
Helga-Reifert-Preis für Krebsforschung
Dr. Johannes Falter und Dr. Benedikt Wagner vom Universitätsklinikum Regensburg erhielten für ihre Krebsforschung den Helga-Reifert-Preis.

Dr. Johannes Falter und Dr. Benedikt Wagner vom Universitätsklinikum Regensburg erhielten für ihre Krebsforschung den Helga-Reifert-Preis.

Varun Venkataramani erhält den Paul Ehrlich- und Ludwig Darmstaedter-Nachwuchspreis 2026.

Auf dem DGN-Kongress wurde der Wissenschaftspreis der Deutschen Gesellschaft für Neurologie 2025 an PD Dr. med. Dr. rer. nat. Lukas Bunse, Mannheim, verliehen.

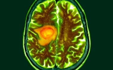
Glioblastome sind bösartige Gehirntumore mit bedrückender Prognose. Die mittlere Überlebenszeit der betroffenen Patienten beträgt bei einer optimalen Standard-Therapie zwölf bis 18 Monate.

Die Deutsche Gesellschaft für Immunologie (DGfI) vergibt an ihre Mitglieder einmal jährlich den Herbert-Fischer-Preis für Neuroimmunologie.

Wie medizinisches Personal und Betroffene am UKM von VR-Brillen profitieren.

Forscher am Deutschen Krebsforschungszentrum (DKFZ) und an der Universitätsmedizin Mannheim (UMM) haben eine vielversprechende zelluläre Immuntherapie zur Behandlung von Glioblastomen entwickelt.

Wissenschaftler vom Deutschen Krebsforschungszentrum (DKFZ) und von der ShanghaiTech University haben ein innovatives Verfahren entwickelt, um Hirntumoren individueller Patienten besonders naturnah im Labor nachzubilden.

CAR-T-Zellen bringen seit einigen Jahren neuen Schwung in die Immuntherapien gegen Krebs.

Ein Antidepressivum gegen Hirntumor? Was überraschend klingt, könnte Realität werden. Denn ETH-Forschende zeigen mit einem von ihnen entwickelten Wirkstoff-Screening, dass ein solches Medikament Zellen des gefürchteten Glioblastoms tötet – zumindest in der Zellkulturschale.

Die Deutsche Forschungsgemeinschaft nimmt Dr. Dr. Emre Kocakavuk in ihr Emmy Noether-Programm auf und unterstützt seine Krebsforschung bis 2030 mit rund zwei Millionen Euro.

Strahlen- und/oder Chemotherapie nach der Operation – das sind die Behandlungsoptionen bei einem der gefährlichsten Gehirntumore überhaupt, dem Glioblastom. Doch bis heute sind diese Tumoren unheilbar, mit einer mittleren Überlebensdauer von 16 Monaten nach Diagnosestellung.

Glioblastome sind besonders aggressive Hirntumore, die schnell auch in das gesunde Hirngewebe hineinwuchern. Da die Tumore chirurgisch meist nicht vollständig entfernt werden können, ist die Prognose von Glioblastom-Patiententen sehr schlecht.

Die Deutsche Krebshilfe fördert eine neurochirurgische Studie zum Glioblastom unter Federführung des Universitätsklinikums Bonn (UKB).

Die Diagnose Glioblastom geht mit einer schlechten Überlebenschance einher. Der Gehirntumor zählt zu den aggressivsten Krebsarten.

Münchner Forschende haben ein neues Verfahren entwickelt, das erstmals die Signale radioaktiver Stoffe in Zellen im Gehirn mittels der Positronen-Emissions-Tomografie (PET) sichtbar macht.

MHH-Molekularmediziner Prof. Dr. Dr. Schambach möchte mit genetisch veränderten Natürlichen Killerzellen neue Therapiemöglichkeiten gegen drei besonders bösartige Krebserkrankungen finden.

Glioblastome sind bösartige Hirntumore mit schlechter Prognose, da sie in der Regel nicht auf gängige Krebstherapien ansprechen. Ein Grund hierfür ist, dass die Tumorzellen Mechanismen entwickelt haben, um sich der Immunabwehr zu entziehen.

Jedes Jahr erkranken in Deutschland rund 8.000 Menschen an einem Hirntumor. Als besonders aggressiv gilt dabei das Glioblastom, da die Tumorzellen schnell wachsen und in das gesunde Gehirn einwandern.

Klinische Studien sind ein Meilenstein in der Entwicklung sicherer und wirksamer Medikamente und Therapien. Ein von Helmholtz Munich entwickelter Antikörper startet jetzt in eine klinische Phase-1-Studie.

Die Neurochirurgische Universitätsklinik Heidelberg startet ein Projekt zu Kombinationstherapie bei nachgewachsenem Glioblastom: Können die zielgenaue Erhitzung über eine Lasersonde und Medikamententests an Minitumoren dazu beitragen, weiteres Tumorwachstum zu verlangsamen?

Ein Team der Neurochirurgie am Uniklinikum Würzburg entwickelt gemeinsam mit dem Fraunhofer-Institut für Silicatforschung (ISC) ein neuartiges innovatives Verfahren zur lokalen Chemotherapie von Glioblastomen. Das Projekt wird vom Bundesministerium für Bildung und Forschung mit 1,6 Millionen Euro gefördert.






















