Charité-Universitätsmedizin Berlin

Charitéplatz 1
10117 Berlin
Deutschland

Kontakt WebSite

Beiträge

Trotz höherer Tarife und Sachkosten reduziert Berliner Universitätsmedizin deutlich ihr Defizit

Trotz höherer Tarife und Sachkosten reduziert Berliner Universitätsmedizin deutlich ihr Defizit

Die wirtschaftliche Situation der Krankenhäuser in Deutschland ist sehr herausfordernd. Seit Einführung des Fallpauschalensystems im Jahr 2003 haben noch nie so viele Kliniken eine so schlechte wirtschaftliche Lage beklagt wie im vergangenen Jahr.

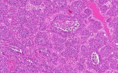
Magenentzündungen: wie eine bakterielle Infektion das Gewebe verändert

Magenentzündungen: wie eine bakterielle Infektion das Gewebe verändert

Eine Infektion der Magenschleimhaut mit dem Helicobacter-Bakterium führt zu Magenentzündungen und erhöht zudem das Risiko für Magenkrebs. Ein Forschungsteam der Charité – Universitätsmedizin Berlin und des Max-Delbrück-Centrums für Molekulare Medizin in der Helmholtz-Gemeinschaft (MDC) konnte nun charakteristische Veränderungen in den Magendrüsen im Zuge einer Infektion aufklären.

Optimierung der Tiefen Hirnstimulation bei Dystonie

Optimierung der Tiefen Hirnstimulation bei Dystonie

Die Dystonie ist eine neurologisch bedingte Bewegungsstörung. Forschende der Charité – Universitätsmedizin Berlin konnten jetzt wichtige wissenschaftliche Erkenntnisse für eine verbesserte Behandlung der Erkrankung generieren: In der Fachzeitschrift PNAS zeigen sie, dass es bei verschiedenen Formen der Dystonie entscheidend ist, ganz bestimmte Netzwerke im Gehirn zu stimulieren, um die Beschwerden der Betroffenen zu lindern.

Koronare Herzkrankheit sicher und risikoarm diagnostizieren

Koronare Herzkrankheit sicher und risikoarm diagnostizieren

Führt eine Computertomografie (CT) des Herzens bei stabilen Patienten mit Verdacht auf eine koronare Herzkrankheit zu ähnlich zuverlässigen Ergebnissen wie eine Katheteruntersuchung? Dieser Frage sind Forschende in 31 europäischen Einrichtungen unter Leitung der Charité – Universitätsmedizin Berlin nachgegangen.

Multiples Myelom: Warum der Krebs wiederkehrt

Multiples Myelom: Warum der Krebs wiederkehrt

Selbst nach einer zunächst erfolgreichen Behandlung kehrt ein Multiples Myelom, der häufigste Knochenmarkkrebs in Deutschland, fast immer zurück. Die Ursachen für die Therapieresistenz, wie genetische Veränderungen, und die damit verbundene Rückkehr der Erkrankung sind jedoch nur in wenigen Fällen bekannt.

Pankreaskrebs: Zentraler Zellprozess weist Weg zu neuen Therapieoptionen

Pankreaskrebs: Zentraler Zellprozess weist Weg zu neuen Therapieoptionen

Die Ausbildung von Resistenzen erschwert die Therapie von Krebserkrankungen. Bei einer aggressiven Krebsform der Bauchspeicheldrüse etwa ist der programmierte Zelltod auf bisher unbekannte Weise unterdrückt, sodass Krebszellen unkontrolliert wachsen können. Einem Forschungsteam der Charité – Universitätsmedizin Berlin ist es nun gelungen, das Zusammenspiel von Faktoren aufzuklären, die das Überleben dieser Krebszellen ermöglichen. Sie konnten zeigen, dass die Hemmung eines zentralen Proteins das Tumorwachstum einschränkt. Die im Fachjournal PNAS veröffentlichten Erkenntnisse könnten einen neuen Therapieansatz für aggressive Tumoren ermöglichen.

