
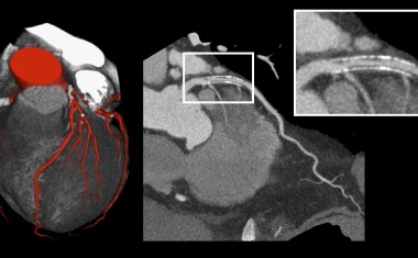
Wachstum durch Investitionen in KI-gestützte Medizintechnik
GE HealthCare führt zum vierten Mal in Folge die Liste der US-amerikanischen Food and Drug Administration (FDA) für KI-gestützte Medizingeräte an – mit mittlerweile 100 in den USA gelisteten Zulassungen.






































