Universitätsklinikum Jena

Kastanienstraße 1
07743 Jena
Deutschland

Kontakt WebSite

Beiträge

UKJ-Erfahrungen in neuer S3-Leitlinie zur Antibiotika-Therapie verankert

UKJ-Erfahrungen in neuer S3-Leitlinie zur Antibiotika-Therapie verankert

Am Uniklinikum Jena etablierte klinische Standards sind jetzt bundesweite Fachempfehlung für die Behandlung von Infektionen mit multiresistenten Erregern.

MRT-Forschung von der Projektidee zur Publikation

MRT-Forschung von der Projektidee zur Publikation

Das Werner-Kaiser-Forschungszentrum am Uniklinikum Jena baut seine Infrastruktur aus und wird dafür als DFG-Gerätezentrum gefördert.

Jena: Klinik für Anästhesiologie und Intensivmedizin mit „Schwerpunktversorgung Intensivmedizin“ zertifiziert

Jena: Klinik für Anästhesiologie und Intensivmedizin mit „Schwerpunktversorgung Intensivmedizin“ zertifiziert

Jährlich werden über 2.500 Patientinnen und Patienten am Universitätsklinikum Jena (UKJ) in der Klinik für Anästhesiologie und Intensivmedizin versorgt und begleitet.

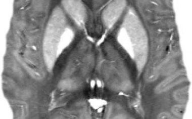
Wie Geschlechtshormone die Hirnstruktur beeinflussen

Wie Geschlechtshormone die Hirnstruktur beeinflussen

In einer aufwändigen Längsschnittstudie untersuchte ein internationales Autorenteam um die Jenaer Psychologin Dr. Carina Heller den Einfluss der weiblichen Hormone im Zyklusverlauf auf die Muster der Hirnplastizität.

Wie Geschlechtshormone die Hirnstruktur beeinflussen

Wie Geschlechtshormone die Hirnstruktur beeinflussen

In einer aufwändigen Längsschnittstudie untersuchte ein internationales Autorenteam um die Jenaer Psychologin Dr. Carina Heller den Einfluss der weiblichen Hormone im Zyklusverlauf auf die Muster der Hirnplastizität.

Neue Wege ohne Tierversuche: Infektionen in Organen auf dem Chip

Neue Wege ohne Tierversuche: Infektionen in Organen auf dem Chip

Der Biochemiker Alexander Mosig ist Professor für Tierversuchsersatzmethoden in der Infektions- und Entzündungsforschung am Universitätsklinikum Jena.

Ausgezeichnete Forschung zur Palliativmedizin

Ausgezeichnete Forschung zur Palliativmedizin

Das Versorgungsforschungsprojekt des Instituts für Allgemeinmedizin am Universitätsklinikum Jena (UKJ) wird mit dem Hauptpreis des Dr. Lothar und Martin Beyer-Preis ausgezeichnet.

Winzige Strahlenquelle gegen Leberkrebs

Winzige Strahlenquelle gegen Leberkrebs

Das Universitätsklinikum Jena setzt auf innovative Strahlentherapie. Brachytherapie eröffnet neue Behandlungsperspektiven bei Leberkrebs.

Weltherztag am 29. September: Deutschland auf Ziel bei Cholesterin

Weltherztag am 29. September: Deutschland auf Ziel bei Cholesterin

Jenaer Kardiologie-Expertise fließt in europäische Leitlinie ein. Das Universitätsklinikum Jena initiiert eine deutschlandweite Cholesterin-Studie.

„Geriatrie ist immer individuell und nur im Team möglich“

„Geriatrie ist immer individuell und nur im Team möglich“

Prof. Dr. Tino Prell ist neuer Professor für Geriatrie an der Friedrich-Schiller-Universität Jena und übernimmt als Direktor die Klinik für Geriatrie am Universitätsklinikum Jena.

Doktorarbeiten ausgezeichnet

Doktorarbeiten ausgezeichnet

Medizinische Fakultät und Förderverein des Uniklinikums Jena überreichen diesjährige Promotionspreise.

Wie ein Krankenhaus kindgerecht(er) werden kann

Wie ein Krankenhaus kindgerecht(er) werden kann

Äffchen Manchu nimmt Kindern am Uniklinikum Jena als Hörspiel und Comic Angst vor Operationen.

Den Blick ins Herz gerichtet

Den Blick ins Herz gerichtet

Als neuer Professor für noninvasive kardiovaskuläre Bildgebung am Universitätsklinikum Jena untersucht Sebastian Reinartz das Herz und Gefäßsystem mit modernsten bildgebenden Verfahren.

Für die Gesundheit: Forschung mit Tieren

Für die Gesundheit: Forschung mit Tieren

Forschende am Uniklinikum Jena haben in ihren Versuchen im vergangenen Jahr insgesamt 8728 Tiere verwendet.

Prof. Dr. Mario Fabri ist neuer Professor für Dermatologie an der Friedrich-Schiller-Universität Jena

Prof. Dr. Mario Fabri ist neuer Professor für Dermatologie an der Friedrich-Schiller-Universität Jena

Der 47-jährige Hautarzt hat seit diesem Semester die Professur für Dermatologie an der Friedrich-Schiller-Universität Jena inne und ist Direktor der Klinik für Hautkrankheiten am Universitätsklinikum Jena.

Medizinische Datenintegration im großen Stil

Medizinische Datenintegration im großen Stil

Forschende der Unikliniken Jena, Aachen, Essen, Halle und Leipzig haben eine App entwickelt, die Ärzte bei der Behandlung von Blutstrominfektionen mit Staphylokokken unterstützt.

Erstmals TAPE-Verfahren bei Arthritis eingesetzt

Erstmals TAPE-Verfahren bei Arthritis eingesetzt

Minimalinvasives Embolisationsverfahren lindert immuntherapiebedingte Gelenkentzündung bei Darmkrebs.

