Pädiatrische Radiologie: Spezialisten für die Bedürfnisse der Kinder




Kinderradiologie ist eine faszinierende Mischung aus diagnostischer Hightech-Medizin, verbunden mit einer starken patientennahen Interaktivität. Wer sich diesem Teilgebiet der diagnostischen Radiologie verschreibt, muss beides lieben.
Und die meisten Kinderradiologen tun dies auch. Ja, es macht wirklich Spaß, mit den kleinen Patienten, deren Müttern oder Vätern zu arbeiten. Natürlich kann es gelegentlich auch anstrengend sein, mit überbesorgten oder komplizierten Eltern zu reden, aufgeregte Babys zu beruhigen oder mit Pubertierenden zu diskutieren. Aber es entsteht dabei ein für die Radiologie ungewöhnlich enges und dadurch oft sehr persönlich geprägtes Arzt-Patienten-Verhältnis. Wer den klinischen Aspekt seiner Tätigkeit verstärken will, ist als Radiologe in der Pädiatrischen Radiologie genau richtig und willkommen.
Ein Fach mit vielfältigen Ansprüchen
Die Freude an dem technisch hochinnovativen Fach Radiologie ist die andere Komponente, die der Kinderradiologe einbringt. Er muss einerseits sämtliche Bildgebungsmethoden, die er während seiner Radiologieausbildung erlernt hat, für seine kleinen Patienten adaptieren und optimieren. Andererseits gleichzeitig dem medizinischen Fortschritt auf dem Gebiet der Kinderheilkunde, der Kinderchirurgie und der pränatalen Diagnostik/Geburtshilfe gerecht werden. Die Kehrseite der Medaille ist: Diese vielfältigen Ansprüche zu bedienen, ist an vielen Einrichtungen mit reduzierten Personalressourcen ein Balanceakt geworden, der längst nicht immer gelingt. Kinderradiologie wird daher inzwischen nicht mehr flächendeckend angeboten, sondern nur noch in den Einrichtungen der Maximalversorgung vorgehalten. Sie ist jedoch an diesen Einrichtungen als werbewirksamer Standortvorteil für die eigene Kindermedizin erkannt und deshalb an solchen Orten auch konsequent ausgebaut worden. Der Kinderradiologie kommt dort eine Leuchtturmfunktion zu - ein eindeutiger Wettbewerbs- und Standortvorteil innerhalb der kompetitiven Kindermedizinzentren.
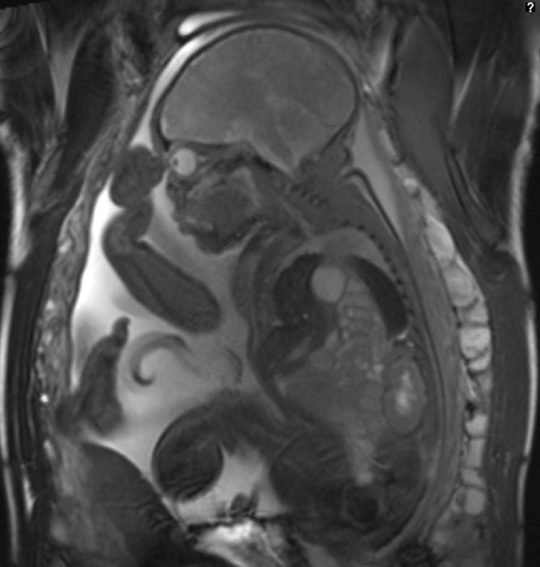
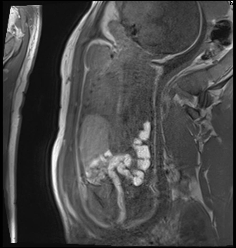
Pränatale MRT-Diagnostik: Sinnvolle Ergänzung zum Ultraschall
Ein relativ neues Arbeitsfeld für den Kinderradiologen ist die pränatale MRT-Diagnostik. Zunächst zwar argwöhnisch von den gynäkologischen Pränataldiagnostikern beäugt, gehört sie inzwischen in jedes ernst zu nehmende Fetalzentrum. Die Erfahrung, dass es sich beim fetalen MRT nicht um eine Konkurrenz zur Ultraschalldiagnostik handelt, sondern um deren logische und sinnvolle Erweiterung, ist im Bereich der Hirnbildgebung unumstritten. Grund dafür ist der deutliche überlegene Weichteilkontrast des MRT. Hirnfehlbildungen, insbesondere Migrationsstörungen und Hirnfaltungsverzögerungen, sind dadurch sicherer zu diagnostizieren. Das trifft aber in gleicher Weise auch für Fehlbildungen der hinteren Schädelgrube zu. Auch bei schwierigen Ultraschall-Bedingungen, wie einer extremen Adipositas der Mutter oder bei tief im Becken stehendem Kopf des Fetus, ist die fetale MRT-Diagnostik heute eine gute Alternative.
Im Thoraxbereich hat sich die Volumenbestimmung der fetalen Lunge bei Zwerchfellhernie als valide Zusatzinformation und als wichtiger Prognoseparameter gezeigt. Die Wahl eines geeigneten Entbindungszentrums mit ECMO-Möglichkeit und Thorax-Kinderchirurgie ist von diesen Untersuchungsergebnissen stark abhängig.
Zwar ist die Zahl der intrauterinen Interventionen in Deutschland nur gering, doch auch in diesen Fällen ist eine vorherige MRT-Diagnostik und eine interdisziplinäre Befundbesprechung meist unumgänglich. Die betroffenen Eltern werden oft in diese Fallkonferenzen eingeladen und fühlen sich dann mit ihren Problemen angenommen und gut betreut. Das führt zu einer zeitigen Bindung der Mütter an das betreuende Fetalzentrum. Dem Kinderradiologen kommt dabei im Fetalzentrum eine zunehmend wichtigere und zentrale Stellung zu.