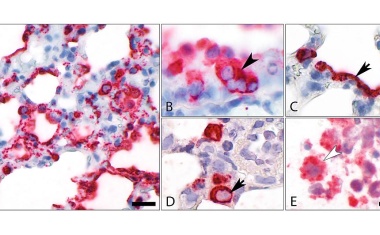
COVID-19-Lungenversagen

COVID-19-Lungenversagen

Bei der Mehrheit der Patienten mit schwerem COVID-19 vernarbt die Lunge in außergewöhnlich starkem Ausmaß.

Spinale Muskelatrophie

Spinale Muskelatrophie

Eine Charité-Studie bestätigt die Wirksamkeit der Gentherapie.

Die Evolution des Tumors

Die Evolution des Tumors

Unterscheidet sich das Erbgut der Zellen innerhalb eines Tumors, spricht man von intratumoraler genetischer Heterogenität. Wie sie sich im Laufe der Erkrankung entwickelt, haben Forschende beim Neuroblastom rekonstruiert.

Medizinische Experimente im All

Medizinische Experimente im All

Der deutsche Astronaut Dr. Matthias Maurer ist mit an Bord bei der Mission „Cosmic Kiss“, die mit dem Weltraumflug zur Internationalen Raumstation ISS startete. Verschiedene Charité-Projekte begleiten die Mission zur ISS.

Nature-Studie: SARS-CoV-2 bringt Timing der Immunreaktion durcheinander

Nature-Studie: SARS-CoV-2 bringt Timing der Immunreaktion durcheinander

Den Botenstoff TGFβ nutzt der Körper normalerweise dazu, die Immunreaktion am Ende einer Infektion wieder herunterzufahren. Bei schweren COVID-19-Verläufen schüttet er den Botenstoff jedoch schon zu Beginn der Infektion aus – und blockiert so die frühe Bekämpfung des Erregers durch das angeborene Immunsystem.

COVID-19: Was die Lawine der Entzündung antreibt

COVID-19: Was die Lawine der Entzündung antreibt

Eine Studie zur Seneszenz eröffnet einen neuen Therapieansatz.

Frühere Erkältungen verbessern Immunreaktion gegen SARS-CoV-2

Frühere Erkältungen verbessern Immunreaktion gegen SARS-CoV-2

Bestimmte Immunzellen, die Menschen in der Vergangenheit gegen Erkältungscoronaviren gebildet haben, stärken die Immunreaktion gegen SARS-CoV-2 – sowohl während der natürlichen Infektion als auch nach einer Impfung.

Bestimmte Form der Herzschwäche erstmals spezifisch behandelbar

Bestimmte Form der Herzschwäche erstmals spezifisch behandelbar

Bei einer Herzinsuffizienz mit erhaltener Pumpfraktion – der häufigsten Form der Herzschwäche bei älteren Menschen – gab es bisher keine durch Evidenz gesicherte Behandlungsmöglichkeit.

Mukoviszidose: Immer mehr Erkrankten kann geholfen werden

Mukoviszidose: Immer mehr Erkrankten kann geholfen werden

Ein internationales Team unter Co-Leitung der Charité – Universitätsmedizin Berlin hat in einer klinischen Studie gezeigt, dass Patientinnen und Patienten mit Mukoviszidose und relativ seltenen krankheitsauslösenden Genveränderungen durch eine Kombination von drei bereits bekannten Wirkstoffen effektiv und sicher behandelt werden können.

Lungenschäden bei COVID-19-Erkrankungen verstehen

Lungenschäden bei COVID-19-Erkrankungen verstehen

Forschende der Charité – Universitätsmedizin Berlin, des Max-Delbrück-Centrums für Molekulare Medizin in der Helmholtz-Gemeinschaft (MDC) und der Freien Universität Berlin haben die zellulären Mechanismen zu Beginn einer entzündlichen Lungenschädigung, ausgelöst durch eine SARS-CoV-2-Infektion, im Detail untersucht.

Charité setzt auf digitale Tools für Studierende

Charité setzt auf digitale Tools für Studierende

Virtuelle Szenarien, Blended Learning und Augmented Reality: So will die Charité – Universitätsmedizin Berlin ihre Studierenden fit für die Medizin der Zukunft machen.