Gegen das lange Leiden nach Virusinfektionen

Gegen das lange Leiden nach Virusinfektionen

Das Universitätsklinikum Jena (UKJ) bündelt seine Einrichtungen zur Erforschung und Versorgung von Post-COVID in einem Interdisziplinären Zentrum für Postinfektiöse Langzeitfolgen.

Krebsprävention: Eierstockkrebserkrankungen senken

Krebsprävention: Eierstockkrebserkrankungen senken

Die vorsorgliche Eileiterentfernung kann Krebsfälle und Gesundheitskosten deutlich reduzieren.

Hohe Auszeichnung für den Herzchirurgen aus Jena

Hohe Auszeichnung für den Herzchirurgen aus Jena

Prof. Dr. Torsten Doenst, Direktor der Klinik für Herz- und Thoraxchirurgie am Universitätsklinikum Jena (UKJ), ist seit dem vergangenen Wochenende der neue Präsident der Deutschen Gesellschaft für Thorax-, Herz- und Gefäßchirurgie (DGTHG).

Post-COVID-App für Patienten, Praxen, Kliniken

Post-COVID-App für Patienten, Praxen, Kliniken

Unter Leitung des Universitätsklinikums Jena entwickelt ein Forschungsverbund eine mobile Anwendung, die Beschwerden und Befinden von Betroffenen erfasst.

Woher kommt die chronische Erschöpfung?

Woher kommt die chronische Erschöpfung?

Ein Forschungsverbund in Jena, Kiel, Berlin und München untersucht die mit ME/CFS bezeichnete schwere Erschöpfung, die als Langzeitfolge nach einer Virusinfektion auftreten kann.

Pflege intensiv erforschen

Pflege intensiv erforschen

Die Pflegewissenschaftlerin Dr. Stefanie Bachnick übernimmt die erste Professur für Pflegewissenschaft am Universitätsklinikum Jena. Ihr Forschungsschwerpunkt sind Patientensicherheit und Versorgungsqualität in der Intensivpflege.

Pflege intensiv erforschen

Pflege intensiv erforschen

Die Pflegewissenschaftlerin Dr. Stefanie Bachnick übernimmt die erste Professur für Pflegewissenschaft am Universitätsklinikum Jena.

Endlich wieder selbst atmen

Endlich wieder selbst atmen

Am Universitätsklinikum Jena wurde eine Weaning-Station gestartet.

Täuschend echt: KI-generierte Histologiebilder

Täuschend echt: KI-generierte Histologiebilder

Selbst Experten können künstlich erzeugte Gewebeschnittbilder nicht zuverlässig identifizieren.

Prof. Matthias Gawlitza ist neuer Professor für Neuroradiologie am UKJ

Prof. Matthias Gawlitza ist neuer Professor für Neuroradiologie am UKJ

Schon früh in seiner beruflichen Laufbahn ist Matthias Gawlitza von den Möglichkeiten der Neuroradiologie fasziniert, da sie wie nur wenige andere medizinische Disziplinen Diagnostik und Therapie vereint.

Noch immer großer Behandlungsbedarf bei Post-COVID-Patienten

Noch immer großer Behandlungsbedarf bei Post-COVID-Patienten

Ein Jahr rollende Post-COVID-Ambulanz Thüringen: Erste Erkenntnisse liegen vor.

Wie Hypnose uns tatsächlich stärker machen kann

Wie Hypnose uns tatsächlich stärker machen kann

Reine Kopfsache? Von wegen: Welchen Einfluss Hypnose auf unsere körperliche Leistungsfähigkeit hat, untersuchte Psychologin Dr. Barbara Schmidt vom Universitätsklinikum Jena in einer nun im Fachjournal „Scientific Reports“ veröffentlichten Studie.

Operationen in Deutschland sind nur selten Auslöser einer langfristigen Opioid-Einnahme

Operationen in Deutschland sind nur selten Auslöser einer langfristigen Opioid-Einnahme

Macht eine postoperative Schmerztherapie mit Opioiden süchtig? In den USA und einigen anderen Ländern der Welt, die mit massivem Opioid-Fehlgebrauch zu kämpfen haben, wird dies vermutet und hat bereits zu der Empfehlung geführt, auf dieses Schmerzmittel während und nach Narkosen zu verzichten.

Nach OPs: Schmerz schränkt Mobilität nicht ein

Nach OPs: Schmerz schränkt Mobilität nicht ein

Ein internationales Forschungsteam untersuchte den Zusammenhang von Aktivität und Schmerz nach Operationen. Sein Fazit: Es gibt keinen.

UKJ-Neurochirurgin rettet mit Hirn-Bypass einem Mann nach schwerem Schlaganfall das Leben

UKJ-Neurochirurgin rettet mit Hirn-Bypass einem Mann nach schwerem Schlaganfall das Leben

Es ist wie das Spinnen mit seidenen Fäden – und das an der Steuerzentrale des Menschen, dem Gehirn. So ungefähr kann man sich eine Bypass-Operation am Gehirn vorstellen. Ein seltener, komplexer mikro-chirurgischer Eingriff, den nur wenige Neurochirurgen deutschlandweit beherrschen.

Jena wird zum Zentrum für Neurobildgebung

Jena wird zum Zentrum für Neurobildgebung

Ein 7-Tesla-MRT der neuesten Generation wurde am Universitätsklinikum Jena eingeweiht.

Krebsbehandlung auf höchstem Niveau

Krebsbehandlung auf höchstem Niveau

UniversitätsTumorCentrum (UTC) am UKJ erfolgreich durch Deutsche Krebsgesellschaft rezertifiziert

Biomechanische Forschung für bessere Implantatversorgung in der Orthopädie

Biomechanische Forschung für bessere Implantatversorgung in der Orthopädie

Welche Kräfte wirken auf ein Hüftimplantat? Wie beeinflussen verschiedene Knieprothesen das Gangbild? Welchem Verschleiß unterliegt ein Implantat?