Der pädiatrische Ultraschall lohnt sich auch betriebswirtschaftlich
Ultraschall bleibt natürlich das „Arbeitspferd" der Kinderradiologie, was die Untersuchungs- und Patientenzahlen betrifft. Da der Ultraschall viel Personal erfordert, ist eine adäquate Personalausstattung daher notwendig. Andererseits spart der „preiswerte" kinderradiologische Ultraschall enorm an Kosten: Eine größere Anzahl von weiterführenden Schnittbilduntersuchungen, die zu einem relevanten Kostenfaktor geworden sind, werden eingespart. Kostenintensivere Folgeuntersuchungen mit MRT sind bei Kindern seltener als im Erwachsenenbereich, was durch die naturgemäß besseren Schallbedingungen bei Kindern bedingt ist. Insofern ist die Investition in qualifiziertes ärztliches Personal, in gute Ultraschallgeräte und in eine adäquate kindgerechte Schallkopfausstattung eine betriebswirtschaftlich lohnenswerte Ausgabe.
Im Bereich der Hirndiagnostik und bei Tumorerkrankungen ist die MRT-Diagnostik allerdings konkurrenzlos und daher zwingend und hat sich in den vergangenen Jahren zur zweithäufigsten Schnittbild-Untersuchungsmodalität in der Kinderradiologie entwickelt. CT-Untersuchungen nehmen dagegen aus strahlenhygienischen Gründen nur noch einen marginalen und zudem kontinuierlich abnehmen Anteil an der Schnittbilddiagnostik im Kindesalter ein. Indikationsgerechte CT-Diagnostik kommt nur noch beim kindlichen Trauma sowie in eingeschränktem Maße auch bei der Lungendiagnostik zum Einsatz.
Wir haben mit einem in der Kinderradiologie aufgestellten 3.0T-MRT über einen Zeitraum von über fünf Jahren auch im Abdomen- und Thoraxbereich beste Erfahrungen sammeln können. Dessen höhere Feldstärke wirkt sich positiv auf Untersuchungszeiten und Bildqualität bei Kindern aus, während die bei volumenkräftigen erwachsenen Patienten bekannten Artefakte aufgrund der kleineren Körperdurchmesser bei 3.0 T nicht so relevant werden.
Weniger Strahlen dank PET-MRT
Seit 2011 steht der Leipziger Kinderradiologie auch ein PET-MRT im Methodenportefeuille zur Verfügung, das im Leipziger PET-MRT-Konsortium gemeinsam von der Nuklearmedizin, der Diagnostischen Radiologie, der Neuroradiologie und der Kinderradiologie betrieben wird.
Erste eigene Erfahrungen mit dieser Hybridbildgebung zeigen, dass im Vergleich mit der zuvor angewendeten PET-CT-Technik bei Kindern eine enorme Reduktion der Strahlenexposition von rund 80 % erreicht werden kann, ohne dass die diagnostische Sicherheit darunter leidet. Die PET-MRT wird daher in Leipzig - bei klinischer Indikation - bei allen Patienten mit dissiminierenden onkologischen Erkrankungen im Kindesalter eingesetzt. Die ersten Leipziger Erfahrungen mit der Methode wurden im Januar 2013 in der Zeitschrift Pediatric Radiology publiziert. Im Methodenwettbewerb scheint sich für das PET-MRT hier eine klare Indikation herauszukristallisieren (Kinder-PET-MR). Dass diese Einschätzung auch von anderen Kinderzentren geteilt wird, dafür spricht auch das weltweit große Interesse von kinderonkologischen Einrichtungen an dieser neuen Hybrid-Bildgebungsmodalität.
Kinderradiologie ist als kleines, aber wichtiges Teilgebiet der Radiologie ein spannendes Fach. Neue Entwicklungen wie beispielsweise die fetale MRT und die PET-MRT zeigen, dass sich - ebenso wie in der gesamten Radiologie - oft unerwartet neue diagnostische Möglichkeiten und Arbeitsfelder ergeben. Eltern nehmen es dankbar an, wenn es Kollegen gibt, die für die Erkrankungen und die besonderen Bedürfnisse ihre Kinder spezialisiert sind.
Meist gelesen

