Zum Weltkrebstag 2023: Radiologische Verfahren in der Onkologie
Erkrankungen des Herz-Kreislauf-Systems und Krebs gehören in Deutschland zu den Volkskrankheiten. Überdurchschnittlich oft verlaufen sie tödlich - allein an Krebs sterben hierzulande jedes Jahr rund 230.000 Menschen. Etwa 510.000 Krebsneuerkrankungen werden pro Jahr registriert.
Bei der Diagnose und Therapie betroffener Patientinnen und Patienten spielt die radiologische Bildgebung eine wichtige Rolle. Mit ihren Verfahren trägt die Radiologie entscheidend dazu bei, die Heilungschancen von Krebspatientinnen und -patienten zu erhöhen oder die bestmögliche Lebensqualität für sie sicherzustellen.
Operationen, Chemotherapien und Bestrahlungen gehören zu den zentralen Säulen der Behandlung von Patientinnen und Patienten, die an Krebs erkrankt sind und nehmen, je nach Krebsart, Stadium der Erkrankung und Organbefall, in der Behandlung Erkrankter einen unterschiedlichen Stellenwert ein. Diagnostik, Therapie und Verlaufskontrolle bei Krebserkrankungen sind ohne die radiologische Bildgebung mit ihren Verfahren wie der Magnetresonanztomografie (MRT) oder der Computertomografie (CT) kaum denkbar. Die Rolle der radiologischen Bildgebung in der Onkologie lässt sich etwa am Beispiel des Bauchspeicheldrüsenkrebses nachvollziehen. „Bei dieser Krebsart ist auch aktuell eine Operation in der Regel die einzige realistische Chance auf Heilung. Früher hat man viele Patientinnen und Patienten operiert, um nachzuschauen, ob der Tumor entfernt werden konnte“, erklärt Prof. Dr. Stefan Diederich, Chefarzt und Leiter des Instituts für Diagnostische und Interventionelle Radiologie am Marienhospital Düsseldorf, und Mitglied in der Arbeitsgemeinschaft Onkologische Bildgebung der Deutschen Röntgengesellschaft. „Je nachdem, wurde der Tumor entfernt - oder nicht. In diesem Fall war die Operation für die Betroffenen überflüssig und nur belastend. Das kann man heute durch die Bildgebung, speziell durch MRT und CT, meistens vermeiden.“
Bedeutung minimal-invasiver Verfahren
Für Patientinnen und Patienten bedeutet dies zwar keine messbar bessere Heilungschance, aber ein Zugewinn an Lebensqualität, da sie die ihnen verbleibende Zeit ohne die negativen Begleiterscheinungen einer Operation verbringen können. Klassische Operationen können teils auch durch die minimal-invasiven Verfahren der interventionell-radiologischen Onkologie vermieden werden. Solche Verfahren haben das therapeutische Spektrum in der Onkologie stark erweitert, sie können die Überlebensraten von Patientinnen und Patienten erhöhen oder zumindest zu mehr Lebensqualität beitragen. „Die Akzeptanz solcher Verfahren auf Seiten der Patientinnen und Patienten ist meistens gegeben, weil sie genau dem entsprechen, was sie sich wünschen – kleiner Schnitt, kleiner Schmerz, kleines Risiko“, so Professor Diederich.
Die radiologische Bildgebung wird darüber hinaus immer häufiger in der individualisierten Medizin im Bereich der Onkologie eingesetzt. Gegenüber den früher gebräuchlichen sehr standardisierten Behandlungen kommen heutzutage vermehrt „personalisierte“ Behandlungskonzepte zum Einsatz, bei denen die Behandlung sehr präzise auf die genauen Besonderheiten des Tumorleidens bei der einzelnen Patientin oder beim einzelnen Patienten zugeschnitten werden. Verschiedene Tumoren im selben Organ zeigen unterschiedliche Ausprägungen, die mithilfe der radiologischen Bildgebung teils frühzeitig klassifiziert werden können, sodass man auch eine Prognose treffen kann, um welchen Tumortypen es sich im konkreten Fall handelt. „Es gibt zum Beispiel die Perfusions-CT, die Erkenntnisse über die Durchblutung eines Tumors liefert. Die Art und Weise, wie hier der Tumor das Kontrastmittel aufnimmt, kann wichtige Hinweise geben, wie bösartig er in dem jeweiligen Organ sein wird“, erläutert Professor Diederich.
Bildgebung und individualisierte Tumortherapie
Die Bildgebung ist zum Beispiel auch entscheidend bei der Frage, ob ein Tumor vorbehandelt werden soll, etwa mit einer Chemotherapie, einer Bestrahlung oder auch beidem. Es gibt für bestimmte Tumoren Indizien, die darauf hinweisen, ob sie auf eine solche - als neoadjuvant bezeichnete - Therapie ansprechen werden oder nicht. Die Vorhersage, ob eine Vorbehandlung erfolgreich sein wird, ist ein wichtiges Thema beim Konzept der individualisierten Tumortherapie. „Darüber hinaus spielt die Bildgebung auch bei der Verlaufskontrolle eine immer wichtigere Rolle. Traditionell erfolgte eine Verlaufskontrolle in relativ großen Zeiträumen und orientierte sich allein an der Größe des Tumors“, sagt Professor Diederich. „Eine Chemotherapie beispielsweise musste den Tumor beziehungsweise die Krebszellen zunächst zerstören. Diese toten Zellen wurden dann im Körper abgebaut und erst danach war im positiven Fall ein Schrumpfungsprozess bildgebend erfassbar, das heißt der Tumor war im Durchmesser kleiner geworden. Mit Methoden wie Perfusions-CT und MRT, Messung des ADC-Wertes oder auch PET-CT, kann man schon sehr früh, nach einer Woche oder im günstigsten Fall schon nach einem Tag, eine Aussage darüber treffen, ob der Tumor auf eine Therapie anspricht.“ Die Bildgebung liefert also zu einem bereits frühen Zeitpunkt Hinweise, um die Wirksamkeit einer gewählten Therapie beurteilen zu können und bietet so die Möglichkeit, Therapien, die nachweislich keine Veränderung herbeiführen, sehr früh wieder abzusetzen.
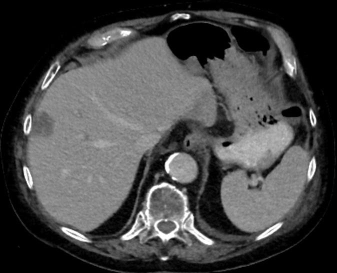
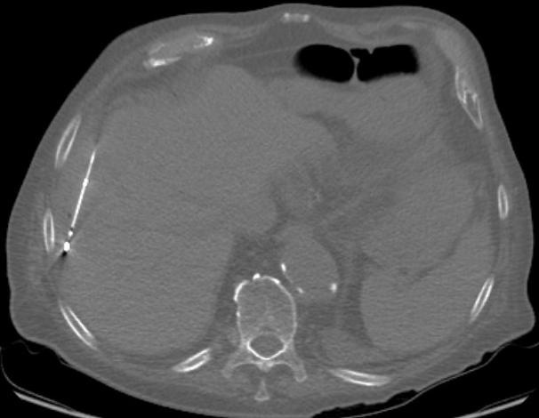
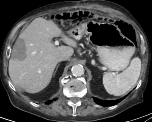
Fotos: 83jähriger Patient mit Hemikolektomie links wegen eines Adenokarzinoms der linken Kolonflexur. Nach einem Jahr Auftreten einer solitären Lebermetastase. Tumorboardbeschluss einer CT-gesteuerten Mikrowellenablation der Lebermetastase.