Von Jena nach Rio

Von Jena nach Rio

Herz-Thorax-Chirurgen aus dem UKJ bringen minimal-invasive Herzklappen-Chirurgie nach Brasilien.

Jena: Dr. Uta Biedermann erhält den Lehrpreis der Fachschaft Medizin

Jena: Dr. Uta Biedermann erhält den Lehrpreis der Fachschaft Medizin

„Man lernt am besten durch Begeisterung“, sagt Dr. Uta Biedermann. Und genau diese kann die Fachärztin für Anatomie für ihr Fach vermitteln. Die Fachschaft Medizin der Friedrich-Schiller-Universität Jena zeichnet die Leiterin der Prosektur am Institut für Anatomie deshalb mit ihrem diesjährigen Lehrpreis aus.

Sinnesinformationen fließen weit früher zusammen als bisher angenommen

Sinnesinformationen fließen weit früher zusammen als bisher angenommen

Bei Untersuchungen, wie die Informationen verschiedener Sinne im Gehirn kombiniert werden, entdeckte ein Forschungsteam aus Jena, London und München eine Region im sensorischen Kortex, die sowohl von visuellen als auch von Tastreizen aktiviert wird.

Die Wachtposten des Immunsystems

Die Wachtposten des Immunsystems

Prof. Dr. Diana Dudziak erforscht als neue Direktorin des Instituts für Immunologie am Universitätsklinikum Jena die Rolle der dendritischen Zellen in der Immunantwort.

Stoffwechsel und Anatomie auf einen Blick

Stoffwechsel und Anatomie auf einen Blick

Mit einem Fachsymposium stellt das Universitätsklinikum Jena das erste digitale PET-CT Thüringens vor.

Neu am UKJ: Gynäkologie-Professor Dirk Bauerschlag

Neu am UKJ: Gynäkologie-Professor Dirk Bauerschlag

Der Spezialist für Krebserkrankungen bei Frauen übernimmt die Jenaer Klinik und Poliklinik für Frauenheilkunde und Fortpflanzungsmedizin.

Neue Hoffnung für therapieresistente Depressionen

Neue Hoffnung für therapieresistente Depressionen

Das Universitätsklinikum Jena koordiniert eine multizentrische Studie zur Kombinationstherapie mit Ketamin und Psychotherapie.

Jenaer Studie zeigt: Übelkeit nach Operationen bleibt ein Problem

Jenaer Studie zeigt: Übelkeit nach Operationen bleibt ein Problem

Übelkeit nach Operationen wird als sehr belastend empfunden und kann die postoperative Erholung verzögern.

Organmodell zur Erforschung der Gehirnentwicklung

Organmodell zur Erforschung der Gehirnentwicklung

Prof. Jay Gopalakrishnan ist neuer Professor für die Zellbiologie erblicher Erkrankungen am Universitätsklinikum Jena. Der Biochemiker möchte in Jena ein Netzwerk aufbauen, das Organoide zur Erforschung der Hirnentwicklung nutzt.

Endoskopie auf Weltniveau bald in Jena

Endoskopie auf Weltniveau bald in Jena

UKJ-Gastroenterologe Dr. Drilon Haziri erhält begehrte Zusage für ein weltweit führendes Langzeittraining an Klinik in Japan.

Folgestudie: Profitieren Kinder aus Risikoschwangerschaften vom besseren Start?

Folgestudie: Profitieren Kinder aus Risikoschwangerschaften vom besseren Start?

In einer multizentrischen Studie mit mehr als 300 Teilnehmerinnen konnte ein Forschungsteam des Universitätsklinikums zeigen, dass der Wirkstoff PETN das Risiko für Frühgeburten und Bluthochdruck in der Schwangerschaft senkt.

Nach Beckenbruch schnell wieder mobil

Nach Beckenbruch schnell wieder mobil

Gemeinsam mit Kooperationspartnern aus Wissenschaft und Industrie entwickelten Unfallchirurgen des Universitätsklinikums Jena eine neue minimalinvasive Versorgung von Frakturen des hinteren Beckenrings.

Onkologie-Experte erhält wichtiges Amt

Onkologie-Experte erhält wichtiges Amt

DGHO überträgt Prof. Dr. Andreas Hochhaus die Verantwortung

Vorbereitet auf die nächste Virus-Pandemie

Vorbereitet auf die nächste Virus-Pandemie

Gemeinsam mit 12 Partnern aus 6 Ländern baut das Universitätsklinikum Jena eine europäische Forschungsplattform auf.

Prof. Dr. Christian Geis zum Direktor der Klinik für Neurologie am Universitätsklinikum Jena ernannt

Prof. Dr. Christian Geis zum Direktor der Klinik für Neurologie am Universitätsklinikum Jena ernannt

Prof. Dr. Christian Geis ist seit 1. November neuer Direktor der Klinik für Neurologie am Universitätsklinikum Jena (UKJ).

Risikofüße schützen: Amputationen gemeinsam verhindern

Risikofüße schützen: Amputationen gemeinsam verhindern

Wenn der Blutzucker bei Diabetes über lange Zeit schlecht eingestellt ist und Nerven schädigt, kann es zum Diabetischen Fußsyndrom kommen.

Phantomschmerzen nach Amputationen lindern

Phantomschmerzen nach Amputationen lindern

Das Universitätsklinikum Jena koordiniert ein internationales Projekt in der Ukraine.

Phantomschmerzen nach Amputationen lindern

Phantomschmerzen nach Amputationen lindern

Der Verlust eines Arms oder Beins stellt eine gewaltige Beeinträchtigung der Lebensqualität dar. Neben den Einschränkungen, die eine Amputation für die täglichen Aktivitäten bedeutet, leiden die Betroffenen zudem häufig unter Phantomschmerzen, die nur schwer zu behandeln sind.

