Aus der Kniegelenks-Revisionschirurgie – Patella baja – Wie damit umgehen?



In der Kniegelenksprothetik sind Probleme des Streckapparates häufig anzutreffen, dabei steht die Patella baja an vorderster Stelle. Aufgrund der noch nicht vollständig verstandenen ätiologischen Faktoren ist die Behandlung erschwert.
Die meisten Patienten können unter konservativer Therapie beschwerdefrei oder -arm werden. Bei ausgeprägtem Leidensdruck muss eine operative Revision geplant werden, deren Ausmaß dem Patienten vernünftig angepasst werden soll. Ziel soll eine individuelle Beschwerdelinderung sein und nicht immer eine exakte Adressierung der Grundpathologie. Es stehen verschiedene Therapie-Strategien zur Auswahl.
International steigen die Gelenkprothesenzahlen jährlich und auch die damit verbundenen Komplikationen. Dabei stehen Probleme des Streckapparates wie z. B. eine tiefe Patella oben an, obwohl die Gesamtinzidenz niedrig ist (1-4 %) [1]. Ursächlich werden eine gestörte Mikrozirkulation im Rahmen von Arthrofibroseentwicklungen, chronisch regionale Schmerzsyndrome (CRPS), Infektionen, Mikrotraumatisierungen sowie chirurgische Verletzungen vermutet [2].
Eine tiefe Patella äußert sich häufig mit ventralen Knieschmerzen, eingeschränkter Kniebeweglichkeit und einer Extensionsschwäche [2].
Aufgrund von möglichen Veränderungen der Gelenklinien in der Primärprothetik sind eine True-Patella baja mit tatsächlicher Patellarsehnenverkürzung sowie eine Pseudo-Patella baja, wie sie bei „Joint line"-Erhöhungen vorkommt, zu unterscheiden [3, 4]. Dementsprechend muss eine Therapie der Grundpathologie angepasst werden.
Therapie
Konservativ
Die Therapie einer Patella baja bietet nur wenige Möglichkeiten, das Grundproblem der verkürzten Patellarsehne mit einem vernünftigen Risiko-Aufwand-Nutzen-Verhältnis zu beheben. Mikrozirkulatorische Einschränkungen erhöhen die Gefahr der Heilung und es kommt zu Insuffizienzen des Streckapparates, auch Rezidive sind häufig. Aufgrund dieser Schwierigkeiten muss anlässlich der Primärprothetik der Verhinderung einer Patella baja maximale Aufmerksamkeit gewidmet werden. Die Gelenklinie muss erhalten werden, exzessiver Release und große Resektionen sind zu unterlassen, die Patellarsehne ist maximal zu schonen, und ein Patella-Impingement ist zu verhindern [2]. Falls es trotzdem zu einer tiefen Patella kommt, soll das Problem individuell analysiert werden und der persönliche Leidensdruck des Patienten in den Therapieplan einbezogen werden. So können die meisten Patienten mit einer tiefen Patella mittels konservativer Methoden erfolgreich behandelt werden, und es bedarf keiner weiteren chirurgischen Therapie.
Individuell-chirurgische Therapie
Falls die Beschwerden trotz den konservativen Maßnahmen nicht kontrolliert werden können, muss eine individuelle chirurgische Therapie gefunden werden, die dem Leiden des Patienten angepasst erscheint. Es muss ein Optimum zwischen minimaler Modifikation der Prothesenkomponenten respektive der Weichteile und maximaler Revisionschirurgie mit erheblichem Risikoprofil gefunden werden. Viele verschiedene, vorwiegend keiner Evidenz unterliegenden Methoden stehen zur Auswahl [2].
Bei Patella-Impingement können Polyethylenreduktionen bzw. eine Patella-Unterpolresektion bereits erfolgreich eingesetzt werden.
Die häufig verwendeten Proximalisationsosteotomien der Tuberositas tibiae adressieren eine True-Patella baja ungenügend und haben limitierte Einsatzmöglichkeiten, vor allem bei der Behandlung einer Pseudo-Patella baja.
Falls die retropatellären Schmerzen bei Patella baja vordergründig sind, kann ein einfacher sekundärer Retropatellarersatz die gewünschte Besserung bringen.
Bei einer schweren, symptomatischen True-Patella baja müssen Weichteil-verlängernde Operationen mit allfälligen Augmentationen (Quadriceps-Turndown Flap, Semitendinosus, LARS Tumorband) zur Verstärkung des Streckapparates in Erwägung gezogen werden. Die operative Technik sowie die Nachbehandlung nach diesen Operationen sind deutlich aufwendiger.
Salvage-Therapie
In refraktären Fällen muss schließlich als „Salvage Procedure" ein Streckapparat-Allograft-Ersatz oder allenfalls eine Patellektomie [5] diskutiert werden, obwohl damit teilweise größere funktionelle Einbußen in Kauf genommen werden müssen. Erhebliche „Joint-Line"-Veränderungen mit entsprechenden Beschwerden zwingen zu einem Total-Prothesenwechsel mit Einsatz von femoralen und/oder tibialen Augmenten zur Wiederherstellung der Gelenklinie [6]. Diese Operationen sind technisch anspruchsvoll, haben ein hohes Komplikationspotential und bedürfen einer vorsichtigen Nachbehandlung.
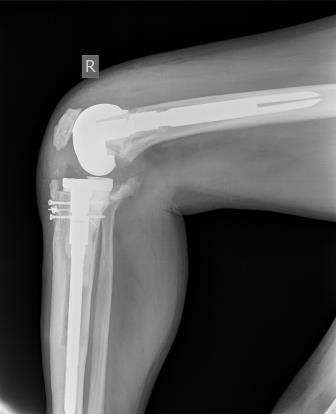
Rezidive der tiefen Patellae kommen trotz korrekter Wiederherstellung der „Joint-Line" immer wieder vor, sodass ein alleiniger TP-Wechsel oft nicht ausreicht und eine Kombination mit anderen Methoden angewendet werden muss, um ein zufriedenstellendes Resultat erzielen zu können (siehe Abb. ).
Aus einem anfänglichen Standardeingriff im Rahmen der Primärprothetik entsteht bei einer Patella-baja-Entwicklung somit sofort eine komplexe Situation.
Literatur:
- Sharma, Ranawat et al.: Does patellar eversion in TKA cause patella baja? Clin Orthop Relat Res Nov; 466(11):2763-8 (2008)
- Chonko, Lombardi, Berend: Patella baja and TKA: etiology, diagnosis and management, Surg Technol Int 12:231-8 (2004)
- Grelsamer RP.: Patella baja after total knee arthroplasty: is it really patella baja? J Arthroplasty Jan (2002)
- Rogers, Thornton-Bott, Cannon, Briggs: Interobserver Variation in the measurement of patellar height after TKA, JBJS (Br) 88-B:484-8 (2006)
- Maslow, Zuckermann, Immermann: TKA in Patients with a previous Patellectomy, Bulletin of Hospital for Hoint Diseases 71 (3):227-30 (2013)
- Saurabh, Khakharia, Scuderi: Restoration of distal Femur Impacts patellar height in Revision TKA, Clin Orthop Relat Res 470:205-210 (2012)
Meist gelesen