Meist gelesen

Neues Sequenzier-Labor am Krankenhaus Merheim eröffnet
Das Krankenhaus Merheim der Kliniken der Stadt Köln hat am 7. Oktober 2025 offiziell sein neues Sequenzier-Labor in Betrieb genommen – ein bedeutender Schritt in Richtung moderner, personalisierter Krebsmedizin.

Pro Care 2026 - Die Fachmesse für Kliniken und Pflegeeinrichtungen
Pro Care: vom 10.–11. Februar 2026 auf dem Messegelände Hannover: Erleben Sie Digitalisierung, Lösungsansätze zur Entlastung und für die Zukunft der Pflege.

Krebsmedikamente: Wie sich Nebenwirkungen am Auge behandeln lassen
Moderne Krebsmedikamente wie Antikörper-Wirkstoff-Konjugate (ADCs) und Immuntherapien können schwerwiegende Nebenwirkungen am Auge bis hin zur Erblindung verursachen.

ATOS Wiesbaden setzt bei Anästhesie auf besonders schonende und sichere Narkose-Dreifachkombi
Wenn es um das Thema Anästhesie für operative Eingriffe geht, stehen Ärzten unterschiedliche Methoden zur Verfügung. Ein besonders innovatives Verfahren setzt die ATOS Klinik Wiesbaden als eine von wenigen Kliniken seit Jahren standardmäßig ein.

Pro Care 2026 zeigt innovative Versorgungslösungen aus der Hauswirtschaft
Pflegequalität entsteht nicht nur am Pflegebett, sondern in allen Bereichen des Alltags, die das Leben in einer Einrichtung prägen.