Für mehr Präzision beim Schilddrüsen-Ultraschall

Für mehr Präzision beim Schilddrüsen-Ultraschall

Für seine Habilitationsschrift „Validierung und klinische Etablierung innovativer Methoden zur Optimierung der Schilddrüsendiagnostik im nuklearmedizinischen Behandlungsspektrum“ erhält PD Dr. Philipp Seifert, Oberarzt an der Klinik für Nuklearmedizin am Universitätsklinikum Jena (UKJ), den Wissenschaftspreis der Deutschen Gesellschaft für Ultraschall in der Medizin.

Die Praxis fit machen für Post-COVID

Die Praxis fit machen für Post-COVID

Das interdisziplinäre Team des Post-COVID-Zentrums am Universitätsklinikum Jena erforscht nicht nur die Entstehungsmechanismen und bessere Versorgungsformen der Erkrankung.

Weltdiabetestag am 14. November: Diabetes im Griff haben

Weltdiabetestag am 14. November: Diabetes im Griff haben

UKJ-Diabetesexperten laden zum Aktionstag ins Klinikum ein.

Rollende Post-COVID-Ambulanz in Thüringen

Rollende Post-COVID-Ambulanz in Thüringen

Ab November fährt der Bus des WATCH-Projektes als mobile Post-COVID-Ambulanz durch Thüringen.

Ausgezeichnete Kinderradiologie

Ausgezeichnete Kinderradiologie

Mit zwei von vier Vortragspreisen hat die Gesellschaft für Pädiatrische Radiologie (GPR) in Wien bei ihrer 60. Jubiläumstagung zwei Kinderradiologie-Experten des Universitätsklinikums Jena (UKJ) ausgezeichnet.

Long COVID macht das Denken langsamer

Long COVID macht das Denken langsamer

Charakteristisch für die Aufmerksamkeits- und Konzentrationsprobleme bei Long COVID ist eine verlangsamte Informationsverarbeitung.

UKJ-Kinderradiologe Prof. Mentzel in Ausschuss „Strahlenrisiko“ der Strahlenschutzkommission berufen

UKJ-Kinderradiologe Prof. Mentzel in Ausschuss „Strahlenrisiko“ der Strahlenschutzkommission berufen

„Das Risiko, an Krebs zu erkranken, wird höher, je jünger die Patienten sind und je mehr Computertomografie-Untersuchungen bei ihnen durchgeführt werden“, weiß Prof. Hans-Joachim Mentzel, Leiter der Sektion Kinderradiologie am Institut für Diagnostische und Interventionelle Radiologie am Universitätsklinikum Jena (UKJ).

Narzisstische Wesenszüge und ihr Einfluss auf die psychotherapeutische Behandlung

Narzisstische Wesenszüge und ihr Einfluss auf die psychotherapeutische Behandlung

Narzisstische Persönlichkeitszüge hängen mit einem schlechteren Ansprechen auf psychotherapeutische Behandlung zusammen.

Prof. Dr. André Scherag ist neuer Präsident der GMDS

Prof. Dr. André Scherag ist neuer Präsident der GMDS

Die Deutsche Gesellschaft für Medizinische Informatik, Biometrie und Epidemiologie (GMDS) hat mit Prof. André Scherag einen neuen Präsidenten.

Mikrobenresistente Materialien für die Medizin

Mikrobenresistente Materialien für die Medizin

Die Jahrestagung der Deutschen Gesellschaft für Biomaterialien diskutiert vom 13. bis 16. September in Jena alle Aspekte der Forschung an Materialien, die menschliche Gewebe ersetzen und unterstützen.

Welt-Sepsis-Tag: Kodierleitfaden für bessere Sepsisdaten

Welt-Sepsis-Tag: Kodierleitfaden für bessere Sepsisdaten

Das Deutsche Qualitätsbündnis Sepsis und die Deutsche Sepsisgesellschaft haben einen Kodierleitfaden zur Erfassung der Sepsis veröffentlicht.

DFG fördert Erforschung von autoimmunen Gehirnentzündungen

DFG fördert Erforschung von autoimmunen Gehirnentzündungen

In der interdisziplinären und translational ausgerichteten Forschungsgruppe SYNABS erforschen Neurologen, Physiologen, Neuroimmunologen und Mikroskopieexperten die Krankheitsmechanismen von autoimmun bedingten Hirnentzündungen.

DFG fördert Erforschung von autoimmunen Gehirnentzündungen

DFG fördert Erforschung von autoimmunen Gehirnentzündungen

In der interdisziplinären und translational ausgerichteten Forschungsgruppe SYNABS erforschen Neurologen, Physiologen, Neuroimmunologen und Mikroskopieexperten die Krankheitsmechanismen von autoimmun bedingten Hirnentzündungen.

Gesundheitsversorgung bedarfsgerecht und effizient gestalten

Gesundheitsversorgung bedarfsgerecht und effizient gestalten

Die Gesundheitswissenschaftlerin Verena Vogt übernimmt die Professur für Quantitative Versorgungsforschung am Universitätsklinikum Jena.

Geistig fit im hohen Alter: Widerstandsfähigkeit gegen Abbauprozesse im Hirn

Geistig fit im hohen Alter: Widerstandsfähigkeit gegen Abbauprozesse im Hirn

Über-80-Jährige, deren Gedächtnisleistung der von 30 Jahre Jüngeren entspricht, verdanken ihre geistige Fitness vor allem ihrer Widerstandsfähigkeit gegen altersbedingte Veränderungen des Gehirns.

Medizinphysiker mit Lehrpreis ausgezeichnet

Medizinphysiker mit Lehrpreis ausgezeichnet

Die Fachschaft Medizin der Friedrich-Schiller-Universität Jena vergibt ihren diesjährigen Lehrpreis an Christian Kühnel. Damit würdigen die Studierenden das herausragende Lehrengagement des Medizinphysik-Experten in der Klinik für Nuklearmedizin am Universitätsklinikum Jena.

Botox nach Schlaganfall: Empfohlene Behandlung gegen Spastik viel zu selten angewandt

Botox nach Schlaganfall: Empfohlene Behandlung gegen Spastik viel zu selten angewandt

Spätestens seit der aktuellen Analyse der Regierungskommission zur Krankenhausversorgung wird deutlich, dass die Qualität der Versorgung von Schlaganfallpatienten in Deutschland optimiert werden muss.

