
Massenspektrometrie: Gamechanger der Labordiagnostik?
Die Massenspektrometrie hat sich seit einigen Jahren zu einem unverzichtbaren Werkzeug der modernen Labormedizin entwickelt.

Die Massenspektrometrie hat sich seit einigen Jahren zu einem unverzichtbaren Werkzeug der modernen Labormedizin entwickelt.

Mit dem Programm Match Doctors bietet Lingoda Healthcare internationalen Ärzt*innen eine strukturierte Möglichkeit, die deutsche Approbation zu erlangen.

Die Kompaktstation Baelz-Moduline mit integrierter geregelter Strahlpumpe erwärmt Trinkwasser in Gebäuden entsprechend dem Durchlauferhitzerprinzip (Bild 1) und macht Speicher überflüssig. Die Legionellengefahr wird geringer und eine Menge Energie gespart. Photovoltaik (PV) in Verbindung mit einer elektrischen Wärmequelle reduziert nachhaltig den Verbrauch von Fernwärme.

2024 hat Siemens Healthineers einen Biomarker zur Risikobewertung bei schubförmiger Multipler Sklerose (RMS) auf den Markt gebracht.

Optimaler Schutz und proaktives Risikomanagement – Ihr Krankenhaus verdient ein Versicherungskonzept, das Sicherheit bietet und Risiken proaktiv steuert.

Die Messung des Myelinwasseranteils in Kombination mit biophysikalischer Modellierung stellt einen entscheidenden Fortschritt in der MS-Diagnostik dar.

Eine Analyseplattform zur automatisierten und effizienten Antigenmessung eignet sich für vielseitige Anwendungen – von der Lebensmittelanalytik bis zur klinischen Diagnostik.

Wenn externe Dritte auf das eigene Klinik-Netzwerk zugreifen dürfen, ist das eigentlich eine gute Sache.

Wie machen sichere Zugangsstrategien und moderne Technologien das Gesundheitswesen zukunftsfähig und schaffen ein Gleichgewicht zwischen Effizienz und Sicherheit?

Die Aufbereitung von Instrumenten ist meist aufwendig, um eine optimale Reinigungsleistung zu erzielen. Effiziente Reiniger erleichtern den Prozess.

Bedürfnisse und Anforderungen kennen: Die Auswahl des richtigen Produktes fällt bei der heutigen Vielfalt der Händedesinfektionsmittel zunehmend schwer.

Pflegekräfte sind aufgrund ihrer beruflichen Tätigkeiten häufig Hautproblemen ausgesetzt, die durch die regelmäßige Nutzung von Desinfektionsmitteln verursacht werden können.

Eine hochwertige, zuverlässige Labordiagnostik ist eine wesentliche Voraussetzung für eine sichere Patientenversorgung. Modernste Analysegeräte in Laborstraßen sichern diese Versorgung.

Eine der wichtigsten serologischen Analysen in der Rheumatologie ist die Testung auf antinukleäre Antikörper.

Taiwan präsentiert sich als Vorreiter der digitalen Transformation im Gesundheitswesen: Sie gewährleistet effiziente, sichere medizinische Dienstleistungen und fördert die Entwicklung intelligenter Gesundheitslösungen.

Wie optimiert man mit einer Smart Cleaning Plattform die hohen Anforderungen an die Reinigung im Gesundheitswesen löst und Prozesse?

Patienten mit Sepsis befinden sich in akuter Lebensgefahr und benötigen aufgrund der hohen Dynamik des Krankheitsbildes und der zahlreichend betroffenen Organe eine Intensivtherapie.

Welchen aktuellen Herausforderungen muss sich die Labordiagnostik stellen und welche und Entwicklungschancen bestehen?

3M CDI Engage unterstützt Kliniken beim Erreichen einer hohen Dokumentationsqualität.

Zertifizierungen zeigen in der Kardiologie ein Plus an Qualifikation.

Die patientennahe Sofortdiagnostik (POCT) ist zu einem festen Bestandteil des klinischen Alltags geworden.

Die Sonographie ist von allen bildgebenden Modalitäten die am weitesten verbreitete und fester Bestandteil im Operationssaal.


Orthesen umschließen Körperteile, um sie zu entlasten und/oder ruhig zu stellen. In einigen Fällen müssen die Orthesen individuell an den Patienten und die Behandlung angepasst werden.

Nachdem die schonende Sentinel Node Exzision zum Standard für alle primär operierten Patientinnen mit unauffälligem Lymphknotenstatus wurde, wird der Stellenwert der operativen Deeskalation im Rahmen der neoadjuvanten Chemotherapie intensiv diskutiert.

Aktuelle Therapieempfehlungen der AGO Mamma raten zur Umsetzung der sonographisch-gestützten Brustoperation.

In einer Klinik gilt es, Keime zu minimieren, Hygiene zu garantieren und wirtschaftlich zu handeln.

Bei ungeklärten neurologischen Auffälligkeiten ist eine genaue Diagnose wichtig, um schnellstmöglich eine passende Therapie einleiten zu können.

Laut einer von Hartmann in Auftrag gegebenen Umfrage sieht die überwiegende Mehrheit der Befragten ihre Kliniken kurz- und langfristig durch nosokomiale Infektionen bedroht.

Probentransporte mit Drohnen gelten als nutzbringende Lösung für eine sichere Patientenversorgung.

Der Geschäftsführer Thomas Rose des auf Verpackungen im Healthcare Bereich spezialisierten Unternehmens Debatin erklärt im Interview den Anteil der Verpackung am Logistikprozess biologischer Proben.

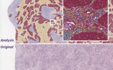
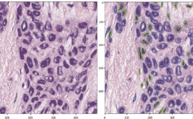
Aufgrund der großen Mengen diagnostischer Bilddaten in Form von histologischen Schnitten weckt KI insbesondere in der Pathologie hohe Erwartungen.

Sichere und effizientere Bearbeitung von Präparaten und deren Befundung mit der Option des dezentralen Arbeitens gelten als Stärke der Digitalisierung.

Ein wichtiger Aspekt der Anwendung digitaler Methoden und der Automation ist es, vielfältige, medizinische Informationen zur Entscheidungsfindung zu bündeln und zu vernetzen.

Im Dr. von Haunerschen Kinderspital München wurde das bundesweit erste kinderchirurgische Zentrum für Roboter-assistierte Chirurgie eröffnet.