Vergleich von Kurzzeitergebnissen der MiniHip-Kurzschaftprothese zu zementfreien Standardprothesen






Die Langzeitergebnisse der Hüftendoprothetik bei jungen, körperlich aktiven -Patienten sind nicht immer befriedigend und vor dem Hintergrund potentiell häufigerer Revisionen kritisch zu betrachten. Neben einer strengen Indikationsstellung zur Operation im jungen Alter kann mit knochen- und weichteilschonenden Operationsmethoden die Ausgangslage für eventuelle -Wechseleingriffe verbessert werden.
Kurzschaftprothesen scheinen die Vorteile der Standardprothese und des Oberflächenersatzes zu vereinen, indem einerseits sowohl alle modernen, verschleißarmen Gleitpaarungen angewendet werden können und andererseits ein vergleichsweise knochensparendes Schaftdesign über einen wenig invasiven Zugang implantiert wird.
Bei guter Knochenqualität scheint darum die Implantation einer Kurzschaftprothese eine gute Alternative zum längeren Standardschaft zu sein. Die bisherigen Ergebnisberichte motivieren dazu, diesen Trend zum Einsatz des neuen Prothesenkonzepts besonders bei jungen Patienten fortzusetzen, Langzeitergebnisse fehlen jedoch noch.
In einer retrospektiven Studie sollten an Hand ganganalytischer, röntgenologischer und klinischer Untersuchungen unsere Kurzzeitergebnisse der Kurzschaftprothesen Typ MiniHip mit Standardprothesen verglichen werden.
Material und Methoden
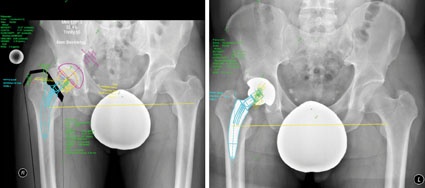
Es wurden 22 Fälle bei 18 Patienten (7 Frauen und 11 Männer) mit einer MiniHip versorgt. Jeweils 2 Männer und Frauen wurden beidseits versorgt. Die Nachuntersuchungszeit betrug 8,4 (±4,1) Monate. Das OP-Alter lag bei 58,5 (±8,4) Jahren und der Body Mass Index (BMI) bei 26,5 (±3,3). Ein Fallbeispiel inklusive prä- und postoperativer Planung mit biomechanischer Analyse zeigt die Abb. 1.
Folgende Diagnosen veranlassten in unserer Studie zur Prothesenimplantation:
9x Koxarthrose
2x Protrusionskoxarthrose
7x Dysplasiekoxarthrosen Grad I
4x Hüftkopfnekrosen
Als Vergleichsgruppe dienten 12 Patienten (6 Frauen und 6 Männer), die im gleichen Zeitraum nach zufälliger Auswahl mit Standardprothesen versorgt wurden. Die Nachuntersuchungszeit betrug 6,1 (±0,2) Monate. Das OP-Alter lag bei 63,9 (±9,8) Jahren und der Body Mass Index (BMI) bei 28,3 (±4,3). Alle Patienten wurden wegen einer primären Koxarthrose versorgt.
Als Prothesentypen kamen nur Prothesenschaftmodelle zum Einsatz, die auch verschiedene Offset-Varianten im Design bieten:
2x Alpha-Fit
6x CLS-Spotorno
2x ProxyPlus
2x Metabloc
Alle Gangdaten der Patienten mit Endoprothese wurden den ganganalytischen Werten einer gesunden Vergleichsgruppe (VG) gegenüber gestellt. Als VG konnten 30 Gesunde (15 Frauen und 15 Männer) mit einem Durchschnittsalter von 47,6 (±14,6) Jahren und einem BMI von 26,3 (±3,2) analysiert werden.
Die Daten der Ganganalyse wurden mittels eines 6-Kamera-VICON-Systems (Oxford Metrics) sowie mit 3 integrierten Kraftmessplatten ermittelt. Als ganganalytische Parameter wurden Zeit-Distanzparameter, Bodenreaktionskräfte, Knie- und Hüft-Winkel sowie -Momente postoperativ analysiert.
Als klinische Daten wurden die Summe der Bewegungen für Ex/Flex + Abd/Add + AR/IR, der Harris-Hip-Score (HHS), der Score n. Merle d'Aubigne (MD), VAS, SF 36 und WOMAC, sowie ein eigener 12- Punkte-Biomechanik-Score der Hüfte (BLB) sowohl prä- als auch postoperativ bestimmt. Der BLB-Score wird im Biometrie-Modul der Planungssoftware MEDICAD berechnet und stellt summarisch ein Maß dar, inwieweit Parameter der Gelenkgeometrie und -belastung vom Normalen abweichen.
Ergebnisse
Für die Zeit-Distanzparameter gab es zum Zeitpunkt der Nachuntersuchung keine signifikanten Unterschiede mehr zur gesunden VG. Ebenso war dies für die Flexions-Knie- und Hüftwinkel, die frontalen Knie- und Hüftmomente sowie für das sagittale Flexions-Hüftmoment feststellbar. Es traten aber noch signifikante Unterschiede für den Extensions-Hüftwinkel und die sagittalen Knie-Flexions- und Extensionsmomente auf. Für den Extensions-Hüftwinkel zeigte sich ein signifikanter Vorteil der Gruppe mit MiniHip- gegenüber der Gruppe mit Standardprothesen (p=0,044).
Signifikante Unterschiede zwischen den Patientengruppen waren für die klinischen Parameter nicht nachweisbar. Signifikante Unterschiede zur gesunden VG wurden noch für den körperlichen Summenscore des SF 36 (ksk) ermittelt, waren aber für den psychischen Summenscore (ksk) nicht zu verzeichnen. Der HHS verbesserte sich für die MiniHip-Gruppe von 46,0 (±15,1) auf 95,1 (±4,7) und für die Standardprothesen-Gruppe von 48,8 (±14,2) auf 92,9 (±6,3) (Abb. 2).
Die Schmerzwerte verringerten sich hochsignifikant ebenso wie alle Skalen des WOMAC. Der BLB-Score im Fallbeispiel (Abb. 1) verbesserte sich in der Op- Planung vom Ausgangsbefund 3 präoperativ auf 11 Punkte. Postoperativ wurde der Idealwert von 12 Punkten erreicht. Die Ergebnisse des BLB-Scores für die Gruppen sind in Abb. 3 dargestellt. Die Werte für die MiniHip-Gruppe liegen prä- und postoperativ über denen der Standard-Gruppe, ohne dass ein signifikanter Unterschied nachweisbar war.
Diskussion
In einer retrospektiven Studie wurden die OP-Ergebnisse von 22 implantierten MiniHip- und 12 Standardprothesen analysiert. Für die Mehrzahl der Ganganalyseparameter konnten 8 Monate postoperativ keine Unterschiede mehr zur gesunden VG gefunden werden. Es gab jedoch auch Parameter, bei denen noch signifikante Unterschiede auftraten (Hüftextensionswinkel und relative Knieflexions- und Extensionsmomente). Dies spricht dafür, dass nach dieser Zeit zum Teil noch muskuläre Defizite vorhanden waren, die von den Patienten jedoch nicht mehr bewusst wahrgenommen wurden. Die Resultate fast aller klinischen Score-Parameter ergaben postoperativ hochsignifikante Verbesserungen.
Vor allem die guten Werte des BLB-Scores für die MiniHip-Gruppe zeigten, dass mit diesem Prothesentyp eine biomechanisch sinnvolle Gelenkgeometrie bzgl. Rotationszentrum, Beinlänge und Offset erreicht werden konnte, obwohl dieser Prothesentyp im Design keine Offsetvariabilität vorsieht, die jedoch in der Gruppe der Standardprothesen zur Verfügung stand. Das femorale Offset wird mit dem Kurzschaft durch leichte Varus- oder Valgus-Position in der Planung und bei der Operation rekonstruiert. Ob diese Philosophie langfristig Bestand hat, muss in mittel- und langfristigen Untersuchungen weiter überprüft werden.
Anbieter
Waldkrankenhaus „Rudolf Elle“ GmbHKlosterlausnitzer Straße 81
07607 Eisenberg
Deutschland
Meist gelesen