Warum Männer im Alter häufiger an Nierenschäden leiden als Frauen

Warum Männer im Alter häufiger an Nierenschäden leiden als Frauen

Ein Forschungsteam des Uniklinikums Jena untersucht die molekularen Mechanismen der Nierenschädigung im Alter und bei Diabetes.

Frühe Chemotherapie hält Prostatakrebs in Schach

Frühe Chemotherapie hält Prostatakrebs in Schach

Für Patienten mit Prostatakrebs, der bereits Metastasen gebildet hat, ist seit diesem Jahr eine neue wirksame Kombinationstherapie zugelassen.

Intelligente OP-Robotik mit Scharfblick und Gefühl

Intelligente OP-Robotik mit Scharfblick und Gefühl

Ein interdisziplinäres Projektteam an Universitätsklinikum Jena, Friedrich-Schiller-Universität Jena und Technischer Universität Ilmenau startet die Entwicklung eines sensorbasierten Unterstützungssystems, das Chirurgen bei Tumoroperationen Gewebegrenzen kontinuierlich optisch darstellen und haptisch vermitteln kann.

Händehygiene ist Gold wert

Händehygiene ist Gold wert

Das Universitätsklinikum Jena hat im Rahmen der nationalen Kampagne „Aktion Saubere Hände“ am 5. Mai zum Thema Händehygiene aufgeklärt.

Ärztliche Basisfertigkeiten trainieren

Ärztliche Basisfertigkeiten trainieren

Das SkillsLab am Uniklinikum Jena wurde von der Gesellschaft für Medizinische Ausbildung zertifiziert.

Baby-Notarztwagen „Felix startet in Jena

Baby-Notarztwagen „Felix" startet in Jena

Die Björn Steiger Stiftung hat den neuen Baby-Notarztwagen „Felix“ offiziell an das Universitätsklinikum Jena (UKJ) und die Betreibergesellschaft Pro Life Ambulance übergeben.

Eileiter-Entfernung als Vorbeugung gegen Eierstockkrebs akzeptiert

Eileiter-Entfernung als Vorbeugung gegen Eierstockkrebs akzeptiert

Frauen mit abgeschlossener Familienplanung können sich bei geplantem Unterleibseingriff die Eileiter vorbeugend entfernen lassen. Die hormonproduzierenden Eierstöcke bleiben dabei erhalten.

Gegen das Feuer im Gehirn

Gegen das Feuer im Gehirn

Bei einer autoimmunen Enzephalitis, einer seltenen, aber schwerwiegenden und mitunter lebensbedrohlichen Entzündung des zentralen Nervensystems, richtet sich die körpereigene Abwehr gegen das zentrale Nervensystem. Zum ersten Mal beschrieben wurde diese Krankheit im Jahr 2007.

Nächster Abschnitt des Thüringer Universitätsklinikums feierlich übergeben

Nächster Abschnitt des Thüringer Universitätsklinikums feierlich übergeben

Gebäudeteil A5 des UKJ in Lobeda geht in Betrieb. Die Strahlentherapie, Hautklinik und Geriatrie sind umgezogen. Nun sind die Somatische Unikliniken an einem Standort vereint.

Onkologische Versorgung am Universitätsklinikum Jena erneut ausgezeichnet

Onkologische Versorgung am Universitätsklinikum Jena erneut ausgezeichnet

Überwachungsaudit bestätigt die hohe Qualität des Onkologischen Zentrums am UKJ

Jena hat neue Anlaufstelle für Allergie-Patienten

Jena hat neue Anlaufstelle für Allergie-Patienten

Ob Heuschnupfen, Asthma oder Nasenpolypen: Allergien sind auf dem Vormarsch – vor allem bei Betroffenen im Alter von 20 bis 40 Jahren. „Um diese Patienten noch besser zu versorgen, arbeiten im neu gegründeten JenaAllergieCentrum verschiedene Fachdisziplinen eng zusammen“, so Dr. Jörg Tittelbach, Sprecher des JAC und kommissarischer Direktor der Hautklinik am Universitätsklinikum Jena (UKJ).

Von der Nervenzelle zum Gedächtnis

Von der Nervenzelle zum Gedächtnis

In der Mitte des 19. Jahrhunderts wurde den Jenaer Medizinstudenten der Besuch des damals privat angebotenen Physiologie-Laboratoriums empfohlen, und zwar „nach den anatomischen Kollegien und vor dem Besuch der Kliniken“.

Behandlungsoption bei Lebermetastasen: Zweistufige Transplantation

Behandlungsoption bei Lebermetastasen: Zweistufige Transplantation

Eine Lebertransplantation in zwei Schritten, insbesondere mit einer Lebendspende, ist eine für Spender und Empfänger sichere Therapiemöglichkeit bei nicht-zirrhotischen Lebererkrankungen.

Hautklinik Jena an Standort Lobeda umgezogen

Hautklinik Jena an Standort Lobeda umgezogen

Die Klinik für Hautkrankheiten am Universitätsklinikum Jena (UKJ) ist erfolgreich an ihren neuen Standort in Lobeda umgezogen und hat dort im neuen Gebäudeteil A5 ihren Betrieb aufgenommen: eine Ambulanz, eine Tagesklinik und zwei Stationen stehen für die Patientinnen und Patienten zur Verfügung.

Spitzenversorgung für Krebspatienten in Sachsen und Thüringen

Spitzenversorgung für Krebspatienten in Sachsen und Thüringen

Das Exzellenz-Krebszentrum Mitteldeutschland (Comprehensive Cancer Center Central Germany, CCCG) hat nach der erfolgreichen Begutachtung seitens der Deutschen Krebshilfe seine Arbeit aufgenommen.

