Aktuelle Entwicklungen MRT-geführter Mikrotherapien



Minimal-invasive perkutane Ablationsverfahren sind inzwischen fester Bestandteil moderner multimodaler Tumortherapien
Minimal invasive perkutane Ablationsverfahren
Minimal invasive perkutane Ablationsverfahren wie z. B. die Radiofrequenz-Ablation (RFA) oder die High-Dose-Rate (HDR)-Brachytherapie mit 192Iridium (192Ir) sind inzwischen fester Bestandteil moderner multimodaler Tumortherapien. Sie können komplementär zur Tumorchirurgie eingesetzt werden und erweitern das Spektrum therapeutischer Optionen nicht resektabler Lebertumoren. Konzeptionell bestechen sie durch die Möglichkeit präziser Tumorzellzerstörung bei weitgehender Schonung des durch Tumorlast, vorausgehende (Poly)-Chemotherapien oder Zirrhose ohnehin bereits oft verminderten funktionellen Lebergewebes. Perkutane Ablationsverfahren können im Hinblick auf die gute Patiententoleranz und das hohe Sicherheitsprofil repetitiv und prinzipiell auch ambulant durchgeführt werden. In der Regel reicht eine Lokalanästhesie und leichte Analgosedierung während des Eingriffes aus. Dies macht perkutane Ablationsverfahren insbesondere für Patienten mit Begleiterkrankungen interessant.
Thermische Ablationsverfahren
Thermische Ablationsverfahren wie die RFA sind am weitesten verbreitet. Kurzzeitige Einwirkung von Temperaturen > 60 °C führt zur irreversiblen Schädigung der DNS, Inhibition der Proteinbiosynthese und Denaturierung zytoplasmatischer Proteine. Die RFA induziert nach dem Joule‘schen Gesetz thermische Schäden durch Abgabe hochfrequenter Wechselströme im Bereich von 350-500 kHz.
192Ir-HDR-Brachytherapie
Im Rahmen der 192Ir-HDR-Brachytherapie wird im Nachladeverfahren (sog. Afterloading) eine 192Ir-Strahlenquelle ferngesteuert durch einen vorher eingebrachten Katheter innerhalb des Tumorgewebes platziert. Der hohe Dosisgradient der 192Ir-Strahlenquelle sowie eine exakte Dosimetrie sind grundlegend für die präzise Applikation zytotoxischer Dosen im Tumorgewebe innerhalb weniger Minuten. Die Zerstörung auch großer Tumorzellverbände in unmittelbarer Nähe zu thermosensiblen Strukturen wie der Hepatikusgabel, zentralen Pfortaderästen oder Lebervenen ist weitgehend unproblematisch und ermöglicht einen signifikanten Überlebensvorteil für Patienten mit hepatozellulären Karzinomen (HCC) und Lebermetastasen kolorektaler Karzinome.
Bildführung
Die Sicherheit und Effektivität perkutaner Ablationsverfahren resultiert in erster Linie aus der präzisen intratumoralen Positionierung der Applikatoren. Diese wird am häufigsten mittels Ultrasonografie (US) oder Computertomografie (CT) vorgenommen. Beide Verfahren haben jedoch Limitationen.
Die Bildführung mittels US setzt ein ausreichend gutes Schallfenster voraus. Dies ist jedoch insbesondere bei adipösen Patienten und Tumoren in technisch schwierig erreichbaren Lokalisationen häufig eingeschränkt. Intratumorale Gasentwicklung kann die Bildkontrolle bei thermischen Ablationen substanziell beeinträchtigen. Die CT liefert unabhängig von der Patientenphysiognomie hoch aufgelöste Schnittbilder, hat jedoch intrinsisch einen lediglich geringen Gewebekontrast. Die Beschränkung auf die axiale oder para-axiale Bildebene und die Möglichkeit, nur eine oder wenige aneinandergrenzende Bildschichten gleichzeitig darzustellen, erschweren die exakte Positionierung der Applikatoren und setzen ein überdurchschnittliches dreidimensionales Vorstellungsvermögen des interventionellen Radiologen voraus. Zeitlich aufwendige Eingriffe führen zur nicht unerheblichen Strahlenexposition von Patient und Personal.
Die Magnetresonanztomografie
(MRT) ist aufgrund ihres hohen Weichteilkontrastes, der Möglichkeit zur Bildakquisition in frei wählbarer Schichtorientierung und fehlender ionisierender Strahlung prädestiniert zur Steuerung perkutaner Interventionen, wie z. B. der Ablation von Lebertumoren. Die Entwicklung effizienterer Gradientenspulen neuer Scanner ermöglicht den Einsatz schneller Sequenzen mit hoher Bildqualität und somit eine Steuerung des Eingriffes in nahezu Echtzeit.
Interventionelles MRT
Die Steuerung perkutaner Ablationen mittels Hochfeld-MRT mit Feldstärken > 1 Tesla wird bisher vor allem durch die geschlossene Tunnelbauweise konventioneller Scanner limitiert, die den Zugang zum Patienten deutlich einschränken. Niederfeld-MRT-Scanner mit offener Bauweise durch zwei horizontal getrennte Magnetspulen mit Feldstärken < 0,5 Tesla bieten einen adäquaten Zugang zum Patienten auf Kosten der Bildqualität. Aktuelle Entwicklungen offener sowie geschlossener Hochfeld-MRT-Scanner mit erweiterter Tunnelöffnung (sog. „wide-bore"-Scanner) und dedizierte interaktive Software-Oberflächen, die eine schnelle Anpassung der Bildtrajektorien an die Applikatoren ermöglichen, sind essenziell für die interventionelle MRT.