Doppelt ausgezeichnet: Berliner Wissenschaftspreis für zwei Charité-Forscher

Doppelt ausgezeichnet: Berliner Wissenschaftspreis für zwei Charité-Forscher

Der Virologe Prof. Dr. Christian Drosten von der Charité – Universitätsmedizin Berlin hat den Berliner Wissenschaftspreis 2020 des Regierenden Bürgermeisters erhalten. Die mit 40.000 Euro höchstdotierte Wissenschaftsauszeichnung des Landes Berlin ehrt herausragende Forschungsleistungen, die in der Hauptstadt entstanden sind. Auch der Nachwuchspreis ging an einen Charité-Forscher, den Kinderonkologen Privatdozent Dr. Anton Henssen.

Charité prüft den Einsatz von Bandwurmmittel gegen SARS-CoV-2

Charité prüft den Einsatz von Bandwurmmittel gegen SARS-CoV-2

Forschende des Deutschen Zentrums für Infektionsforschung (DZIF) an der Charité – Universitätsmedizin Berlin und der Universität Bonn haben analysiert, wie SARS-CoV-2 den Stoffwechsel der Wirtszelle zu seinen Gunsten umprogrammiert.

SARS-CoV-2: Charité untersucht, welche Personengruppen potenziell am ansteckendsten sind

SARS-CoV-2: Charité untersucht, welche Personengruppen potenziell am ansteckendsten sind

Was im letzten Jahr als vorläufige Auswertung von Labordaten begann, ist zu der bisher größten Untersuchung von Viruslasten bei SARS-CoV-2 geworden.

SARS-CoV-2: Welche Personengruppen potenziell am ansteckendsten sind

SARS-CoV-2: Welche Personengruppen potenziell am ansteckendsten sind

Die bisher größte Untersuchung von Viruslasten bei SARS-CoV-2 bestimmte die Menge des Viruserbguts in der PCR-Probe und daraus die Ansteckungsfähigkeit.

BIH initiiert klinische Studie für die Behandlung von schweren COVID-19 Krankheitsverläufen

BIH initiiert klinische Studie für die Behandlung von schweren COVID-19 Krankheitsverläufen

Wissenschaftler*innen des BIH hatten vor Kurzem herausgefunden, dass eine Infektion mit dem neuen Coronavirus SARS-CoV-2 häufig dann schwer verläuft, wenn das Immunsystem mit einer überschießenden Immunantwort reagiert.

Charité gelingt magnetischer Blick durch die Schädeldecke

Charité gelingt magnetischer Blick durch die Schädeldecke

Das Gehirn verarbeitet Informationen über langsame und schnelle Hirnströme. Um Letztere zu untersuchen, mussten bisher allerdings Elektroden in das Gehirn eingeführt werden.

5G-Telemedizin soll Kunstherzsysteme noch sicherer machen

5G-Telemedizin soll Kunstherzsysteme noch sicherer machen

Angesichts des Mangels an Spenderorganen gelten Kunstherz-Systeme zunehmend als langfristige Alternative zur Herztransplantation.

Müssen COVID-19-Impfstoffe zukünftig regelmäßig neu angepasst werden?

Müssen COVID-19-Impfstoffe zukünftig regelmäßig neu angepasst werden?

Grippe-Impfstoffe müssen jedes Jahr aktualisiert werden, um vor neuen Influenzaviren zu schützen. Wird das auch für COVID-19-Impfstoffe nötig sein?

Analyse-System für die Brustkrebsdiagnose entwickelt

Analyse-System für die Brustkrebsdiagnose entwickelt

Forschende der Charité – Universitätsmedizin Berlin und der TU Berlin haben ein neues Analyse-System für die Brustkrebsdiagnostik anhand von Gewebeschnitten entwickelt, das Künstliche Intelligenz (KI) nutzt.

