Megathemen der CT


Das Selbstlernen der Software und Deep Learning das Lernen mittels eines neuralen Netzwerkes, sind Teilbereich der künstlichen Intelligenz und Megathemen der Radiologie der Zukunft.
Canon Medical hat kürzlich die neue AiCE-Technologie vorgestellt, die auf diese Megathemen basiert und die CT-Bildrekonstruktion der Zukunft schon heute anwendet. Neueste Canon Hochleistungs-CTs können bereits von dieser Technologie profitieren.
Die neue KI-Technologie „AiCE“ (Advanced intelligent Clear Image Quality Engine) bietet eine fundamental neue Bildrekonstruktion mit überragender Bildqualität, einer bis dahin nicht erreichten Detailschärfe und einem natürlichen Bildkontrast – schon ab einer Schichtdicke von 0.5 mm. Dabei reduziert AiCE das Rauschen bei gleichzeitigem Erhalt der Textur und des natürlichen Bildeindruckes. AiCE lässt somit Ihre Patienten von einer bis dato nicht erreichten Dosisreduktion und Sie als Radiologe von einer gesteigerten Sicherheit bei der Diagnostik von Dünnschichtbildern profitieren. AiCE basiert auf den Megathemen der Softwareentwicklung und setzt in der radiologischen Diagnostik neue Maßstäbe. Die Megathemen sind: Big Data: das Einspeisen von sehr großen Datenmengen in Form tausender Datensätze, Deep Learning: das Lernen mittels eines neuralen Netzwerkes und Künstliche Intelligenz: das Selbstlernen der Software. Während die Rekonstruktion mittels der neuesten modellbasierten iterativen Rekonstruktion noch ein sehr rechenaufwändiger Prozess ist, der mehr Zeit in Anspruch nimmt und daher überwiegend selektiv eingesetzt wird, arbeitet die neue AiCE-Rekonstruktion von Canon Medical annähernd so schnell wie die bekannte iterative Rekonstruktion und ist damit in der klinischen Routine z. B. für die Weichteildiagnostik einsetzbar. Die Bildtextur und der natürliche Bildeindruck bleiben Dank AiCE erhalten, die Abgrenzung von Organen und Strukturen fällt deutlich leichter, da das Rauschen erkannt und signifikant reduziert wird.
AiCE überwindet bisherige Grenzen
Damit der Radiologe in seiner Umgebung – im Rahmen seiner klinischen Routine - mit AiCE arbeiten kann, wurden zwei Schritte vorbereitet. Im Canon Medical Systems Werk wurde in Schritt I das neuronale Netzwerk mittels einer besonderen Hochleistungshardware aufgesetzt; es wurde ein sog. „Neural Network Training“ mit Tausenden von validierten Datensätzen durchgeführt. Dieses im Werk trainierte neuronale Netzwerk wird in Schritt II beim Kunden auf einer eigenen Hochleistungshardware installiert. Die beim Radiologen vor Ort gescannten Daten werden mittels AiCE rekonstruiert und stehen der Befundung in beeindruckender Geschwindigkeit unmittelbar zur Verfügung. Der Trainingsprozess des neuronalen Netzwerkes ist rechnerisch sehr aufwändig: Der Massendatenspeicher „Big Data“ wurde mit zwei Arten von Datenmengen gespeist: mit einer Vielzahl hochqualitativer Datensätze, die zuvor mittels modellbasierter Iteration in den Rohdaten mit überproportional häufigen Iterationen und deutlich erhöhter Rechenleistung rekonstruiert wurde und mit einer Vielzahl von Ultra-Low-Dose Datensätzen, wie sie in der täglichen Routine bei Niedrigdosisuntersuchungen vorkommen. Eine Software mit einem „Deep Convolution Neural Network“ wurde angelernt, Organstrukturen voxelgenau im menschlichen Körper zu erkennen - das neuronale Netzwerk weiß nach dem Trainingsprozess, welche Zusammenhänge zwischen Low-Dose-Datensätzen und hochqualitativen Datensätzen bestehen - dieses Wissen dient der Rekonstruktion von Low-Dose-Datensätzen zu einem perfekten diagnostischen Bild.
UHR-CT arbeitet bereits mit KI
