersuchungsgang komplexe Fragestellungen nach Vasospasmus/Blutung/Ischämie/Gefäßabbrüchen beantwortet haben. Diese teils hochkomplexen Fragestellungen können über die Ganzhirnperfusion in kürzester Zeit und mit hoher Detailgenauigkeit beantwortet werden. Durch die neue SEMAR-Technologie gelingt es auch, die unmittelbar an das gecoilte Aneurysma angrenzenden Gefäß und Hirnanteile in sehr guter diagnostischer Qualität darzustellen. Insbesondere die hohe Detailgenauigkeit der Gefäße war so mit herkömmlichen Geräten bisher nicht möglich und nur mittels invasiver Katheterangiografie darzustellen. Somit stellt die Kombination aus der Ganzhirnperfusion und der neuen Artefaktunterdrückung im klinischen Alltag einen enormen diagnostischen und klinischen Fortschritt und Mehrnutzen dar.
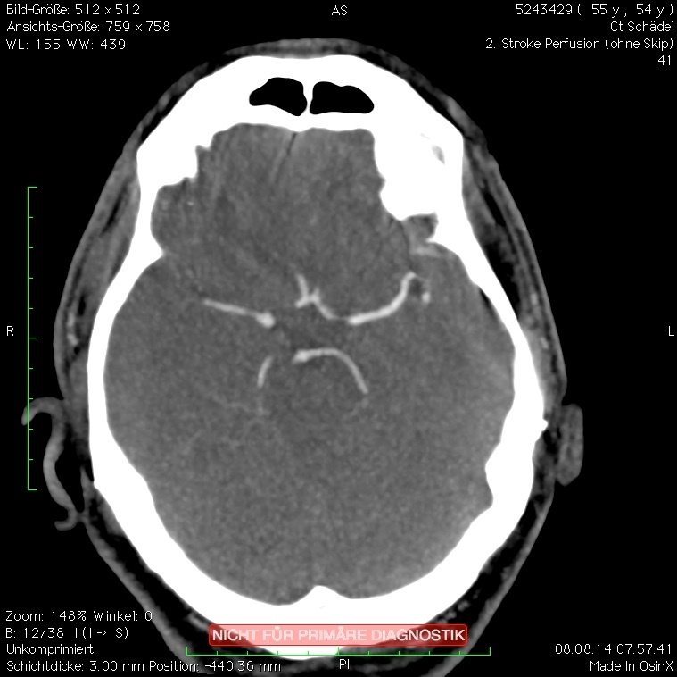
SEMAR 2. Beispiel – Apoplex bei beidseitigem Cochlea-Implantat
Im Rahmen der Schlaganfalldiagnostik ist die zunächst wichtigste Aufgabe des Radiologen, schnell und zuverlässig eine Blutung auszuschließen – dies gelingt meist zuverlässig mittels nativem CCT. Zusätzliche Fragestellungen wie die nach der Lokalisation des Gefäßverschlusses, der Thrombuslänge oder der nach einem Perfusions-Mismatch können anschließend mittels CT-Angiografie und CT-Perfusion beantwortet werden. Ziel der Diagnostik ist es, den Patienten, sofern er sich in einem therapeutischen Zeitfenster befindet, schnellstmöglich einer entsprechenden Therapie zuzuführen. In dem unten geschilderten Fall handelt sich um einen 54-jährigen Patienten, der mit einer linksseitigen Hemiparese, jedoch unklarem Zeitfenster eingeliefert wurde (wake-up stroke).
Erschwerend hat der Patient beidseitige Cochlea-Implantate (CI), so dass zum einen ausgeprägte Aufhärtungsartefakte die Diagnostik erschweren (Bild 2 a) und zum anderen eine alternative MRT-Untersuchung nicht möglich ist. In der anschließenden CT-Angiografie, als Spiral-CT gefahren, erschweren die Aufhärtungsartefakte eine genaue Lokalisation des Gefäßverschlusses (CTA Bild 2 b). In dem anschließend sekundär berechneten CTA-Datensatz (Bild 2 c) zeigt sich ein eindeutig zu diagnostizierender Verschluss der rechten A. cerebri media im M2-Segment als Ursache für die linksseitige Hemiparese. Die in der CTA noch ausgeprägten Aufhärtungsartefakte werden nach der SEMAR-Rekonstruktion deutlich reduziert, so dass hieraus auf vergleichbaren Schnittebenen ein klarer diagnostischer Zugewinn resultiert (Vergleich Bild 2 b und Bild 2 c). Zusätzlich kann in diagnostischer Qualität eine Ganzhirnperfusion errechnet werden, so dass die Frage nach einem Perfusionsmismatch ebenfalls beantwortet werden kann.
Zusammenfassend lässt sich sagen, dass die Möglichkeit der Metallartefaktreduktion mittels SEMAR in der Schlaganfalldiagnostik bei Patienten mit nicht entfernbaren Metallimplantaten wie z. B. Cochleaimplantaten eine wichtige technische Unterstützung ist. Auch unter schwierigen Bedingungen können so die Frage nach Blutung, Gefäßabbrüchen oder Perfusionsausfällen in der Regel sicher beantwortet werden.
Anbieter
Toshiba Medical Systems GmbH DeutschlandHellersbergstr. 4
41460 Neuss
Deutschland
Meist gelesen

Pro Care 2026 - Die Fachmesse für Kliniken und Pflegeeinrichtungen
Pro Care: vom 10.–11. Februar 2026 auf dem Messegelände Hannover: Erleben Sie Digitalisierung, Lösungsansätze zur Entlastung und für die Zukunft der Pflege.

ATOS Wiesbaden setzt bei Anästhesie auf besonders schonende und sichere Narkose-Dreifachkombi
Wenn es um das Thema Anästhesie für operative Eingriffe geht, stehen Ärzten unterschiedliche Methoden zur Verfügung. Ein besonders innovatives Verfahren setzt die ATOS Klinik Wiesbaden als eine von wenigen Kliniken seit Jahren standardmäßig ein.

Richtiges Händewaschen: Die Temperatur ist nicht entscheidend
Welchen Einfluss hat die Wassertemperatur, die Waschdauer und die Wassermenge auf das Händewaschen? Zwei Studien der Medizinischen Universität Wien zeigen überraschende Ergebnisse.

Neues Sequenzier-Labor am Krankenhaus Merheim eröffnet
Das Krankenhaus Merheim der Kliniken der Stadt Köln hat am 7. Oktober 2025 offiziell sein neues Sequenzier-Labor in Betrieb genommen – ein bedeutender Schritt in Richtung moderner, personalisierter Krebsmedizin.

Ein Brief an die Zukunft: Stefan Drägers Vision vom Krankenhaus der Zukunft
Stefan Drägers Brief an das Krankenhaus der Zukunft und über die Vision seiner Familie.