Utz Settmacher zum Präsidenten der Deutschen Transplantationsgesellschaft gewählt

Utz Settmacher zum Präsidenten der Deutschen Transplantationsgesellschaft gewählt

Prof. Dr. med. Utz Settmacher, Direktor der Klinik für Allgemein-, Viszeral- und Gefäßchirurgie, wurde zum Präsidenten der Deutschen Transplantationsgesellschaft e.V. (DTG) gewählt.

Fazialisparese: Auch Mundgesundheit betroffen

Fazialisparese: Auch Mundgesundheit betroffen

Halbseitige Gesichtslähmungen wirken sich auch auf den Gesundheitszustand von Zähnen und Zahnfleisch aus. Eine Fallkontrollstudie des Universitätsklinikum Jena zeigte, dass die Mundgesundheit von Patientinnen und Patienten im Vergleich zu Gesunden vermindert ist.

PETN senkt das Risiko für Frühgeburten und Bluthochdruck in der Schwangerschaft

PETN senkt das Risiko für Frühgeburten und Bluthochdruck in der Schwangerschaft

Das ist das Ergebnis einer multizentrischen, randomisierten, doppelblinden und Placebo-kontrollierten Studie des Universitätsklinikums Jena, der ersten interventionellen Studie dieser Art in der Geburtsmedizin in Deutschland. Für das primäre Studienziel, eine Mangelversorgung des Babys oder den Tod des Ungeborenen zu vermeiden, war der beobachtete positive Effekt statistisch nicht signifikant.

Anatomie als translationales Fach in Lehre und Forschung

Anatomie als translationales Fach in Lehre und Forschung

Prof. Dr. Dr. Tobias Lange erhält eine W3-Professor an der Friedrich-Schiller-Universität Jena und wurde gleichzeitig zum Direktor des Instituts für Anatomie I am Universitätsklinikum Jena ernannt.

Medikamentenspiegel-gesteuerte Antibiotikadosierung bei Sepsis

Medikamentenspiegel-gesteuerte Antibiotikadosierung bei Sepsis

In der Target-Studie untersuchte ein Forschungsteam des Universitätsklinikums Jena, ob die an der Konzentration im Blutplasma ausgerichtete Dosierung der Antibiotikatherapie bei Sepsis einen Vorteil bringt.

Pilz-Sepsis: Biomarker ist keine Entscheidungshilfe für frühe Therapie

Pilz-Sepsis: Biomarker ist keine Entscheidungshilfe für frühe Therapie

Die CandiSep-Studie des Universitätsklinikums Jena testete (1,3)-β-D-Glukan als Marker für eine Pilzinfektion bei kritisch kranken Patienten. Die daran ausgerichtete antimykotische Behandlung brachte keinen Vorteil für die Patienten.

Neubau des Leibniz-Zentrums für Photonik in der Infektionsforschung

Neubau des Leibniz-Zentrums für Photonik in der Infektionsforschung

Das LPI verfolgt das Ziel, mithilfe optischer Verfahren innovative Lösungen für Diagnostik, Monitoring und experimentelle Therapie von Infektionserkrankungen zu erforschen und zu entwickeln. Swecos Architekten konnten den Auftrag für den Forschungsneubau gewinnen und übernehmen bei dem Projekt die Objektplanung in allen Leistungsphasen.

Frühwarn-Score für chronische Schmerzen nach einer OP

Frühwarn-Score für chronische Schmerzen nach einer OP

Ein holländisch-deutsches Forschungsteam untersuchte Warnhinweise für eine Chronifizierung von Schmerzen nach einer Operation: Eingriffe am Skelettsystem, eine präoperative Opioideinnahme, zwei Wochen nach dem Eingriff anhaltende Schmerzen und schmerzhafte Kältereize erwiesen sich als wichtigste Risikofaktoren.

UKJ: Medizinlehrpreis geht in die Anatomie

UKJ: Medizinlehrpreis geht in die Anatomie

Die Studierenden der Jenaer Fachschaft Medizin zeichnen Priv.-Doz. Dr. Gregor Hayn-Leichsenring mit dem diesjährigen Janus-Cornarius-Lehrpreis aus.

Karriereförderung in Forschung und Klinik

Karriereförderung in Forschung und Klinik

Die Deutsche Forschungsgemeinschaft verlängert die Förderung des Clinician Scientist-Programms OrganAge am Universitätsklinikum Jena. Das Programm unterstützt junge Ärztinnen und Ärzte, die sowohl klinisch als auch wissenschaftlich im Bereich der Altersmedizin tätig sind.

Professor Eileen Lüders forscht zum individuellen Hirnalter

Professor Eileen Lüders forscht zum individuellen Hirnalter

Preis der Humboldt-Stiftung ermöglicht Forschungsaufenthalt am Universitätsklinikum Jena

Orlando Guntinas-Lichius zum Präsidenten der Deutschen Gesellschaft für HNO-Heilkunde gewählt

Orlando Guntinas-Lichius zum Präsidenten der Deutschen Gesellschaft für HNO-Heilkunde gewählt

Auf dem kürzlich in Hannover zu Ende gegangenen 93. Deutschen HNO-Kongress wählte die Deutsche Gesellschaft für Hals-Nasen-Ohren-Heilkunde, Kopf- und Hals-Chirurgie (DGHNO-KHC) Prof. Dr. Orlando Guntinas-Lichius zu ihrem Präsidenten.

Herzinfarkt-Patienten werden am Universitätsklinikum Jena bestens nachversorgt

Herzinfarkt-Patienten werden am Universitätsklinikum Jena bestens nachversorgt

„Patienten auf Ziel bringen“: Herzinfarkt-Patienten sollen so versorgt werden, dass sie ihren LDL-Cholesterin-Zielwert erreichen. An der Initiative „Auf Ziel“ beteiligt sich auch die Klinik für Innere Medizin I des Universitätsklinikums Jena (UKJ). Mit Erfolg: „Alle Herzinfarktpatienten des UKJ haben im Jahr 2021 ihren LDL-C-Zielwert dank einer Kombinationstherapie erreicht,“ so Prof. Dr. Christian Schulze, Direktor der Klinik für Innere Medizin I (Kardiologie) am UKJ.

