Modulare Revisionsschäfte für die Hüfte








Das Implantatlager ist sowohl durch den Defekt als auch durch den Umbau des knöchernen Lagers (Sklerose, fehlendes Spongiosabett) bezüglich der neuen Verankerungsmöglichkeiten stark kompromittiert. Neben einer stabilen Verankerung des neuen Schaftes muss gleichzeitig die Biomechanik (Offset, Beinlänge, Anteversion) rekonstruiert werden, um die Funktion des Gelenkes nicht noch weiter zu verschlechtern.
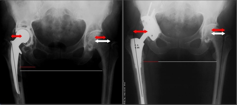
Standardschäfte oder Monoblock-Revisionsschäfte erlauben in nur sehr begrenztem Umfang die Adaptation an diese Bedingungen. Sie erfordern in der Regel eine distale Fixierung, ermöglichen nur eine inkomplette Füllung der Defekte, Offset und Anteversion sind nicht variabel und die Beinlängenadaptation limitiert (Abb. 1a, b).
Mittlerweile bieten die meisten etablierten Implantathersteller für die Versorgung solcher Fälle modulare Revisionsschäfte an. Prinzipiell bestehen sie aus einer proximalen metaphysären Komponente, einem distalen Schaft sowie dem Kopf. Als weitere modulare Elemente gibt es je nach Modell bauteilsichernde Schrauben oder Muttern, Verlängerungskomponenten, Verriegelungsschrauben oder -bolzen, modulare Hälse und sog. Sleeves, d. h. Augmente in Form von Hülsen, die eine defektfüllende und stabilisierende Funktion haben.
Gemäß DIMDI (2013) gilt als zu kodierende modulare Endoprothese (5-829.k) eine gelenkbildende Implantatkomponente, die aus mindestens 3 metallischen Einzelbauteilen besteht, welche in ihrer Kombination die mechanische Bauteilsicherheit der gesamten Prothese gewährleisten. Der Aufsteckkopf der Endoprothese wird dabei nicht mitgezählt (Abb. 2).
Grundsätzlich lassen sich drei verschiedene modulare Schaftkomponenten definieren:
A. Schaftimplantate mit rein distaler Fixierung
B. Schaftimplantate mit distaler und proximaler Fixierungsoption bzw. proximaler Defektfüllung
C. Schaftimplantate mit distaler und proximaler Fixierungsoption bzw. proximaler Defektfüllung sowie modularem Hals
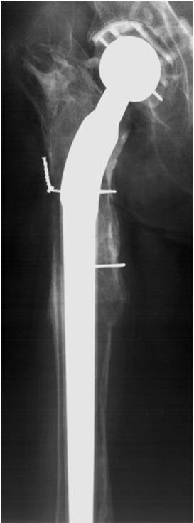
Unter allen drei Implantattypen gibt es Modelle mit Verlängerungskomponenten bzw. Verriegelungs- bzw. Verbolzungsmöglichkeit (Abb. 3).
Vorteile
Die relevanten Vorteile, die ein modularer Revisionsschaft bietet, sind:
a. die Möglichkeit zur unabhängigen und individuellen Anpassung der Orientierung von Metaphyse und distalem Schaft.
Die intramedulläre Form des Knochens sowie die Orientierung von Metaphyse und Diaphyse sind interindividuell bei der Revision sehr variabel. Die stabile Verankerung und Defektfüllung des Revisionsschaftes kann durch eine unabhängige Kombination der beiden Komponenten bezüglich Ausrichtung und - je nach Modell -, auch Größe optimiert werden (Kopec et al. Iowa Orthop. J. 2009).
b. die Rekonstruktionsmöglichkeit der Biomechanik (Offset, Beinlänge, Anteversion) auch nach Fixierung der diaphysären Komponente.
Je nach Modellvariante können mit einem modularen System durch Rotation und Formwahl der metaphysären Komponente Offset, Beinlänge und Anteversion effektiv rekonstruiert werden. Dieses dient der Funktionsverbesserung des Gelenkes, das durch die Voreingriffe mit ohnehin schon kompromittierter Muskulatur vorgeschädigt ist (Abb. 4).
c. Flexibilität bei Überbrückung und Auffüllung proximaler und distaler Defekte.
Die Defektsituation bei verschiedenen Schaftrevisionen variiert erheblich. Durch die Variabilität der Kombination verschiedener Längen, Größen, Durchmesser und Kombinationsmöglichkeiten der modularen Komponenten, kann intraoperativ auf diese Defektsituation individuell eingegangen werden.
d. Flexibilität bei der Wahl des Fixationstyps (distal, proximal oder kombiniert).
Bei Modellvarianten, bei denen die metaphysäre Komponente in verschiedenen Dimensionierungen zur Verfügung steht, kann je nach Defektlokalisation und Ausdehnung nicht nur eine distale Verankerung unterhalb des Defektes erzielt werden, sondern zusätzlich oder in Kombination auch eine proximale Verankerung bzw. Abstützung realisiert werden.
e. Anpassungsmöglichkeit an schwierige Defektsituationen und Knochenverluste.
Bei der großen Varianz an Defeksituationen, die einem im Rahmen von Revisionsoperationen begegnen, erlauben modulare Revisionskomponenten auch die Versorgung extrem ausgedehnter Knochendefekte (Abb. 5).
f. Intraoperative Lösung von Problemen wie Instabilität, Impingement auch bei Re-Revisionen durch Austausch einzelner Komponenten.
Kommt es nach Verankerung der Komponenten z. B. durch eine vorbestehende oder nicht zu umgehende ungünstige Positionierung der Pfanne zu einer Luxationsneigung oder einem Impingement zwischen Hals und Pfanne, so kann durch Umorientierung der metaphysären- bzw. Halskomponente dieses Problem gelöst werden. Tritt dieses Problem postoperativ auf, kann es im Rahmen einer Re-Revision durch isolierten Austausch oder alleinige Positionsänderung der metaphysären Komponente oder des Halses erfolgreich angegangen werden (Abb. 6).
Nachteile
Mögliche Nachteile von modularen Schaftendoprothesen werden immer wieder diskutiert. Sie müssen bedacht und in ihrer Relevanz eingestuft werden können. Nur so gelingt eine saubere Abwägung zwischen den genannten Vorteilen und den Risiken der Modularität. Zu den Nachteilen gehören:
a. strukturelle Probleme an den Metall-Metall-Verbindungen aufgrund zyklischer Mikrobewegungen (Reibkorrosion) oder kritischer Spaltgröße (Spaltkorrosion)
b. Ermüdungsverhalten der Komponenten (Bruch)
c. Instabilität an den Verbindungsstellen (Diskonnektion)
Für die einzelnen Probleme gibt es Hinweise in der Literatur (Meneghini et al. Orthopedics 2012, Fraitzl et al. J Arthroplasty 2011, Grupp et al. BMC Musculoskelet Disord. 2010, Orthopaedia - Collaborative Orthopaedic Knowledgebase. Created Jan 12, 2008 08:23, Heim et al. AAOS 1995). In der Regel werden jedoch Einzelfälle berichtet, während ein serienmäßiges Auftreten die Ausnahme darstellt und immer nur eine Modellvariante betrifft und ein gesetzmäßiges Vorkommen bisher nicht nachweisbar ist. Die Reduktion dieser Risiken ist möglich durch Auswahl bewährter Implantate, adäquate Testung der Steckverbindungen (Pallini et al. Artif Organs. 2007, Schramm et al. Biomed Tech 2000, Mroczkowski ML et al. J Orthop Res. 2006), Montage der Komponenten ohne Verletzung der Oberflächen, ex-situ Montage der Bauteile, soweit möglich, saubere in-situ Montage unter Vermeidung des Einschlusses von Flüssigkeit, Blut oder Partikeln sowie einer Oberflächenbearbeitung durch Anodisierung.
Eigene Erfahrungen und Literatur
Eigene Erfahrungen mit einem modularen Schaftsystem beruhen auf insgesamt 385 Implantationen eines modularen Revisionsschaftes mit zusätzlichem modularen Halsteil. 97 Implantate wurden über einen Zeitraum von durchschnittlich 6,2 Jahre (5-10 Jahre) systematisch nachuntersucht. Die Ergebnisse belegen, dass die Rekonstruktion der Hüftgeometrie effektiv möglich ist. Ein Versagen der modularen Komponenten trat nicht auf. Die Überlebensrate der Schäfte betrug nach 10 Jahren 96,5 % (Köster et al., J. Arthroplasty 2008, Köster et al., Orthopäde 2009). Eine Übersicht der Literatur über klinische Ergebnisse verschiedener modularer Revisionsschäfte belegt, dass das Prinzip funktioniert und etabliert ist (Tabelle).
Zusammenfassung
Zusammenfassend kann festgestellt werden, dass modulare Revisionsschäfte sich in der klinischen Anwendung bewährt haben. Sie bieten eine flexible Anpassungsmöglichkeit an Defektsituationen und Knochenverluste und erlauben eine individuelle und unabhängige Anpassung der Orientierung von Metaphyse und distalem Schaft. Die bei der Revision angestrebte Rekonstruktion der Biomechanik (Offset, Beinlänge Anteversion) wird erleichtert und ist auch nach sicherer Fixierung der diaphysären Komponente möglich. Nicht zuletzt bieten modulare Systeme eine wertvolle Hilfe zur Lösung intraoperativer Probleme wie Instabilität und Impingement.
Spezifische Probleme der Modularität wie Korrosion, Bruch oder Diskonnektion sollten nicht ignoriert werden, sind aber selten. Modulare Revisionsschäfte sind deshalb heutzutage eine wertvolle Option für die Rekonstruktion von Defektsituationen und für eine sichere Implantatverankerung bei Schaftwechseln an der Hüfte.
Literatur beim Verfasser
Meist gelesen

