Medizinphysik: Wie magnetisierbar ist Hirngewebe?

Jenaer Medizinphysiker richten am 14. und 15. Januar den ersten internationalen Workshop zur magnetischen Suszeptibilitätskartierung aus. Dieses Magnetresonanztomografie-Verfahren vermisst nicht-invasiv magnetische Eigenschaften des Gewebes und erstellt daraus Abbildungen, die für die Diagnostik genutzt werden können. Schwerpunkte des Workshops werden die Weiterentwicklung und mögliche klinische Anwendungen des Verfahrens sein.
Die Magnetresonanztomographie (MRT) hat sich zu einem Standardbildgebungsverfahren in der medizinischen Diagnostik entwickelt. Durchschnittlich jeder zwölfte Bundesbürger wurde 2008 einmal in die „Röhre" geschoben, um Struktur und Funktion seiner Gewebe und Organe beurteilen zu können. Dabei nutzt die MRT gezielt verschiedene Gewebeeigenschaften aus, um durch die Kontrastunterschiede detailreiche Schnittbilder des Körpers zu erstellen.
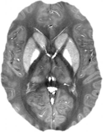
„Die magnetische Suszeptibilitätskartierung stellt hier ein neuartiges MR-tomographisches Verfahren dar, mit dessen Hilfe magnetische Gewebeeigenschaften im Gehirn auf nicht-invasive Weise abgebildet und quantifiziert werden können", so Prof. Dr. Jürgen Reichenbach. Er leitet die Arbeitsgruppe Medizinische Physik am Institut für Diagnostische und Interventionelle Radiologie I des Universitätsklinikums Jena, die zu den Pionieren dieses neuen Verfahrens gehört. Mit Hilfe der Suszeptibilitätskartierung wird die spezifische Magnetisierbarkeit des Gewebes bestimmt und anhand dreidimensionaler Bilder visualisiert. „So lassen sich beispielsweise Eisenablagerungen bei Patienten nachweisen und quantifizieren. Diese Eisenablagerungen spielen bei neurodegenerativen Erkrankungen wie Alzheimer oder Parkinson eine wichtige Rolle", beschreibt Professor Reichenbach eine mögliche Anwendung.
Zu ihrem Workshop am 14. und 15. Januar im Alten Schloss Dornburg erwarten die Jenaer Medizinphysiker mehr als 60 Teilnehmer aus den USA, Europa und Deutschland. Die Spezialisten auf dem Gebiet der Magnetresonanztomographie und der Neurowissenschaften werden neueste Forschungsergebnisse vorstellen und über die Möglichkeiten der neuen Methode zu diskutieren. „Ich bin mir sicher, dass sich viele neue Ansätze für Forschungskooperationen zur Weiterentwicklung dieses viel versprechenden Bildgebungsverfahrens ergeben werden", so Jürgen Reichenbach.