Pro Care 2026 zeigt innovative Versorgungslösungen aus der Hauswirtschaft
Pflegequalität entsteht nicht nur am Pflegebett, sondern in allen Bereichen des Alltags, die das Leben in einer Einrichtung prägen.

Doppeltes Risiko: Kombination zweier Genvarianten begünstigt Entzündung und Krebs
Kieler Forschungsteam hat zwei Genveränderungen identifiziert, die im Zusammenspiel bei Menschen mit chronischen Darmentzündungen das Risiko für Darmkrebs erhöhen könnten.

Richtiges Händewaschen: Die Temperatur ist nicht entscheidend
Welchen Einfluss hat die Wassertemperatur, die Waschdauer und die Wassermenge auf das Händewaschen? Zwei Studien der Medizinischen Universität Wien zeigen überraschende Ergebnisse.

Zukunftsfähig: Neuausrichtung des TAVI-Programms im Asklepios St. Georg
Mit der Prozessoptimierung des TAVI-Programms gelang es dem Team für strukturelle Herzerkrankungen, wirtschaftliche Effizienz und Mitarbeiterzufriedenheit zu steigern – ein Gewinn für alle Seiten.

Neues Sequenzier-Labor am Krankenhaus Merheim eröffnet
Das Krankenhaus Merheim der Kliniken der Stadt Köln hat am 7. Oktober 2025 offiziell sein neues Sequenzier-Labor in Betrieb genommen – ein bedeutender Schritt in Richtung moderner, personalisierter Krebsmedizin.