Richtiges Händewaschen: Die Temperatur ist nicht entscheidend
Welchen Einfluss hat die Wassertemperatur, die Waschdauer und die Wassermenge auf das Händewaschen? Zwei Studien der Medizinischen Universität Wien zeigen überraschende Ergebnisse.

Zukunftsfähig: Neuausrichtung des TAVI-Programms im Asklepios St. Georg
Mit der Prozessoptimierung des TAVI-Programms gelang es dem Team für strukturelle Herzerkrankungen, wirtschaftliche Effizienz und Mitarbeiterzufriedenheit zu steigern – ein Gewinn für alle Seiten.

Ein Brief an die Zukunft: Stefan Drägers Vision vom Krankenhaus der Zukunft
Stefan Drägers Brief an das Krankenhaus der Zukunft und über die Vision seiner Familie.

Pro Care 2026 - Die Fachmesse für Kliniken und Pflegeeinrichtungen
Pro Care: vom 10.–11. Februar 2026 auf dem Messegelände Hannover: Erleben Sie Digitalisierung, Lösungsansätze zur Entlastung und für die Zukunft der Pflege.

Doppeltes Risiko: Kombination zweier Genvarianten begünstigt Entzündung und Krebs
Kieler Forschungsteam hat zwei Genveränderungen identifiziert, die im Zusammenspiel bei Menschen mit chronischen Darmentzündungen das Risiko für Darmkrebs erhöhen könnten.