Lachen ist gesund: Metastudie bestätigt positiven Effekt von Lachtherapien

Lachen ist gesund: Metastudie bestätigt positiven Effekt von Lachtherapien

Mit einer aktuellen Metastudie konnten Forscher am Universitätsklinikum Jena diese Binsenweisheit wissenschaftlich bestätigen.

Mikroben für Hygiene

Mikroben für Hygiene

Ein Forschungsteam aus Jena und Berlin untersuchte den Einfluss verschiedener Reinigungsregimes auf die Menge, Vielfalt und Resistenzen der Bakterien, die auf den Oberflächen von Klinikzimmern zu finden sind.

Universitätsklinikum Jena unterstützt die Entwicklung eines wissenschaftlichen und beruflichen Ethos

Universitätsklinikum Jena unterstützt die Entwicklung eines wissenschaftlichen und beruflichen Ethos

Das Medizinstudium vermittelt Fachwissen und praktische Fertigkeiten – hohe Erwartungen haben Patienten, Kollegen und die Gesellschaft auch an das Verantwortungsbewusstsein und die Integrität von Ärztinnen und Ärzten. Mit einem neuen langfristigen Lehrangebot zur ärztlichen Professionalitätsentwicklung will das Universitätsklinikum Jena die Entwicklung eines wissenschaftlichen und beruflichen Ethos unterstützen.

Präzisionsmedizin: Tumorgewebe molekülgenau analysieren

Präzisionsmedizin: Tumorgewebe molekülgenau analysieren

Das Universitätsklinikum Jena arbeitet in einem europäischen Verbund an der Geräteentwicklung, die eine schnelle und kostengünstige Krebsdiagnose auf der Basis von Raman-Bildgebungstechnologien und künstlicher Intelligenz ermöglichen soll. Die sechs Partner im CHARM-Projekt werden mit insgesamt 3,3 Millionen Euro vom European Innovation Council gefördert.

Netzwerk-Regeneration nach Schlaganfall

Netzwerk-Regeneration nach Schlaganfall

Das Zellgerüstprotein Cobl spielt eine zentrale Rolle für die Neuvernetzung von Nervenzellen nach einem Schlaganfall.

Nierenschädigung bei Diabetes gezielt behandeln

Nierenschädigung bei Diabetes gezielt behandeln

Ein Forschungsteam des Uniklinikums Jena untersucht die molekularen Mechanismen der Nierenschädigung infolge von Diabetes.

Jahrelanger Behandlungs- und Pflegebedarf nach Sepis

Jahrelanger Behandlungs- und Pflegebedarf nach Sepis

Drei von vier Sepsis-Überlebenden sind von neuen Gedächtnisstörungen, seelischen oder körperlichen Erkrankungen betroffen. Sogar in der Gruppe der vormals unter 40-Jährigen leiden mehr als die Hälfte der Sepsis-Überlebenden daran.

Hauptarbeitsplatz Katheterlabor

Hauptarbeitsplatz Katheterlabor

Bei Belastung auftretendes Engegefühl oder Schmerzen in der Brust – das sind die klassischen Anzeichen für eine koronare Herzerkrankung, die jeden vierten Mann über 75 betrifft. Ursache sind Ablagerungen und Verengungen in den Herzkranzgefäßen.

Mit gespendetem Blut krebskranken Kindern helfen

Mit gespendetem Blut krebskranken Kindern helfen

Stipendiaten der Konrad-Adenauer-Stiftung unterstützen mit Aufwandsentschädigung nach Blutspende am UKJ die Elterninitiative für krebskranke Kinder Jena e.V.

Gewappnet für die nächste Virus-Pandemie

Gewappnet für die nächste Virus-Pandemie

Das Universitätsklinikum Jena koordiniert ein jetzt startendes Verbundprojekt zur schnelleren Diagnostik von viralen Atemwegsinfektionen. In dem Forschungsvorhaben sollen anhand von COVID-19 Methoden und Technologien entwickelt werden, die virale Ausbrüche frühzeitiger erkennen und deren Eindämmung unterstützen können, um für künftige Epidemien besser gerüstet zu sein.

Forschungsprojekt NeoUVDes entwickelt innovative UVC-Desinfektion für Inkubatoren

Forschungsprojekt NeoUVDes entwickelt innovative UVC-Desinfektion für Inkubatoren

Jedes Jahr werden in Deutschland über 63.000 Kinder zu früh geboren. Weltweit betrifft das Thema sogar fast 10% aller Geburten.

Preisgekrönte rheumatologische Forschung

Preisgekrönte rheumatologische Forschung

Priv.-Doz. Dr. Alexander Pfeil vom UKJ erhält den Rudolf-Schoen-Preis.

Intensivmedizinisches Studienprojekt aus Jena ausgezeichnet

Intensivmedizinisches Studienprojekt aus Jena ausgezeichnet

Die Europäische Gesellschaft für Intensivmedizin (ESICM) vergibt ihren diesjährigen Levi-Montalcini Biomedical Science Award an Dr. Julia Leonhardt.

Tanja Groten hat die Müttergesundheit langfristig im Blick

Tanja Groten hat die Müttergesundheit langfristig im Blick

Als neue Professorin für Geburtsmedizin und maternale Gesundheit am Universitätsklinikum Jena erforscht Tanja Groten plazentaassoziierte Schwangerschaftskomplikationen und entwickelt Konzepte für eine individualisierte Langzeitnachsorge für die betroffenen Mütter.

WeCaRe entwickelt für Thüringen ein Telemedizin-Innovationslabor

WeCaRe entwickelt für Thüringen ein Telemedizin-Innovationslabor

Das WeCaRe-Bündnis mit knapp 200 Partnern erhält eine Förderzusage des BMBF im Rahmen des Programms „WIR! – Wandel durch Innovation in der Region“. Im Südosten Thüringens will es Digitalisierungslösungen entwickeln, die zur besseren Gesundheitsversorgung und zum Strukturwandel in der Region beitragen.