Krebsmedikamente: Wie sich Nebenwirkungen am Auge behandeln lassen
Moderne Krebsmedikamente wie Antikörper-Wirkstoff-Konjugate (ADCs) und Immuntherapien können schwerwiegende Nebenwirkungen am Auge bis hin zur Erblindung verursachen.

Pro Care 2026 zeigt innovative Versorgungslösungen aus der Hauswirtschaft
Pflegequalität entsteht nicht nur am Pflegebett, sondern in allen Bereichen des Alltags, die das Leben in einer Einrichtung prägen.

Pro Care 2026 - Die Fachmesse für Kliniken und Pflegeeinrichtungen
Pro Care: vom 10.–11. Februar 2026 auf dem Messegelände Hannover: Erleben Sie Digitalisierung, Lösungsansätze zur Entlastung und für die Zukunft der Pflege.

ATOS Wiesbaden setzt bei Anästhesie auf besonders schonende und sichere Narkose-Dreifachkombi
Wenn es um das Thema Anästhesie für operative Eingriffe geht, stehen Ärzten unterschiedliche Methoden zur Verfügung. Ein besonders innovatives Verfahren setzt die ATOS Klinik Wiesbaden als eine von wenigen Kliniken seit Jahren standardmäßig ein.

Zukunftsfähig: Neuausrichtung des TAVI-Programms im Asklepios St. Georg
Mit der Prozessoptimierung des TAVI-Programms gelang es dem Team für strukturelle Herzerkrankungen, wirtschaftliche Effizienz und Mitarbeiterzufriedenheit zu steigern – ein Gewinn für alle Seiten.