Schaut man sich die Weiterentwicklung der CT der letzten Dekaden an, so gab es im Wesentlichen drei wesentliche Innovationen: Die Vervielfachung der Geschwindigkeit hinsichtlich Akquisition und Rekonstruktion, die Multi-Slice-CT mit Verbreiterung der Scan-Abdeckung bis zum Volumen-CT sowie die signifikante Reduktion der Röntgen- und KM-Dosis. Doch die räumliche Auflösung lag in den letzten Jahrzehnten bei 0,3 mm. Der neue Ultra-High-Resolution-CT Aquilion Precision (UHR-CT) von Canon Medical Systems verschiebt die bisherige Grenze der räumlichen Auflösung und bietet eine völlig neue Dimension der Bildgebung – erstmals seit Jahrzehnten wird in der humanen CT die Auflösung „verdoppelt“ oder anders ausgedrückt: sie liegt nun bei 150 Mikrometer – das ist einzigartig in der CT.
Verdoppelte räumliche Auflösung
Dabei lehren die Grundlagen der Physik so manche Hürden, die zu überwinden waren. Eine Vielzahl von Weiterentwicklungen der bekannten Technologien waren notwendig, so dass man heute von einem fundamental neuen Design sprechen kann. Die neuen 0,25 mm miniaturisierten Detektorelemente bieten die vierfach höhere Detektorelementdichte – einzigartig in der CT. Die neue räumliche Auflösung von 50 LP/cm erreichen eine bisher nicht gekannte Detailgenauigkeit. Für diese neue Dimension wurde gleichermaßen eine neue Rekonstruktionstechnologie entwickelt, die mit verschiedenen Rekonstruktionen arbeitet. Während die 512 x 512 Matrix bekannt und gebräuchlich ist, führt die hochauflösende 1.024 x 1.024 Matrix zu einer deutlich verbesserten Detailauflösung. Die ultra-hochauflösende 2.048 x 2.028 Matrix ist jedoch ein weiterer Superlativ der Spezifikationen und nun erstmals für die humane Radiologie einsetzbar.
Neue 2.048 x 2.048er Matrix
Der neue UHR-CT ist unmittelbar für den Einsatz in der Routine bereit – seine Spezifikationen sind marktführend: Die 78 cm Gantryöffnung in Kombination mit der lateralen 80 mm Tischverschiebung bietet sowohl Ärzten wie auch Patienten maximalen Raum, der insbesondere bei bildgesteuerten Interventionen oder bei Patienten in der Traumaversorgung von großer Bedeutung sein kann. Selbstverständlich, wie alle Canon-CTs für die Radiologie, bietet der neue UHR-CT eine Gantryneigung von 30°, so dass die strahlensensible Augenlinse bei Schädel-CTs ausgeblendet werden kann, wie es die Literatur empfiehlt.
Vielfältige neue klinische Anwendungen
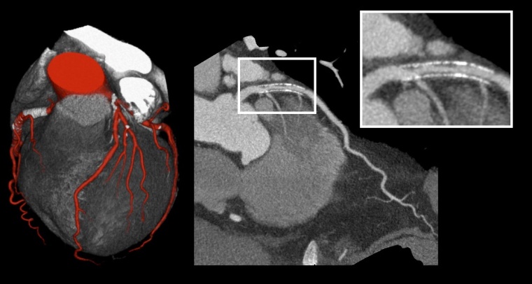
Die Anwendungen der UHR-CT sind vielfältig. In den Bereichen Onkologie, Angiographie, Tumoridentifikation und Verlaufskontrolle kann die neue Auflösung entscheidende Details liefern. Die Darstellung kleinster knöcherner Strukturen, ob bei Frakturen oder knöcherner Hochauflösung im Innenohr wird revolutioniert. Die UHR-Cardio-CT zeigt völlig neue Einblicke in die Koronarien, da Kalzifizierungen wesentlich präziser dargestellt werden können. Die Beurteilung von Stents und Stentlumina bietet eine bisher nicht gekannte Detailgenauigkeit, was die Diagnose entscheidend erleichtern wird. Die Kombination aus Ultra-High-Resolution-CT einerseits und dem Einsatz künstlicher Intelligenz andererseits wird die CT der Zukunft entscheidend prägen.
Meist gelesen

Pro Care 2026 zeigt innovative Versorgungslösungen aus der Hauswirtschaft
Pflegequalität entsteht nicht nur am Pflegebett, sondern in allen Bereichen des Alltags, die das Leben in einer Einrichtung prägen.

So hilft KI im OP-Management
Forscher wollten herausfinden, wie KI das OP-Management optimieren kann.

„Eigenständigkeit wertet den Pflegeberuf auf“
Bundesgesundheitsministerin Nina Warken im Interview: APN – Advanced Practice Nurse – soll die akademische Laufbahn innerhalb der Pflegeberufe öffnen und damit bessere Karriereaussichten ermöglichen.

Neues Sequenzier-Labor am Krankenhaus Merheim eröffnet
Das Krankenhaus Merheim der Kliniken der Stadt Köln hat am 7. Oktober 2025 offiziell sein neues Sequenzier-Labor in Betrieb genommen – ein bedeutender Schritt in Richtung moderner, personalisierter Krebsmedizin.

"Die Quellensuche war eine Herausforderung“
Am Universitätsklinikum Frankfurt am Main trat 2023 eine systemische P. aeruginosa Trinkwasserkontamination auf. Als wahrscheinliche Kontaminationsquelle wurde ein Wasserzähler identifiziert.