Schlaganfall: Bessere Prognose bei Einsatz von Stroke-Einsatz-Mobilen

Schlaganfall: Bessere Prognose bei Einsatz von Stroke-Einsatz-Mobilen

Sie sind seit 10 Jahren in Berlin unterwegs: die Stroke-Einsatz-Mobile (STEMO). Die speziell ausgestatteten Rettungsfahrzeuge erlauben es, Menschen bei einem Schlaganfall schon am Einsatzort zu behandeln.

Felix Balzer übernimmt Institut für Medizinische Informatik der Charité

Felix Balzer übernimmt Institut für Medizinische Informatik der Charité

Prof. Dr. Dr. Felix Balzer hat eine W3-Professur auf Lebenszeit für Medical Data Science an der Charité – Universitätsmedizin Berlin übernommen.

Coronavirus: Charité und Vivantes erweitern Testung positiver Proben auf Mutationen

Coronavirus: Charité und Vivantes erweitern Testung positiver Proben auf Mutationen

Die Charité – Universitätsmedizin Berlin und Vivantes - Netzwerk für Gesundheit GmbH lassen Proben mit positivem SARS-CoV-2-Nachweis zusätzlich auf die englische und südafrikanische Virusvariante prüfen.

Erste Impfungen bei Charité und Vivantes

Erste Impfungen bei Charité und Vivantes

Berlins landeseigene Krankenhäuser impfen seit heute medizinisches Personal gegen das Coronavirus

Am Biotech-Spitzenstandort Wedding entstehen zwei hochinnovative Gebäude für die medizinische Forschung

Am Biotech-Spitzenstandort Wedding entstehen zwei hochinnovative Gebäude für die medizinische Forschung

Miniatur-Organe aus dem 3D-Drucker oder lebende Medikamente – was wie Zukunftsmusik klingt, soll in Berlin Wedding Realität werden

Die menschlichen Helfer von SARS-CoV-2

Die menschlichen Helfer von SARS-CoV-2

Natürliche Variation beeinflusst virusrelevante Proteine Proteine, ermöglichen als Rezeptoren dem Virus den Eintritt in die Wirtszelle oder helfen ihm bei seiner Vermehrung.

Die menschlichen Helfer von SARS-CoV-2

Die menschlichen Helfer von SARS-CoV-2

Wie alle Viren ist auch das neue Coronavirus auf die Hilfe der menschlichen Wirtszelle angewiesen.

Aus- und Weiterbildung O & U heute

Aus- und Weiterbildung O & U heute

Um eine gleichbleibend hohe Versorgungsqualität in der Orthopädie und Unfallchirurgie sicherzustellen, sind in Aus- und Weiterbildung strukturelle und organisatorische Innovationen notwendig sowie ein Paradigmenwechsel hin zu mehr Zeit und Mitteln für engagierte Ausbilder und Lehrerpersönlichkeiten.

Wie SARS-CoV-2 in das Gehirn gelangt

Wie SARS-CoV-2 in das Gehirn gelangt

Ein Forschungsteam der Charité – Universitätsmedizin Berlin hat anhand von Gewebeproben verstorbener COVID-19-Patienten analysiert, auf welche Weise das neuartige Coronavirus ins Gehirn eindringen kann und wie das Immunsystem dort auf das Virus reagiert.

Covid-19: Zahl der Schwerstkranken weiterhin auf sehr hohem Niveau

Covid-19: Zahl der Schwerstkranken weiterhin auf sehr hohem Niveau

Seit einigen Tagen ist in vielen Universitätskliniken Deutschlands ein etwas verlangsamter Anstieg der Zahlen von stationär behandelten und beatmeten Patienten zu beobachten.

Netzwerk Universitätsmedizin mit vereinten Kräften gegen Covid-19

Netzwerk Universitätsmedizin mit vereinten Kräften gegen Covid-19

Initiiert und koordiniert von der Charité – Universitätsmedizin Berlin bündelt das Nationale Forschungsnetzwerk der Universitätsmedizin zu Covid-19 bestehende Kräfte.

Plattform für KI in der Diagnostik

Plattform für KI in der Diagnostik

Großprojekt unter Charité-Leitung startet mit Kick-off-Veranstaltung