Auf die MRT-Kompatibilität der verwendeten Applikatoren ist unter allen Umständen zu achten, da ferromagnetische Instrumente im Magnetfeld eine massive Beschleunigung und deutliche Erwärmung erfahren und eine ernsthafte Gefahr für Patient und Personal darstellen können. MRT-kompatible Applikatoren werden in den akquirierten Bildern als Artefakte dargestellt. Deren Ausprägung ist abhängig von der verwendeten Sequenz und der Ausrichtung der Applikatoren im Magnetfeld. Eine besondere Herausforderung ist die RFA, da der RF-Generator die MRT-Bildgebung stört. Ein Tiefpass-Filter, der an das jeweilige RFA-System angepasst werden muss, kann extensive Bildstörungen vermeiden. Zur Erfolgskontrolle thermischer Ablationen wie der RFA und LITT ist es möglich, mittels der sog. MR-Thermometrie die Erwärmung des Tumors und des angrenzenden Gewebes nichtinvasiv zu messen und Temperaturkarten, die dem MR-Bild überlagert werden, online darzustellen. Das Verfahren beruht auf der Temperaturempfindlichkeit von MR-Parametern, die mit speziellen Sequenzen gemessen werden können.
Im Uniklinikum Magdeburg wird seit 2007 im Rahmen eines aus mehreren Modulen bestehenden Forschungsprojektes ein offener Hochfeld-MRT-Scanner mit einer Feldstärke von 1 Tesla zur Steuerung perkutaner Ablationen, wie z. B. der RFA oder 192Ir-HDR-Brachytherapie, aber auch zur Steuerung von Leber- oder Brustbiopsien, zur Anlage perkutaner Nephrostomien (PCN) oder Abszessdrainagen verwendet. Die technische Erfolgsrate der MRT-geführten Leberpunktion, PCN und Abszessdrainagen-Anlage beträgt 100 % bei Patienten, die zuvor entweder erfolglos mittels anderer bildgestützter Verfahren behandelt wurden oder bei denen die Therapie bzw. Abklärung mittels anderer bildgebender Verfahren primär nicht möglich war. Insbesondere die MRT-gestützte Mamma-Biopsie erleichtert die Diagnostik sonografisch oder mammografisch nicht abgrenzbarer Läsionen in dichtem Brustdrüsengewebe und ermöglicht so eine adäquate Therapie der betroffenen Patientinnen.
Bei allen o. g. Interventionen befindet sich der durchführende Arzt immer unmittelbar seitlich des Patienten im Scanner. Schnelle T1 und T2 gewichtete Sequenzen ermöglichen bei einer Bildwiederholrate von < 1 s in nahezu Echtzeit die Steuerung der eingebrachten Applikatoren und Punktionsnadeln. Im Rahmen von Tumorablationen in der Leber verbessert die vorherige Verabreichung hepatozytenspezifischer Kontrastmittel die Abgrenzung zwischen Tumor und Risikostrukturen wie z. B. Gefäßen und Gallengängen. Die akquirierten Bilder stehen dem Arzt über einen speziell abgeschirmten Monitor im Scanner unmittelbar zur Verfügung. Eine mit dem Hersteller entwickelte interaktive Interventions-Software ermöglicht es der MTRA, im Kontrollraum die Bildebenen parallel und orthogonal zur Trajektorie des Applikators auszurichten. Der Arzt im Scanner kann gleichzeitig aktiv zwischen den dargestellten Bildebenen wechseln.
Aus den Erfahrungen der bisher von unserer Arbeitsgruppe publizierten Studien ist die Komplikationsrate nach MRT-geführten Tumorablationen oder Biopsien sehr niedrig. Bei eingespieltem Interventionsteam ist die Interventionszeit nicht länger als bei US- oder CT-geführten Eingriffen.
Zusammenfassung und Ausblick
Die Bedeutung minimal-invasiver perkutaner Ablationsverfahren im Rahmen moderner multimodaler Tumortherapien wird in Zukunft noch weiter zunehmen. Da die Sicherheit und Effektivität dieser Verfahren in erster Linie auf der präzisen intratumoralen Positionierung der Applikatoren resultiert, kommt einer leistungsstarken und qualitativ hochwertigen Bildgebung wie der MRT eine prädominante Rolle in der Steuerung dieser Eingriffe zu. Aktuelle Entwicklungen sowohl in der Gerätetechnik als auch Software-Ausstattung machen den klinischen Einsatz der interventionellen MRT auf breiter Basis wahrscheinlich.
Literatur bei den Autoren
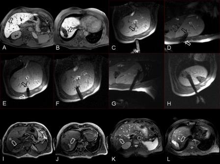
Legende zu den Abbildungen A. - L.
MR geführte Radiofrequenz-Ablation (RFA)
A. Patient mit 2 residuellen Lebermetastasen eines Phäochromozytoms der linken Nebenniere nach stattgehabten atypischen Leberteilresektionen. Der Pfeil markiert eine kleine Metastase in Segment VI
B. Angrenzend an den Resektionsrand zeigt sich die zweite residuelle Metastase in Segment VII
C. Markierung des Zugangsweges zur Metastase in Segment VI mittels aufgelegtem Finger
D. Punktion der Läsion mit der RFA-Sonde. Selbst kleinste Läsionen können präzise getroffen werden
E. Darstellung der RFA-Sonde in der 2 Trajektorie, Bestätigung der korrekten Sondenposition
F. Ausfahren der Schirmchenelektroden
G. Ablation der zweiten Läsion angrenzend an den Resektionsrand im Segment VII in analoger Weise
H. Zwischenzeitlichen Umpositionieren der RFA-Sonde um auch eine suspekte Ausziehung der zweiten Metastase vollständig zu erfassen
I. Kontrollserien (T1 Wichtung): Die therapierte Metastase im Segment VI ist vollständig von einer Koagulationsnekrose (helles Areal) umgeben und somit vollständig ausgeschaltet
J. Vollständige Ablation der Metastase in Segment VII
K. Korrespondierendes Kontrollbild in T2 Wichtung; die Koagulationsnekrose kommt im fettgesättigten T2 Bild als dunkle „hypointense"
Zone zur Darstellung
L. Vollständige Ablation der zweiten Metastase in Segment VII
Meist gelesen