Neue Testsysteme für die Impfstoffentwicklung

Neue Testsysteme für die Impfstoffentwicklung

Das INSPIRE-Team am Universitätsklinikum Jena arbeitet im Inno4Vac-Verbund an neuartigen Modellen für die Wirksamkeitstestung neuer Impfstoffe. Der Verbund umfasst 41 Partner aus elf europäischen Ländern und wird im Rahmen der Innovative Medicines Initiative 2 von der EU gefördert.

Wie Mikroben ein Klinikzimmer erobern

Wie Mikroben ein Klinikzimmer erobern

Ein Forschungsteam aus Jena und Berlin untersuchte über ein halbes Jahr lang, wie Bakterien Stationszimmer in einem Klinikneubau besiedeln.

3d-Hautinfektionsmodell ersetzt Tierversuche

3d-Hautinfektionsmodell ersetzt Tierversuche

Das Forschungslabor der UKJ-Hautklinik arbeitet an der Entwicklung und Etablierung praxisnaher Hautinfektionsmodelle und reproduzierbarer Verfahren zur Modellierung von Hautverletzungen. In Kooperation mit der Dr. Brill + Partner GmbH soll als Alternative zu Tierversuchen ein standardisiertes Prüfverfahren für die Wirksamkeit antimikrobieller Wundheilungsprodukte entstehen.

Gesichertes Wissen über COVID-19

Gesichertes Wissen über COVID-19

In einer in Lancet Respiratory Medicine erschienenen Übersichtsarbeit fasst die European Group on Immunology of Sepsis die wichtigsten Erkenntnisse der durch SARS-CoV-2 ausgelösten COVID-19-Erkrankung kritisch zusammen.

Zwei auf einen Streich: Kombinierte Herz-Lungen-Transplantation am UKJ

Zwei auf einen Streich: Kombinierte Herz-Lungen-Transplantation am UKJ

Jenaer Herz- und Thoraxchirurgen führen seltene Transplantation erfolgreich durch.

Zehn Jahre Center for Sepsis Control and Care am UKJ

Zehn Jahre Center for Sepsis Control and Care am UKJ

Erfolgreiche translationale Sepsisforschung und Nachwuchsförderung im CSCC/Zentrum besteht am Universitätsklinikum Jena fort und koordiniert die Forschung im Schwerpunkt Sepsis und Infektionsmedizin/Leistungsfähige Forschungsinfrastruktur für die Medizinische Fakultät und Partner.

Patientenbeteiligung ist das beste Schmerzmittel

Patientenbeteiligung ist das beste Schmerzmittel

Je besser Patienten über eine Operation informiert sind und in die Entscheidung zur begleitenden Schmerztherapie einbezogen werden, desto seltener wünschen sie zusätzliche Schmerzmittel.

COVID-19-Atlas der Gewebeschäden und Viruslast in Organen

COVID-19-Atlas der Gewebeschäden und Viruslast in Organen

Ein Forschungsteam am Universitätsklinikum Jena hat die SARS-CoV-2-Viruslast in einer Vielzahl von Organen und Geweben gemessen und die Gewebeschäden im Zusammenhang mit der Verteilung des Virus untersucht. Die Studie wurde jetzt im Onlinefachjournal eLife veröffentlicht.

Wenn Schmerzen nach einer OP chronisch werden

Wenn Schmerzen nach einer OP chronisch werden

Fast zehn Prozent der Operierten klagen auch sechs und zwölf Monate nach einem HNO-Eingriff noch über erhebliche Schmerzbeschwerden und musste Schmerzmittel einnehmen.

Jenaer Kardiologen begleiten Patienten mit Nachsorgepass

Jenaer Kardiologen begleiten Patienten mit Nachsorgepass

Ulrich Matthes hatte Glück. Nachdem er im Februar einen Herzinfarkt erlitten hat, wurde ihm im Universitätsklinikum Jena (UKJ) nicht nur das Leben gerettet. Auch nach seinem Infarkt begleiten ihn die UKJ-Herzexperten weiter: Er ist einer der ersten Patienten, die einen sogenannten Herzinfarkt-Nachsorgepass im Rahmen der Initiative „Jena auf Ziel“ erhalten haben. Hier werden die wichtigsten Risikofaktoren dokumentiert, etwa das LDL-Cholesterin, um einem weiteren Infarkt vorzubeugen.

Covid-19: Neue Behandlungsempfehlungen auf Intensivstation

Covid-19: Neue Behandlungsempfehlungen auf Intensivstation

In einer internationalen Kooperation testet die REMAP-CAP-Studiengruppe bekannte Wirkstoffe in der Behandlung von Covid-19. Ihre jetzt im New England Journal of Medicine veröffentlichten Ergebnisse belegen für schwer erkrankte Patienten den Nutzen monoklonaler Antikörper in Ergänzung zu Kortisonpräparaten.

Zweite Impfrunde am UKJ mit AstraZeneca gestartet

Zweite Impfrunde am UKJ mit AstraZeneca gestartet

UKJ-Infektiologe über Wirkungsweise und Verträglichkeit des neuen Impfstoffs

Wie vor 40 Jahren alles seinen Anfang nahm

Wie vor 40 Jahren alles seinen Anfang nahm

Eröffnung der Klinik für Innere Medizin in Lobeda im Dezember 1980

COVID-19: Blick ins Auge für Verlaufsprognose?

COVID-19: Blick ins Auge für Verlaufsprognose?

Das Universitätsklinikum Jena (UKJ) und der Jenaer Medizintechnikhersteller Imedos Systems gehen in einer Studie gemeinsam der Frage nach, ob die Funktionsanalyse der Gefäße in der Netzhaut Aussagen zum Verlauf von COVID-19-Erkrankungen erlaubt.