
Quantensensoren: Hochpräzise Messungen im bewegten Gehirn
Was passiert bei einem epileptischen Anfall im Gehirn? Was nach einer Lähmung durch Schlaganfall? Was im Kopf von Parkinson-Erkrankten?

Was passiert bei einem epileptischen Anfall im Gehirn? Was nach einer Lähmung durch Schlaganfall? Was im Kopf von Parkinson-Erkrankten?

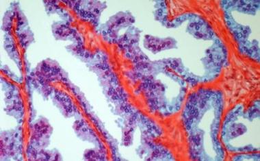
So früh wie möglich und so aggressiv wie nötig – nach dieser Devise sollte jeder Prostatakrebs behandelt werden, um Rezidive, also ein Wiederauftauchen des Tumors, zu verhindern.

Ihre Tätigkeit beginnt die Juristin am 9. Februar 2026 und löst Andreas Wagener ab, der seit 1990 bei der DKG tätig war und zuletzt neben der Vorstandstätigkeit die Rechtsabteilung leitete. Claudia Reich wird auch diese Tätigkeit übernehmen.

Mit der Polyclose in Belgien steht im Januar 2026 erneut eine der zentralen Fachveranstaltungen für die Fenster,- Türen- und Fassadenbranche in den Benelux-Ländern an.

Eine andauernde Entzündung der Nasennebenhöhlen, chronische Rhinosinusitis, ist eine häufige Begleiterkrankung bei Mukoviszidose und beeinträchtigt die Lebensqualität erheblich.

Jährlich kommen rund 6.200 Kinder in den Stuttgarter Kliniken zur Welt. Für die meisten von ihnen verläuft die Geburt ohne Komplikationen. Für schwierige Fälle, wie etwa Frühgeburten, steht am Olgahospital des Klinikums Stuttgart eine besondere Expertise bereit.


Im Notfall-Eingriffsraum in Kliniken, dem sogenannten Schockraum, kümmern sich bis zu zehn Ärzt*innen und Pflegekräfte um die schnelle und sichere Versorgung von Schwerstverletzten.

Das LMU Klinikum München stärkt seine Rolle in der personalisierten Medizin und der Arzneimitteltherapie mit der Gründung des Instituts für Klinische Pharmakologie.

Tork Vision Reinigung bietet eine fortschrittliche Lösung, um Reinigungsergebnisse zu optimieren, eine konstant hohe Qualität zu gewährleisten und Arbeitsabläufe effizienter zu gestalten.

Tork hat ein innovatives VR-Händehygienetraining entwickelt, das medizinisches Fachpersonal dazu befähigt die Händehygiene sowie die Reinigung der Umgebung zu optimieren.

Das Klinikum Wetzlar hat seinen neuen, modernen Kreißsaal offiziell in Betrieb genommen. Am 2. Dezember um 22:31 Uhr kam dort Fabian mit einem Gewicht von 4.070 Gramm zur Welt: Seine Geburt fand in der neuen, ergonomisch gestalteten Entbindungswanne statt.

Dr. Jian Cui, Principal Investigator am Helmholtz Pioneer Campus, wurde für sein Projekt PhotonSignaling mit einem ERC Consolidator Grant ausgezeichnet.

Wissenschaftler der Universität Basel haben festgestellt, dass bestimmte Bakterien ihre Konkurrenten mit einem molekularen Harpunensystem angreifen. Bakterienstämme, die Schutzmechanismen gegen diese Angriffe entwickeln, zeigen dabei eine erhöhte Empfindlichkeit gegenüber Antibiotika.

Carlotta Neef, Doktorandin an der Klinik für Operative Intensivmedizin und Intermediate Care des Uniklinikums RWTH Aachen, konnte mit ihrem Team in einem bis dato ersten Großtierversuch zeigen, dass sich die Hemmung des entzündungsfördernden Botenstoffes macrophage migration inhibitory factor (MIF) positiv auf Herzmuskelzellen nach erlittenem Polytrauma auswirkt.

Wie sieht die Pflege der Zukunft aus? Um die Qualität der Patientenversorgung mithilfe von modernsten Technologien und Methoden weiter zu verbessern, hat das Klinikum Karlsruhe mit dem „FutureCare Reallabor“ eine eigene Innovationsstation geschaffen.