KI-Chatbot unterstützt Urologen in der Weiterbildung
Forschende vom Deutschen Krebsforschungszentrum haben in Zusammenarbeit mit der Urologischen Universitätsklinik Mannheim einen Chatbot auf Basis künstlicher Intelligenz entwickelt und erfolgreich erprobt.

Neues Konzept, neue Daten
Die RKI-Studienreihe „Gesundheit in Deutschland“ liefert erste Erkenntnisse.

OneViewMed: Alle Patientendaten aktuell und auf einen Blick
Mit OneViewMed zeigen die Universitätsmedizin Frankfurt und das Fraunhofer IESE, wie Krankenhäuser Daten sinnvoll vernetzen und hierdurch ihre Prozesse nachhaltig verbessern können.

Ein Enzym neutralisiert Krankheitserreger durch Toxinspaltung
Forschende des Leibniz-HKI entdecken Enzym, das den Virulenzfaktor Malleicyprol bei humanpathogenen Bakterien entschärft.

Neueste Einsätze von KI oder Robotic in der Medizin
Wie wichtig ein gut fundierter, rechtlich und ethisch einwandfreier Umgang mit der KI in der Medizin werden kann, zeigen zwei Artikel, die über die neuesten Einsätze von KI oder Robotic in der Medizin berichten.