DFG bewilligt neuartigen MPI-Scanner für Lübeck
Die Deutsche Forschungsgemeinschaft (DFG) hat den Antrag der Universität zu Lübeck zur Erforschung eines neuartigen Scanners für das Magnetic Particle Imaging (MPI) in Kombination mit Computertomographie (CT) und Hyperthermie in Höhe von etwa 4,3 Millionen Euro bewilligt.

Kostenoptimierung und Förderung strategischer Beschaffung
Kostensenkungen und kurzfristige Kürzungen können die Flexibilität, die Leistung und die strategische Ausrichtung eines Unternehmens beeinträchtigen.

Pro Care 2026 - Die Fachmesse für Kliniken und Pflegeeinrichtungen
Pro Care: vom 10.–11. Februar 2026 auf dem Messegelände Hannover: Erleben Sie Digitalisierung, Lösungsansätze zur Entlastung und für die Zukunft der Pflege.

Klinikum Nürnberg verbessert die Patientenversorgung
Das Klinikum Nürnberg hat mit Beginn des Monats Oktober erfolgreich sein neues Krankenhausinformationssystem ORBIS in Betrieb genommen.

Nachhaltigkeit in der Krankenhaushygiene
Die Krankenhaushygiene schützt vor nosokomialen Infektionen. Gleichzeitig verursacht sie ökologische und ökonomische Effekte.