Nach fast einem Vierteljahrhundert am Universitätsklinikum Bonn (UKB) verabschiedet sich Prof. Johannes Breuer, langjähriger Direktor der Kinderkardiologie, in den Ruhestand.

Mit einer neuen hochauflösenden Mikroskopie-Methode haben Forschende erstmals live beobachtet, wie Grippeviren Zellen befallen.

Forscher von Helmholtz Munich, der Technischen Universität München und des LMU Klinikums haben einen Mechanismus entschlüsselt, der Nervenzellen vor einem vorzeitigen Zelltod, der Ferroptose, schützt.

Der mit 5.000 Euro dotierte Forschungsförderpreis für intensiv- und notfallmedizinische Gesundheitsfachberufe geht in diesem Jahr an Denise Schindele aus Ludwigsburg.

Zwei herausragende Persönlichkeiten ehrt die Deutsche Interdisziplinäre Vereinigung für Intensiv- und Notfallmedizin (DIVI) in diesem Jahr für ihr langjähriges Engagement, ihre wegweisende Strukturarbeit und ihren unermüdlichen Einsatz für eine moderne, multiprofessionelle Intensiv- und Notfallmedizin.

Ein KI-Modell erkennt bei psychischen Erkrankungen die Risiken für eine spätere Gewichtszunahme.

Professor Hans-Christian Hansen, gebürtig aus Heide (Holstein) und heute tätig in Hamburg sowie Neumünster, erhält die DIVI-Ehrenmedaille als Anerkennung für sein langjähriges und herausragendes Engagement für die Deutsche Interdisziplinäre Vereinigung für Intensiv- und Notfallmedizin (DIVI).

Der Verband der Diagnostica-Industrie (VDGH) stellt den vollständig modernisierten LSR-FundFinder der Fachabteilung Life Science Research (LSR) vor.

Wenn im Praxisalltag eine Aufgabe die nächste jagt und Patient:in auf Patient:in folgt, braucht es beim Thema Hygiene einen starken Partner an der Seite.

Der Forschungsförderpreis Patientensicherheit 2025 der Deutschen Interdisziplinären Vereinigung für Intensiv- und Notfallmedizin und Philips zeichnet eine Studie zum diagnostischen Nutzen elterlicher, pflegerischer und ärztlicher Besorgnis bei der Ersteinschätzung von Kindern in Notfallsituationen aus.

Die im Juni neu gegründete Klinik für Neuroradiologie am Klinikum St. Georg ist nun vollständig aufgestellt: Zum 1. Dezember hat Prof. Dr. med. Stefan Schob die Leitung der neuen Fachklinik übernommen.

Dr. Julia Krug erhält für ihr innovatives Melanom-Projekt ein BZKF-Young Scientist Fellowship in Höhe von 100.000 Euro

Ein neuer multidimensionaler Ansatz erklärt die komplexen Ursachen der Parkinson Erkrankung.

Eine Kontaktallergie auf der Haut ist nicht automatisch gleichbedeutend mit einer Unverträglichkeit gegenüber einem Implantat.

Zur Förderung von Krebsforscher*innen in frühen und mittleren Karrierephasen erhält das Mildred-Scheel-Nachwuchszentrum (MSNZ) des Universitären Cancer Centers (UCC) Hamburg vom 1. Januar 2026 an weitere 3,2 Millionen Euro von der Deutschen Krebshilfe.

Die Erforschung einer neuartigen Form des Zelltods geht in die nächste Runde – und könnte bald Folgeschäden nach Herzinfarkten oder Organtransplantationen verringern.

Die DGIM und der HBDI veröffentlichen einen Leitfaden zur Forschung mit Gesundheitsdaten.

Eine neue Studie der Universitätsmedizin Magdeburg zeigt, dass Leberoperationen mit Roboterunterstützung das Immunsystem weniger belasten als herkömmliche Eingriffe.

Die Kardiologische Klinik des Bergmannsheils hat jetzt erstmals in Bochum ein relativ neues und schonendes Verfahren zum Ersatz einer kranken Trikuspidalklappe angewendet.